±±¾©Ê¯ÓÍ»¯¹¤Ñ§Ôº2026ÄêÑо¿ÉúÕÐÉú½ÓÊÕµ÷¼Á¹«¸æ
²é¿´: 444  |  »Ø¸´: 0

̨ʽµç¾µ

¾èÖú¹ó±ö (³õÈëÎÄ̳)


[½»Á÷] ɨÃèµç¾µµÍ¼ÓËÙµçѹ³ÉÏñ

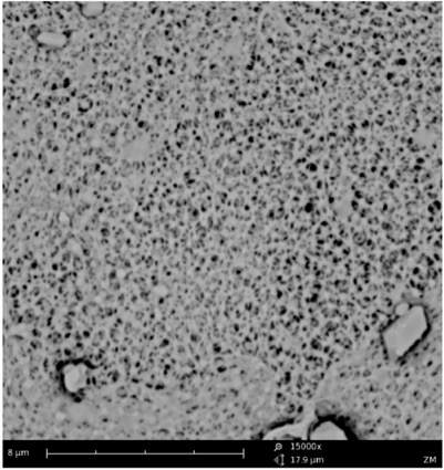
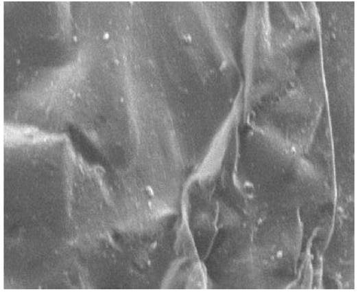
ɨÃèµç¾µµÄ¼ÓËÙµçѹÓëÊøÁ÷Ç¿¶È¶Ô³ÉÏñÓÐמö¶¨ÐÔµÄÓ°Ïì¡£

ͨ³£À´Ëµ£¬²Ù×÷ÈËÔ±¸üÔ¸ÒâʹÓøü¸ßµÄ¼ÓËÙµçѹȥ³ÉÏñ£¬µ±¼ÓËÙµçѹ½Ï´óʱ£¬ÐÅÔë±È¸üºÃ£¬·Ö±æÂʸü¸ß£¬¸üÈÝÒ׵õ½¡°ÇåÎú¡±µÄͼÏñ¡£µ«µÍ¼ÓËÙµçѹȴÊǵ±½ñɨÃèµç¾µµÄ·¢Õ¹Ç÷ÊÆ£¬ÕâÊÇʲôԭÒòÄØ£¿½ñÌ죬ÕâÆªÎÄÕ½«Î§ÈÆ¡°µÍ¼ÓËÙµçѹ³ÉÏñ¡±Õ¹¿ªÌÖÂÛ¡£

µç×ÓÊøÓëÑùÆ·Ï໥×÷Óý«»á¼¤·¢³ö¶àÖÖµç×ÓÐźţ¬°üÀ¨±³É¢Éäµç×Ó£¨BSE£©¡¢¶þ´Îµç×Ó£¨SE£©µÈ¡£¶þ´Îµç×Ó£¨SE£©Ö÷Òª±íÕ÷ÑùÆ·µÄ±íÃæÐÎòÐÅÏ¢£¬¼¤·¢Éî¶ÈÒ»°ãµÍÓÚ 10nm£¬Ö÷Òª±íÕ÷ÑùÆ·µÄ±íÃæÐÎòÐÅÏ¢¡£

ɨÃèµç¾µµÍ¼ÓËÙµçѹ³ÉÏñ



µ±Ê¹Óýϸ߼ÓËÙµçѹȥ¹Û²âÑùÆ·£¬¶þ´Îµç×ÓÀ´×ÔÑùÆ·±íÃæ 5~10nm ·¶Î§£¬×î±í²ãµÄÐÎò±»Ï÷Èõ£¬ÉõÖÁÑڸǣ»¶øÓõͼÓËÙµçѹ¹Û²âÑùƷʱ£¬ÓÉÓÚÈëÉäµç×ÓÊøÓëÑùÆ·µÄÏ໥×÷ÓÃС£¬ÐźŸü¶àÀ´Ô´ÓÚ²ÄÁϵıíÃæ£¬¼ÓËÙµçѹԽµÍ£¬¹Û²âµÄÐÎòЧ¹ûÔ½½Ó½ü±í²ã£¬ÇҵͼÓËÙµçѹ¶ÔÑùÆ·µÄËðÉËÒ²½ÏС¡£

ÏÖÔÚ£¬Í¨¹ý¼¸×éÕÕÆ¬£¬Èôó¼Ò¸üºÃµØÀí½âµÍ¼ÓËÙµçѹ³ÉÏñµÄÓÅÊÆ£º

ɨÃèµç¾µµÍ¼ÓËÙµçѹ³ÉÏñ-1
̨ʽµç¾µ1.jpg


ɨÃèµç¾µµÍ¼ÓËÙµçѹ³ÉÏñ-2
³¡·¢Éäµç¾µ.jpg


ɨÃèµç¾µµÍ¼ÓËÙµçѹ³ÉÏñ-3
³¡·¢Éäµç¾µ1.jpg


ɨÃèµç¾µµÍ¼ÓËÙµçѹ³ÉÏñ-4
³¡·¢Éäµç¾µ2.jpg


ɨÃèµç¾µµÍ¼ÓËÙµçѹ³ÉÏñ-5
ɨÃèµç¾µ.jpg


ɨÃèµç¾µµÍ¼ÓËÙµçѹ³ÉÏñ-6
ɨÃèµç¾µ1.jpg


ɨÃèµç¾µµÍ¼ÓËÙµçѹ³ÉÏñ-7
×ÀÃæÉ¨Ãèµç¾µ.jpg


ɨÃèµç¾µµÍ¼ÓËÙµçѹ³ÉÏñ-8
×ÀÃæÉ¨Ãèµç¾µ1.jpg


ɨÃèµç¾µµÍ¼ÓËÙµçѹ³ÉÏñ-9
×ÀÃæÉ¨Ãèµç¾µ2.jpg
»Ø¸´´ËÂ¥

» ²ÂÄãϲ»¶

» ±¾Ö÷ÌâÏà¹ØÉ̼ÒÍÆ¼ö: (ÎÒÒ²ÒªÔÚÕâÀïÍÆ¹ã)

