| 查看: 1787 | 回复: 8 | ||
[求助]
请问这是什么菌? 已有6人参与
|
|
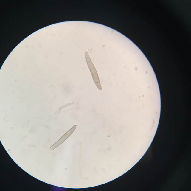
从玉米叶上分离到的?不知道是尾孢属还是长孺孢还是其他? 发自小木虫IOS客户端 |
» 猜你喜欢
» 本主题相关价值贴推荐,对您同样有帮助:
请问这是什么菌?
已经有0人回复
请问各位,这是什么菌?
已经有1人回复
请问哪位知道这是什么菌?
已经有2人回复
请问这是什么菌?
已经有1人回复
求大神指教,这是什么菌?
已经有1人回复
Lechevalieria aerocolonigenes这是什么菌?
已经有3人回复
求助,支气管上呼吸道炎症,请问这是什么菌?
已经有1人回复
这是个什么菌?
已经有16人回复
油菜与农杆菌共培养后长出橘红色菌落,请问要怎么防止啊?是什么菌?谢谢!
已经有1人回复
请问这是白腐真菌吗?若否,又是什么菌?
已经有0人回复
求助,MS培养中出现红色菌落,这是什么菌?
已经有11人回复
请问大虾些这是什么菌?
已经有6人回复
请问这是什么菌?
已经有2人回复
请问这是什么菌?
已经有8人回复
嘟嘟熊levi
金虫 (小有名气)
- 应助: 6 (幼儿园)
- 金币: 2973.1
- 散金: 120
- 红花: 11
- 帖子: 265
- 在线: 537.6小时
- 虫号: 3265599
- 注册: 2014-06-10
- 性别: GG
- 专业: 细胞增殖、生长与分化

2楼2016-06-16 11:56:36
pier0529
金虫 (正式写手)
- MicEPI: 1
- 应助: 12 (小学生)
- 金币: 4234.8
- 帖子: 632
- 在线: 115.4小时
- 虫号: 980902
- 注册: 2010-03-24
- 专业: 病原真菌学
3楼2016-06-17 07:17:31
4楼2016-06-17 15:06:26
zhqw423
木虫 (著名写手)
- 应助: 13 (小学生)
- 金币: 3280.5
- 散金: 521
- 红花: 5
- 沙发: 3
- 帖子: 1297
- 在线: 138.7小时
- 虫号: 457748
- 注册: 2007-11-12
- 性别: GG
- 专业: 微生物学

5楼2016-06-18 11:26:16
6楼2022-11-10 08:17:46
rentao142857
新虫 (小有名气)
- 应助: 0 (幼儿园)
- 金币: 117.5
- 散金: 10
- 帖子: 53
- 在线: 23.1小时
- 虫号: 3941451
- 注册: 2015-06-26
- 专业: 微生物学
7楼2022-11-10 10:25:33
8楼2022-11-23 00:50:54
9楼2022-11-23 00:52:25














回复此楼
