| 查看: 3125 | 回复: 4 | ||
[求助]
L6细胞诱导分化 已有1人参与
|
|
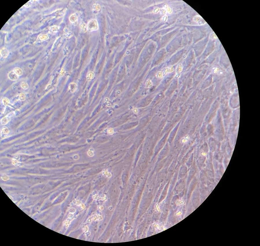
400X倒置显微镜下L6细胞用2%FBS诱导分化6天的结果, 1.请教各位大神帮我看下有没有分化成功? 2.可以用什么方法鉴定分化成功? 3.分化用2%FBS跟2%马血清有什么区别吗? 诱导分化第6天.jpg |
» 猜你喜欢
筑牢营养安全线:以精准检测,护健康基石
已经有0人回复
推荐一些20种氨基酸检测的实际应用案例
已经有0人回复
化学工程及工业化学论文润色/翻译怎么收费?
已经有176人回复
不合理蛙科研实验中的趣事:实验器材的 “乌龙”
已经有0人回复
不合理蛙科研实验中的趣事:和实验材料的 “斗智斗勇”
已经有0人回复
蛋白质检测:精准分析,解锁生物分子的密码
已经有0人回复
不合理蛙科研实验之小鼠实验:严谨设计,解析生命机制的重要载体
已经有0人回复
不合理蛙科研实验之重金属检测:精准筛查,守护健康与环境的防线
已经有0人回复
不合理蛙科研实验之“蛙测重金属我背锅三千”
已经有0人回复
不合理蛙科研实验之“鼠逃三次我发三篇SCI”
已经有0人回复
kangaroo0513
新虫 (正式写手)
- MolEPI: 1
- 应助: 154 (高中生)
- 金币: 2277.4
- 散金: 100
- 红花: 29
- 帖子: 464
- 在线: 119.4小时
- 虫号: 2621902
- 注册: 2013-08-28
- 专业: 细胞物质运输
2楼2016-05-24 01:45:59
3楼2016-05-24 08:30:38
kangaroo0513
新虫 (正式写手)
- MolEPI: 1
- 应助: 154 (高中生)
- 金币: 2277.4
- 散金: 100
- 红花: 29
- 帖子: 464
- 在线: 119.4小时
- 虫号: 2621902
- 注册: 2013-08-28
- 专业: 细胞物质运输
【答案】应助回帖
感谢参与,应助指数 +1
| 这个看起来是老化了的细胞,几乎不怎么能分化了,你看到那个是很差的肌管。。。我记得我以前发过分化的图。。我找找。。http://muchong.com/bbs/viewthread.php?tid=9363484&authorid=2621902 |
4楼2016-05-24 15:29:43
5楼2016-05-24 17:25:16













回复此楼