版块导航
正在加载中...
客户端APP下载
论文辅导
调剂小程序
登录
注册
帖子
帖子
用户
本版
应《网络安全法》要求,自2017年10月1日起,未进行实名认证将不得使用互联网跟帖服务。为保障您的帐号能够正常使用,请尽快对帐号进行手机号验证,感谢您的理解与支持!
24小时热门版块排行榜
>
论坛更新日志
(682)
>
虫友互识
(63)
>
导师招生
(26)
>
考研
(15)
>
考博
(12)
>
论文投稿
(11)
>
教师之家
(10)
>
硕博家园
(10)
>
文献求助
(8)
>
博后之家
(7)
>
基金申请
(7)
>
公派出国
(7)
>
电化学
(5)
>
休闲灌水
(5)
>
论文道贺祈福
(4)
>
找工作
(4)
小木虫论坛-学术科研互动平台
»
生物医药区
»
微生物
»
菌种资源
»
活性污泥微生物
22
1/1
返回列表
查看: 1489 | 回复: 21
只看楼主
@他人
存档
新回复提醒
(忽略)
收藏
在APP中查看
xiangqing28
新虫
(初入文坛)
应助: 0
(幼儿园)
金币: 6956.6
帖子: 16
在线: 2.6小时
虫号: 2082928
[交流]
活性污泥微生物
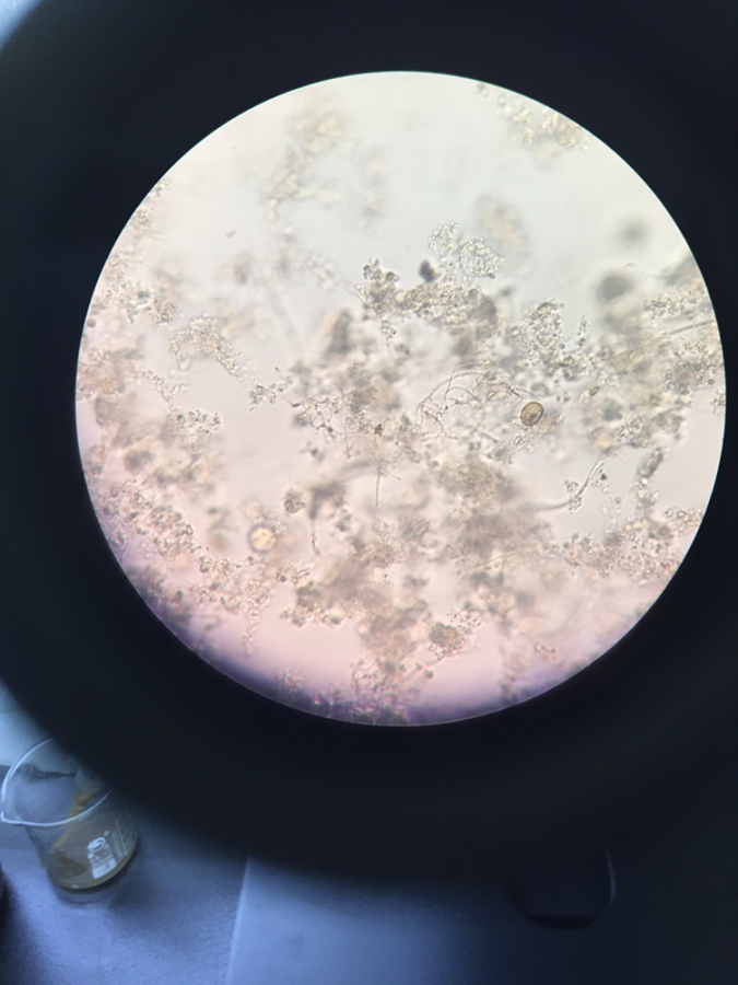
最近发现好多类似于做手工用的顶针样微生物,特别多,有什么意义?
发自小木虫IOS客户端
回复此楼
» 猜你喜欢
售SCI一区文章,我:8 O5 51O 54,科目齐全,可+急
已经有6人回复
售SCI一区文章,我:8 O5 51O 54,科目齐全,可+急
已经有5人回复
售SCI一区文章,我:8 O5 51O 54,科目齐全,可+急
已经有6人回复
售SCI一区文章,我:8 O5 51O 54,科目齐全,可+急
已经有6人回复
售SCI一区文章,我:8 O5 51O 54,科目齐全,可+急
已经有8人回复
售SCI一区文章,我:8 O5 51O 54,科目齐全,可+急
已经有3人回复
版面费该交吗
已经有8人回复
售SCI一区文章,我:8 O5 51O 54,科目齐全,可+急
已经有3人回复
基金正文30页指的是报告正文还是整个申请书
已经有6人回复
面上可以超过30页吧?
