| 查看: 2619 | 回复: 2 | ||
| 当前只显示满足指定条件的回帖,点击这里查看本话题的所有回帖 | ||
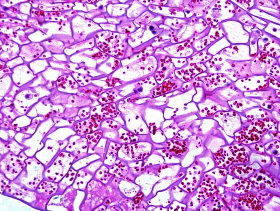
[求助]
HE切片分析
|
||
|
各大神,求分析图片中是不是炎症细胞?! 发自小木虫Android客户端 |
» 猜你喜欢
斑马鱼孵化求助
已经有0人回复
投稿Elsevier的Neoplasia杂志,到最后选publishing options时页面空白,不能完成投稿
已经有23人回复
生物物理、生物化学与分子生物学论文润色/翻译怎么收费?
已经有297人回复
生物学-微生物学-博士申请,有分子生物学、发酵工程、生物信息学等基础
已经有1人回复
悉尼大学 AMME 机械工程 双ARC Future Fellows团队招收CSC博士生
已经有29人回复
2026 法国csc 个人渠道招聘。计算机/生物信息/evolution/network优先
已经有0人回复
蛋白条带歪
已经有1人回复
金属离子与化合物分子对接
已经有1人回复
求助参苓白术口服液、肥儿口服液,儿康宁糖浆的质量标准!
已经有2人回复
香港中文大学医学院 诚聘 研究助理教授 (医工结合/生物信息学方向)
已经有21人回复
3楼2017-09-02 13:22:58
2楼2017-08-24 13:28:19













回复此楼

10