Znn3bq.jpeg
²é¿´: 1023  |  »Ø¸´: 8

littlepigpig

½ð³æ (СÓÐÃûÆø)


[½»Á÷] ¡¾ÇóÖú¡¿ÇëÎÊ£ºÕâÊÇʲô×éÖ¯£¿

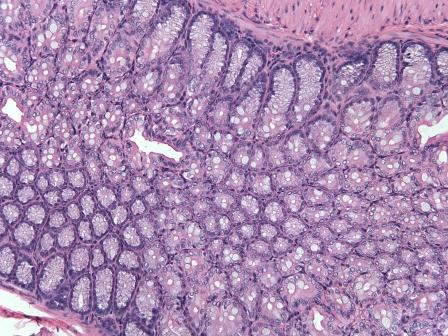
»ûÌ¥ÁöµÄ×éÖ¯ÇÐÆ¬¡£ÇëÎÊÕâÊÇʲô×éÖ¯£¿ лл
»Ø¸´´ËÂ¥

» ²ÂÄãϲ»¶

» ±¾Ö÷ÌâÏà¹Ø¼ÛÖµÌùÍÆ¼ö£¬¶ÔÄúͬÑùÓаïÖú:

» ÇÀ½ð±ÒÀ²£¡»ØÌû¾Í¿ÉÒԵõ½:

²é¿´È«²¿É¢½ðÌù

ÒÑÔÄ   »Ø¸´´ËÂ¥   ¹Ø×¢TA ¸øTA·¢ÏûÏ¢ ËÍTAºì»¨ TAµÄ»ØÌû

yingying1588

ľ³æÖ®Íõ (ÎÄѧ̩¶·)


littlepigpig(½ð±Ò+1): лл²ÎÓë¡£µ«ÊDz»Ïñ¸Î×éÖ¯¡£ 2011-02-16 12:45:41
ËÆºõÊǸÎ×éÖ¯¡£
2Â¥2011-02-15 22:45:36
ÒÑÔÄ   »Ø¸´´ËÂ¥   ¹Ø×¢TA ¸øTA·¢ÏûÏ¢ ËÍTAºì»¨ TAµÄ»ØÌû

littlepigpig

½ð³æ (СÓÐÃûÆø)


ÓÐûÓÐÆäËûÈË´ð°¸°¡£¿ лл
4Â¥2011-02-16 12:44:43
ÒÑÔÄ   »Ø¸´´ËÂ¥   ¹Ø×¢TA ¸øTA·¢ÏûÏ¢ ËÍTAºì»¨ TAµÄ»ØÌû

wyj

½ð³æ (СÓÐÃûÆø)


½á³¦×éÖ¯
5Â¥2011-07-19 11:29:30
ÒÑÔÄ   »Ø¸´´ËÂ¥   ¹Ø×¢TA ¸øTA·¢ÏûÏ¢ ËÍTAºì»¨ TAµÄ»ØÌû

cls3105

ľ³æ (³õÈëÎÄ̳)


¡ï
Сľ³æ(½ð±Ò+0.5):¸ø¸öºì°ü£¬Ð»Ð»»ØÌû
ºÃÏñÊÇ·Ö»¯²»È«µÄ³¦×éÖ¯
7Â¥2011-09-27 11:34:26
ÒÑÔÄ   »Ø¸´´ËÂ¥   ¹Ø×¢TA ¸øTA·¢ÏûÏ¢ ËÍTAºì»¨ TAµÄ»ØÌû

cls3105

ľ³æ (³õÈëÎÄ̳)


Ó¦¸ÃÊÇ´ó³¦ÏÙ
8Â¥2011-09-27 11:36:21
ÒÑÔÄ   »Ø¸´´ËÂ¥   ¹Ø×¢TA ¸øTA·¢ÏûÏ¢ ËÍTAºì»¨ TAµÄ»ØÌû

µ­rushui

гæ (³õÈëÎÄ̳)