已经有4人回复
高级回复
» 本主题相关价值贴推荐,对您同样有帮助:
请高手提供 活性污泥丝状微生物检索表
已经有0人回复
活性污泥微生物
已经有22人回复
初沉池中活性污泥性质与二沉池中活性污泥的区别
已经有10人回复
跪求 活性污泥中这是什么微生物
已经有1人回复
用微生物法处理棉浆黑液的过程中,活性污泥的驯化过程出现了问题
已经有2人回复
活性污泥中的微生物 钟虫
已经有7人回复
厌氧活性污泥SVI过高以及活性污泥微生物镜检的相关问题
已经有0人回复
最大化地将活性污泥上的微生物游离到水相中
已经有0人回复
显微镜观察污水和活性污泥中微生物问题
已经有10人回复
厌氧活性污泥
已经有3人回复
活性污泥镜检
已经有6人回复
活性污泥中微生物
已经有15人回复
活性污泥镜检
已经有2人回复
重金属对活性污泥中微生物生长的抑制动力学实验怎么做样设计?
已经有2人回复
活性污泥的存储
已经有13人回复
活性污泥中筛选微生物
已经有2人回复
请问哪位大虾知道什么方法可以从土壤或活性污泥中提取微生物蛋白或酶?
已经有3人回复
【求助】活性污泥中微生物培养的问题
已经有5人回复
【讨论】活性污泥微生物种群多样性
已经有5人回复
» 抢金币啦!回帖就可以得到:
查看全部散金贴
单曲循环久了很多都会变
+
1
/425
山东征女友,坐标济南
+
1
/165
招收桥梁工程方向博士研究生!
+
3
/158
坐标广州,征女友
+
2
/120
招聘启事(酶工程与发酵工程方向)
+
2
/96
广工-董华锋教授团队招收博士生(1学博-0-1专博)
+
1
/83
天津科技大学海洋与环境学院殷焕顺团队招博士生1名---分析化学领域
+
1
/80
南通大学生物医药方向国家级人才团队招收“申请-考核”制博士研究生20260222
+
2
/74
西工大控制科学博后招聘
+
1
/52
大连海事大学轮机学院尚有博士名额
+
2
/46
英国南安普顿大学禅铎课题组诚招气候动力方向博士后
+
1
/5
国自然B0706药物化学生物学,需要什么样的文章才能中
+
1
/5
全奖博士 英国利物浦大学+台湾清华大学 双博士学位
+
1
/5
双一流天津工业大学电信学院李鸿强教授招收2026年申请审核制博士
+
1
/3
【科研助理招聘-北京理工大学-集成电路与电子学院-国家杰青团队】
+
1
/3
内江师范学院能源转化与储能实验室诚聘博士1-2人
+
1
/3
天津医科大学基础医学院张恒课题组博士后招聘
+
1
/3
武汉理工大学数学与统计学院张秀军教授课题组招收2026级秋季博士研究生
+
1
/2
武汉理工大学数学与统计学院张秀军教授课题组招收2026级秋季博士研究生
+
1
/2
澳科大招收2026秋纳米医学/生物材料方向全奖博士研究生(3月5日18:00截止)
+
1
/2
1楼
2017-05-06 06:50:07
已阅
回复此楼
关注TA
给TA发消息
送TA红花
TA的回帖
么么哒0120
铜虫
(小有名气)
应助: 1
(幼儿园)
金币: 464.6
帖子: 93
在线: 20.7小时
虫号: 2460662
★
xiangqing28(金币+1): 谢谢参与
怎么这么像板栗,哈哈哈
发自小木虫IOS客户端
赞
一下
回复此楼
2楼
2017-05-06 07:55:25
已阅
回复此楼
关注TA
给TA发消息
送TA红花
TA的回帖
小冀-
版主
(著名写手)
MicEPI: 8
应助: 713
(博后)
贵宾: 3.033
金币: 11446.9
帖子: 2509
在线: 445.9小时
虫号: 1521695
★
xiangqing28(金币+1): 谢谢参与
好多人应该都不知道顶针是啥
赞
一下
回复此楼
6楼
2017-05-06 11:49:33
已阅
回复此楼
关注TA
给TA发消息
送TA红花
TA的回帖
wq576122117
银虫
(正式写手)
应助: 2
(幼儿园)
金币: 1559.6
帖子: 518
在线: 62.6小时
虫号: 2622348
★
xiangqing28(金币+1): 谢谢参与
是生物吗
发自小木虫IOS客户端
回复此楼
7楼
2017-05-06 11:53:51
已阅
回复此楼
关注TA
给TA发消息
送TA红花
TA的回帖
lglp418228
铜虫
(小有名气)
应助: 0
(幼儿园)
金币: 70.9
帖子: 127
在线: 52.5小时
虫号: 449129
★
xiangqing28(金币+1): 谢谢参与
在哪里发现的?
