| 查看: 6160 | 回复: 3 | ||
Cherry111111新虫 (初入文坛)
|
[求助]
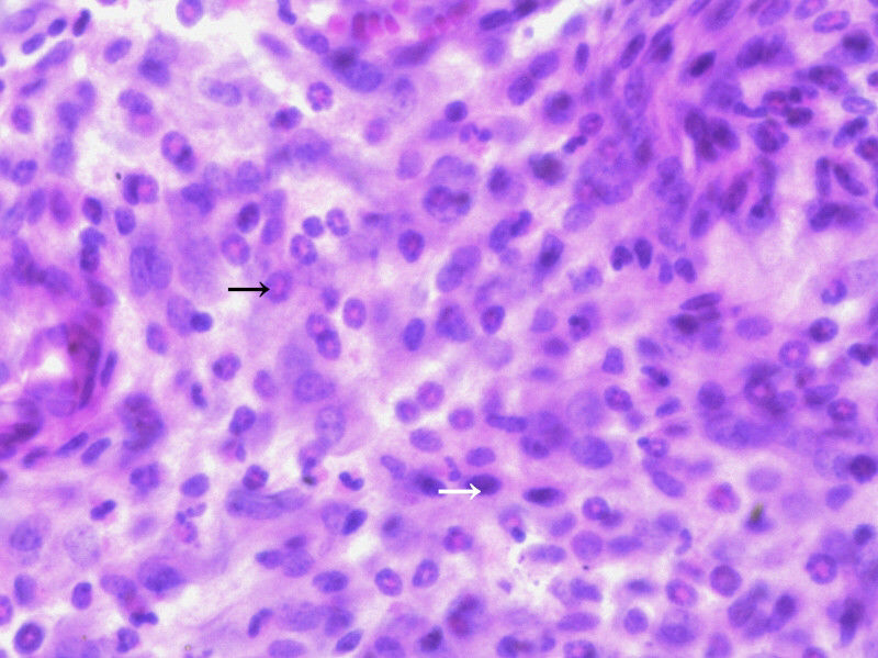
HE染色,病理图分析
|
|
请问,箭头指向的细胞是什么细胞? 发自小木虫IOS客户端 |
» 猜你喜欢
大家的面上项目去哪里查的啊?
已经有5人回复
国自然一点消息都没有,最后居然公布的时候有我的份!感恩
已经有9人回复
遗传学与生物信息学论文润色/翻译怎么收费?
已经有61人回复
MDPI投稿连续拒稿是什么原因?文章质量不好吗?还是其他原因?
已经有21人回复
349药学专硕341找调剂,A区B区线均过
已经有5人回复
2024年度省自然基金中标的基金号什么时候有啊?
已经有12人回复
稍安勿躁,这周估计不会出结果。
已经有2人回复
喜提第一个省自然面上,特来散金以表感谢
已经有182人回复
26年医学方向申博自荐
已经有5人回复
Cherry111111
新虫 (初入文坛)
- 应助: 0 (幼儿园)
- 金币: 136.3
- 帖子: 9
- 在线: 1.7小时
- 虫号: 5474651
- 注册: 2017-01-12
- 性别: MM
- 专业: 细胞生物学
2楼2017-05-09 12:02:44
Cherry111111
新虫 (初入文坛)
- 应助: 0 (幼儿园)
- 金币: 136.3
- 帖子: 9
- 在线: 1.7小时
- 虫号: 5474651
- 注册: 2017-01-12
- 性别: MM
- 专业: 细胞生物学
3楼2017-05-09 12:03:24
牛振鹏8888
木虫 (正式写手)
神
- 应助: 0 (幼儿园)
- 金币: 2313.6
- 红花: 9
- 沙发: 1
- 帖子: 782
- 在线: 55.3小时
- 虫号: 8307534
- 注册: 2018-03-18
- 性别: GG
- 专业: 药理学

4楼2018-03-27 20:04:59













回复此楼
10