| 查看: 1548 | 回复: 13 | ||
| 当前只显示满足指定条件的回帖,点击这里查看本话题的所有回帖 | ||
城墨青人金虫 (小有名气)
|
[交流]
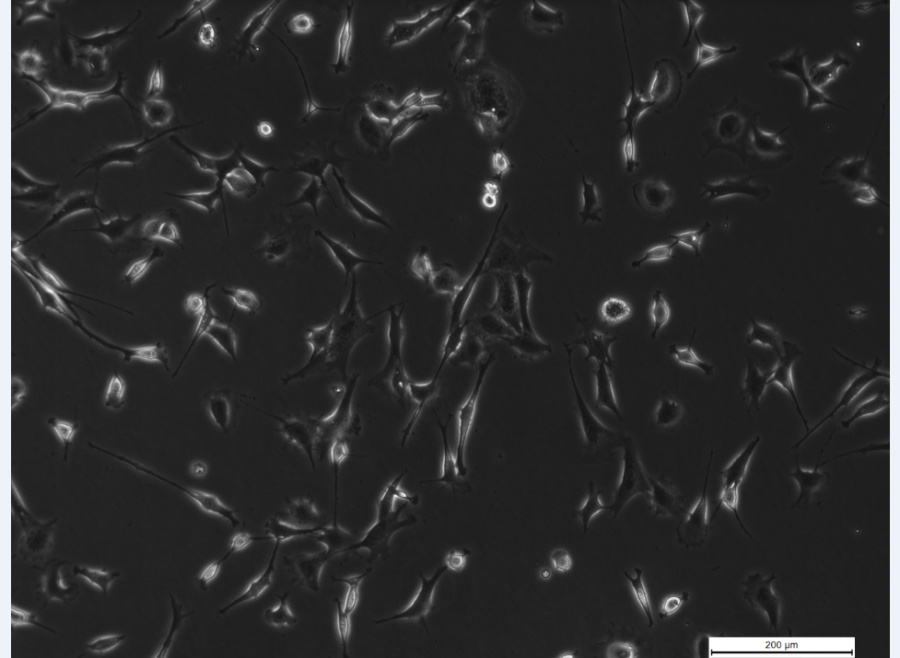
请问下我养的MC3T3E1细胞怎么样已有2人参与
|
|
Super_M
木虫 (小有名气)
- 应助: 13 (小学生)
- 金币: 4567.9
- 散金: 67
- 红花: 1
- 帖子: 283
- 在线: 259.3小时
- 虫号: 1304110
- 注册: 2011-05-23
- 专业: 仿生材料
13楼2016-09-02 17:22:48
3楼2016-08-26 16:41:23
城墨青人
金虫 (小有名气)
- 应助: 1 (幼儿园)
- 金币: 611.6
- 散金: 5
- 帖子: 62
- 在线: 55.1小时
- 虫号: 3178347
- 注册: 2014-05-03
- 性别: GG
- 专业: 骨、关节、软组织损伤与修
4楼2016-08-26 16:45:18
城墨青人
金虫 (小有名气)
- 应助: 1 (幼儿园)
- 金币: 611.6
- 散金: 5
- 帖子: 62
- 在线: 55.1小时
- 虫号: 3178347
- 注册: 2014-05-03
- 性别: GG
- 专业: 骨、关节、软组织损伤与修
5楼2016-08-26 16:46:03













回复此楼