发自小木虫Android客户端
回复此楼
10楼
2017-05-06 18:58:56
已阅
回复此楼
关注TA
给TA发消息
送TA红花
TA的回帖
xiangqing28
新虫
(初入文坛)
应助: 0
(幼儿园)
金币: 6956.6
帖子: 16
在线: 2.6小时
虫号: 2082928
引用回帖:
10楼
:
Originally posted by
lglp418228
at 2017-05-06 18:58:56
在哪里发现的?
活性污泥镜检出来的,微生物都是有指示性的,这个也不动,内部有点像向日葵
发自小木虫IOS客户端
赞
一下
回复此楼
11楼
2017-05-07 08:08:54
已阅
回复此楼
关注TA
给TA发消息
送TA红花
TA的回帖
xiangqing28
新虫
(初入文坛)
应助: 0
(幼儿园)
金币: 6956.6
帖子: 16
在线: 2.6小时
虫号: 2082928
引用回帖:
10楼
:
Originally posted by
lglp418228
at 2017-05-06 18:58:56
在哪里发现的?
活性污泥镜检出来的,微生物都是有指示性的,这个也不动,内部有点像向日葵
发自小木虫IOS客户端
赞
一下
回复此楼
12楼
2017-05-07 08:09:43
已阅
回复此楼
关注TA
给TA发消息
送TA红花
TA的回帖
xiangqing28
新虫
(初入文坛)
应助: 0
(幼儿园)
金币: 6956.6
帖子: 16
在线: 2.6小时
虫号: 2082928
引用回帖:
10楼
:
Originally posted by
lglp418228
at 2017-05-06 18:58:56
在哪里发现的?
活性污泥镜检出来的,微生物都是有指示性的,这个也不动,内部有点像向日葵
发自小木虫IOS客户端
赞
一下
回复此楼
13楼
2017-05-07 08:09:43
已阅
回复此楼
关注TA
给TA发消息
送TA红花
TA的回帖
豆豆灰
新虫
(初入文坛)
应助: 0
(幼儿园)
金币: 581.1
帖子: 19
在线: 6.3小时
虫号: 5120401
★
xiangqing28(金币+1): 谢谢参与
你看像不像壳虫
发自小木虫IOS客户端
回复此楼
21楼
2017-05-10 15:13:08
已阅
回复此楼
关注TA
给TA发消息
送TA红花
TA的回帖
金色年华Z
新虫
(小有名气)
应助: 0
(幼儿园)
金币: 366.4
帖子: 91
在线: 11.9小时
虫号: 5304243
★
xiangqing28(金币+1): 谢谢参与
表壳虫
发自小木虫IOS客户端
回复此楼
22楼
2017-06-05 19:02:22
已阅
回复此楼
关注TA
给TA发消息
送TA红花
TA的回帖
简单回复
bigbear8703
3楼
2017-05-06 08:12
回复
xiangqing28(金币+1): 谢谢参与
tanliangzhi
4楼
2017-05-06 08:33
回复
xiangqing28(金币+1): 谢谢参与
,
发自小木虫Android客户端
纳米材料753
5楼
2017-05-06 09:01
回复
xiangqing28(金币+1): 谢谢参与
slytjiaofei
8楼
2017-05-06 12:43
回复
xiangqing28(金币+1): 谢谢参与
syhorchid
9楼
2017-05-06 13:27
回复
xiangqing28(金币+1): 谢谢参与
nono2009
14楼
2017-05-08 06:46
回复
xiangqing28(金币+1): 谢谢参与
lvluohua
15楼
2017-05-08 12:14
回复
xiangqing28(金币+1): 谢谢参与
sz_kebaoyuan
16楼
2017-05-08 12:17
回复
xiangqing28(金币+1): 谢谢参与
李慧玲
17楼
2017-05-08 12:19
回复
xiangqing28(金币+1): 谢谢参与
chejiacun
18楼
2017-05-08 12:22
回复
xiangqing28(金币+1): 谢谢参与
施家台
19楼
2017-05-08 12:24
回复
xiangqing28(金币+1): 谢谢参与
1030623543
20楼
2017-05-08 12:26
回复
xiangqing28(金币+1): 谢谢参与
相关版块跳转
新药研发
药学
药品生产
分子生物
微生物
动植物
生物科学
医学
我要订阅楼主
xiangqing28
的主题更新
22
1/1
返回列表
如果回帖内容含有宣传信息,请如实选中。否则帐号将被全论坛禁言
普通表情
龙
兔
虎
猫
高级回复
(可上传附件)
百度网盘
|
360云盘
|
千易网盘
|
华为网盘
在新窗口页面中打开自己喜欢的网盘网站,将文件上传后,然后将下载链接复制到帖子内容中就可以了。
信息提示
关闭
请填处理意见
关闭
确定