¡ï
Сľ³æ(½ð±Ò+0.5):¸ø¸öºì°ü£¬Ð»Ð»»ØÌû
³¦×éÖ¯£¬¾ßÌå´óС³¦£¬¾Í²»ÖªµÀÁË
9Â¥2011-09-28 16:27:06
ÒÑÔÄ   »Ø¸´´ËÂ¥   ¹Ø×¢TA ¸øTA·¢ÏûÏ¢ ËÍTAºì»¨ TAµÄ»ØÌû
¼òµ¥»Ø¸´
jiangxue823Â¥
2011-02-15 23:07   »Ø¸´  
2011-08-14 20:35   »Ø¸´  
³¦
Ïà¹Ø°æ¿éÌø×ª ÎÒÒª¶©ÔÄÂ¥Ö÷ littlepigpig µÄÖ÷Ìâ¸üÐÂ
×î¾ßÈËÆøÈÈÌûÍÆ¼ö [²é¿´È«²¿] ×÷Õß »Ø/¿´ ×îºó·¢±í
[¿¼ÑÐ] 296Çóµ÷¼Á +10 Íô£¡£¿£¡ 2026-04-08 10/500 2026-04-09 15:28 by Óγ¤ÓÖ
[¿¼ÑÐ] ¿¼Ñе÷¼Á-²ÄÁÏÀà-284 +25 Ïë»»ÊÖ»ú²»Ïë½âÊ 2026-04-08 25/1250 2026-04-09 14:29 by 544594351
[¿¼ÑÐ] Ò»Ö¾Ô¸2110£¬»¯Ñ§Ñ§Ë¶310·Ö£¬±¾¿ÆÖصãË«·ÇÇóµ÷¼Á +15 ŬÁ¦·Ü¶·112 2026-04-08 15/750 2026-04-09 11:22 by lenovolsw
[¿¼ÑÐ] Ò»Ö¾Ô¸Î÷ÄÏ´óѧÉúÎïѧѧ˶344 ÇóÉúÎïѧÏà¹Øµ÷¼Á/ÉúÎïÓëÒ½Ò© +7 ³¬È˲»»á·É@ 2026-04-08 7/350 2026-04-09 09:35 by gong120082
[¿¼ÑÐ] »·¾³×¨Ë¶µ÷¼Á +15 »á˵»°µÄÖâ×Ó 2026-04-06 15/750 2026-04-08 18:56 by »·»¯²Ä-СÉú
[¿¼ÑÐ] Çóµ÷¼Á£¬ÏÖÔÚ»¹ÄÜÌîµÄ +3 Éϰ¶Ð¡Ó¨¼ÓÓÍ 2026-04-08 3/150 2026-04-08 14:30 by zhq0425
[¿¼ÑÐ] 315Çóµ÷¼Á +3 TUZEIQAQ 2026-04-02 3/150 2026-04-07 17:32 by chenp123
[¿¼ÑÐ] Ò»Ö¾Ô¸ËÕÖÝ´óѧ²ÄÁϹ¤³Ì£¨085601£©×¨Ë¶ÓпÆÑо­ÀúÈýÏî¹ú½±Á½¸öʵÓÃÐÍרÀûÒ»ÏîÊ¡¼¶Á¢Ïî +11 ´ó»ðɽС»ðɽ 2026-04-05 11/550 2026-04-06 22:55 by yunlongyang
[¿¼ÑÐ] 327¿¼Ñе÷¼ÁÍÆ¼ö +6 ÎØÎØÎØÎØÄØ 2026-04-06 6/300 2026-04-06 21:39 by à£à£à£0119
[¿¼ÑÐ] 338Çóµ÷¼Á +4 ÎÒÏëÉϰ¶ii 2026-04-05 4/200 2026-04-06 21:04 by ľ×Ó¾ý1218
[¿¼ÑÐ] 0855Çóµ÷¼Á²ÄÁÏ +11 ºìÌÒׯׯ 2026-04-04 12/600 2026-04-06 10:26 by À¶ÔÆË¼Óê
[¿¼ÑÐ] Çóµ÷¼Á +5 wos666 2026-04-03 5/250 2026-04-06 10:13 by À¶ÔÆË¼Óê
[¿¼ÑÐ] 070300»¯Ñ§Ñ§Ë¶311·ÖÇóµ÷¼Á +11 Áº¸»¹óÏÕÖÐÇó 2026-04-04 13/650 2026-04-06 07:24 by houyaoxu
[¿¼ÑÐ] 331Çóµ÷¼Á +8 ÓÚÕ÷yz 2026-04-05 8/400 2026-04-06 00:54 by fmesaito
[¿¼ÑÐ] ÉúÎïѧ308·ÖÇóµ÷¼Á£¨Ò»Ö¾Ô¸»ª¶«Ê¦´ó£© +8 ÏàÐűػá¹ââÍòÕ 2026-04-05 10/500 2026-04-05 12:19 by Hdyxbekcb
[¿¼ÑÐ] ÊýÒ»Ó¢Ò»274»úеµ÷¼Á +5 ÐÇÔÉÁ÷ϼ 2026-04-04 6/300 2026-04-05 11:38 by arrow8852
[¿¼ÑÐ] Äܶ¯µ÷¼Á326ר˶ +4 wan112233 2026-04-04 4/200 2026-04-04 22:47 by yu221
[¿¼ÑÐ] 22408Çóµ÷¼Á 354·Ö ¿É¿çרҵ +3 hannnnnnn 2026-04-04 3/150 2026-04-04 14:35 by ÍÁľ˶ʿÕÐÉú
[¿¼ÑÐ] 317·Ö Ò»Ö¾Ô¸½­ÄÏ´óѧ »¯Ñ§¹¤³Ìѧ˶ Çóµ÷¼Á +6 YinTai 2026-04-03 6/300 2026-04-03 22:30 by Î޼ʵIJÝÔ­
[¿¼ÑÐ] ²ÄÁϵ÷¼Á +4 Ò»ÑùYWY 2026-04-03 4/200 2026-04-03 09:48 by À¶ÔÆË¼Óê
ÐÅÏ¢Ìáʾ
ÇëÌî´¦ÀíÒâ¼û