ÒÑÔÄ   »Ø¸´´ËÂ¥   ¹Ø×¢TA ¸øTA·¢ÏûÏ¢ ËÍTAºì»¨ TAµÄ»ØÌû
Ïà¹Ø°æ¿éÌø×ª ÎÒÒª¶©ÔÄÂ¥Ö÷ ̨ʽµç¾µ µÄÖ÷Ìâ¸üÐÂ
×î¾ßÈËÆøÈÈÌûÍÆ¼ö [²é¿´È«²¿] ×÷Õß »Ø/¿´ ×îºó·¢±í
[¿¼ÑÐ] µ÷¼Á +11 JLLLLLLLLLL 2026-04-03 11/550 2026-04-04 22:21 by hemengdong
[¿¼ÑÐ] 296²ÄÁÏר˶Çóµ÷¼Á +21 202451007219 2026-04-02 22/1100 2026-04-04 21:48 by hemengdong
[¿¼ÑÐ] µ÷¼Á +4 ÊÇ¿ÉÀÖ²»ÊÇ¿ÉÀÖ 2026-04-04 4/200 2026-04-04 19:41 by ÌÆãå¶ù
[¿¼ÑÐ] 277¹¤¿ÆÇóµ÷¼Á +7 1915668 2026-04-04 7/350 2026-04-04 17:21 by °¡¿¡£¡
[¿¼ÑÐ] Ò»Ö¾Ô¸C9µÄ»¯Ñ§¹¤³Ì£¨085602£© 340·Ö£¬¸Ð¾õУÄÚµ÷¼ÁÎÞÍû£¬Çóµ÷¼Á +9 ÍòÊÂÒËÕé 2026-04-04 9/450 2026-04-04 11:49 by à£à£à£0119
[¿¼ÑÐ] 070300»¯Ñ§Çóµ÷¼Á +16 С»ÆÑ¼±¦ 2026-03-30 16/800 2026-04-04 11:49 by asdhh1991
[¿¼ÑÐ] 297Çóµ÷¼Á +11 ljy20040718£¡ 2026-04-03 13/650 2026-04-04 09:23 by À´¿´Á÷ÐÇÓê10
[¿¼ÑÐ] 295Çóµ÷¼Á +3 ÉÐټѽ 2026-04-03 4/200 2026-04-03 21:23 by zhq0425
[¿¼ÑÐ] Ò»Ö¾Ô¸Äϲý´óѧ324Çóµ÷¼Á +13 hanamiko 2026-04-01 13/650 2026-04-03 18:30 by lsÁõ˧
[¿¼ÑÐ] ³õÊԳɼ¨337ÕÒµ÷¼Á +3 ??? ?. ? 2026-04-03 3/150 2026-04-03 11:43 by ÍÁľ˶ʿÕÐÉú
[¿¼ÑÐ] 273Çóµ÷¼Á +20 ÀîÜÆÐÂ1 2026-03-31 20/1000 2026-04-03 09:58 by linyelide
[¿¼ÑÐ] 366Çóµ÷¼ÁÒ»Ö¾Ô¸¶«±±´óѧ +8 ÔËÆøÀ´µÃÈôÓÐËÆÎ 2026-04-02 8/400 2026-04-02 21:39 by dongzh2009
[¿¼²©] ²ÄÁϹ¤³Ìרҵ˶ʿÉ격 +3 ÷ëÕýÓî 2026-03-30 3/150 2026-04-02 15:04 by greychen00
[¿¼ÑÐ] Ò»Ö¾Ô¸±±¾©¿Æ¼¼´óѧ085601²ÄÁϹ¤³ÌÓ¢Ò»Êý¶þ³õÊÔ×Ü·Ö335Çóµ÷¼Á +8 Ë«ÂíβƦÀϰå2 2026-04-02 9/450 2026-04-02 14:45 by 5896
[¿¼ÑÐ] 302Çóµ÷¼ÁÒ»Ö¾Ô¸±±º½070300£¬±¾¿ÆÖ£´ó»¯Ñ§ +8 Ê¥ÈÕ¶úÂüÌõ 2026-04-01 11/550 2026-04-02 07:40 by chemdavid
[¿¼ÑÐ] 285Çóµ÷¼Á +11 AZMK 2026-04-01 11/550 2026-04-01 22:40 by peike
[¿¼ÑÐ] Ò»Ö¾Ô¸±±½»²ÄÁϹ¤³Ì×Ü·Ö358 +5 cs0106 2026-04-01 7/350 2026-04-01 11:45 by wangjy2002
[¿¼ÑÐ] µ÷¼ÁÉêÇë +8 ÕÅÕÅÕÅÕÅzy 2026-03-31 9/450 2026-04-01 08:29 by zjbkx
[¿¼ÑÐ] ¿¼Ñе÷¼Á +9 СÀ¯ÐÂ±Ê 2026-03-29 10/500 2026-03-31 19:52 by Dyhoer
[¿¼ÑÐ] 297 µØÀíѧ070500 ¸´ÊÔÇóµ÷¼Á +3 СԲȦȦooo 2026-03-30 3/150 2026-03-30 21:05 by ÓàÕðyz
ÐÅÏ¢Ìáʾ
ÇëÌî´¦ÀíÒâ¼û