| 查看: 2343 | 回复: 0 | ||
[求助]
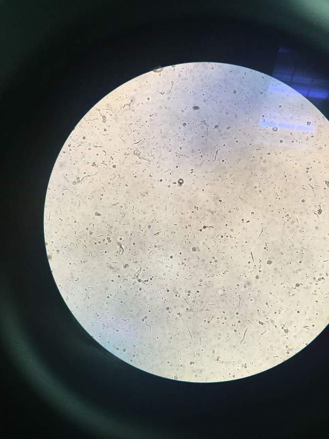
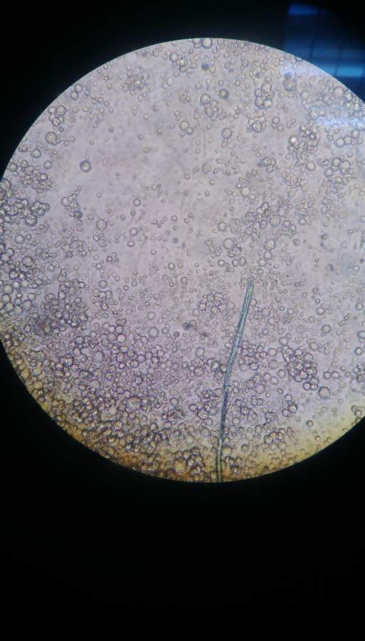
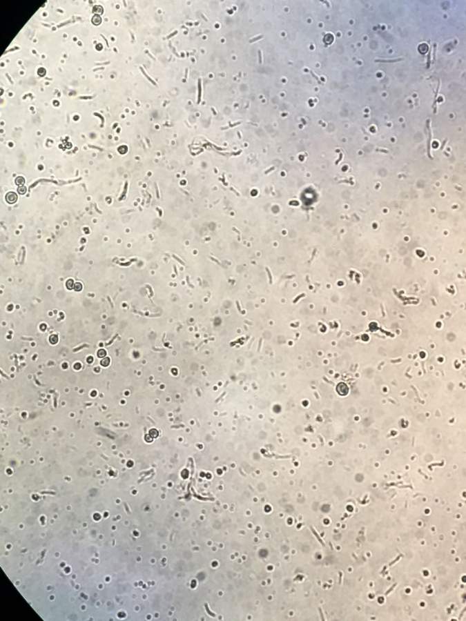
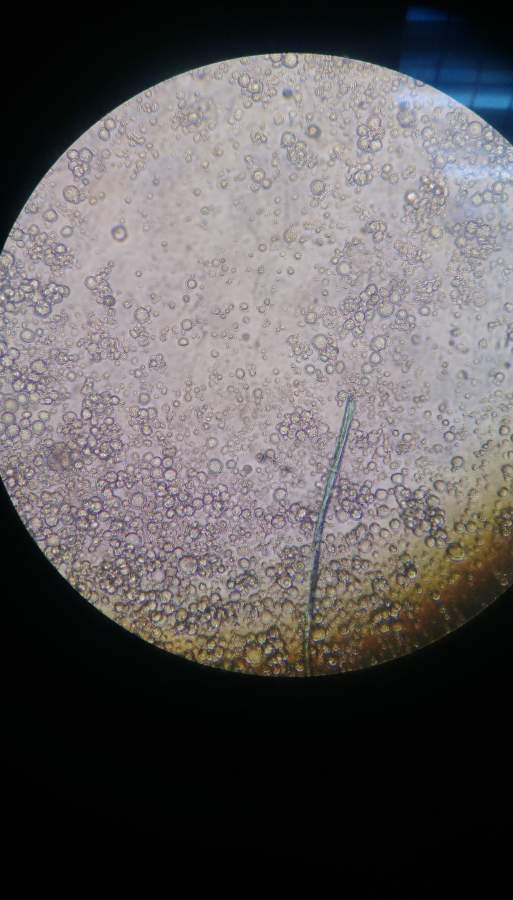
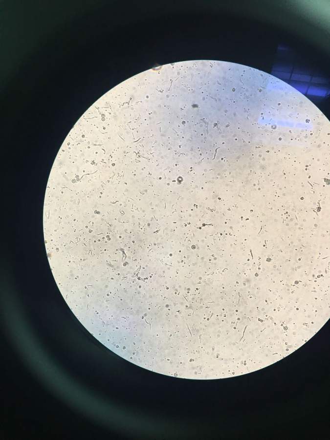
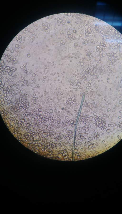
养单克隆细胞出了问题,请各位大神看下这是什么东西?
|
抗体工程 |
» 猜你喜欢
327求调剂
已经有16人回复
085600材料与化工329分求调剂
已经有16人回复
考研调剂
已经有8人回复
279学硕食品专业求调剂院校
已经有23人回复
各位老师好,求调剂,本科211,一志愿天津大学生物与医药学硕,差两名录取。
已经有8人回复
288求调剂,一志愿华南理工大学071005
已经有21人回复
化学070300 求调剂
已经有19人回复
B区0809 ,数一英一,290 求调剂
已经有4人回复
290求调剂
已经有16人回复
274求调剂
已经有8人回复
» 本主题相关商家推荐: (我也要在这里推广)















回复此楼
