| ²é¿´: 5343 | »Ø¸´: 22 | ||
»ôìÇzzÒø³æ (СÓÐÃûÆø)
|
[ÇóÖú]
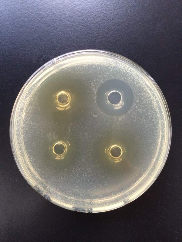
ÒÖ¾úȦÎÊÌâÇóÖú£¡£¡ ÒÑÓÐ4È˲ÎÓë
|
|
|
|
||
| »ØÌûÖ§³Ö ( ÏÔʾ֧³Ö¶È×î¸ßµÄǰ 50 Ãû ) | ||
½ðÊ¥¹¦³Éгæ (ÕýʽдÊÖ)
|
¡¾´ð°¸¡¿Ó¦Öú»ØÌû
¡ï ¡ï ¡ï ¡ï ¡ï
¸Ðл²ÎÓ룬ӦÖúÖ¸Êý +1 »ôìÇzz: ½ð±Ò+5, ¡ï¡ï¡ïºÜÓаïÖú 2016-03-28 14:55:28
|
|
![]() |
||
|
7Â¥2016-03-23 22:50:43
|
|
|
ÃÎÏë-±±¾©¾èÖú¹ó±ö (СÓÐÃûÆø)
²»ÐàÉÙÄêÓÐ×Å·ÅËÁµÄÃÎ
|
||
![]() |
||
|
3Â¥2016-03-22 15:39:51
|
|
|
Mabel kľ³æ (ÕýʽдÊÖ)
|
||
![]() |
||
|
14Â¥2016-05-06 15:49:33
|
|
|
xiaoquandaoгæ (ÕýʽдÊÖ)
|
||
|
18Â¥2017-05-23 13:13:13
|
|
|
| ÆÕͨ»ØÌû | ||
ÕÅÏþÌÚ58гæ (ÕýʽдÊÖ)
|
||
|
2Â¥2016-03-22 15:35:15
|
|
|
ltlipcÌú¸Ëľ³æ (ÖøÃûдÊÖ)
|
|
|
![]() |
||
|
4Â¥2016-03-22 15:52:27
|
|
|
ºìÉ«ç³Óãгæ (³õÈëÎÄ̳)
|
||
|
5Â¥2016-03-22 21:17:32
|
|
|
sailor521ͳæ (СÓÐÃûÆø)
|
|
|
![]() |
||
|
6Â¥2016-03-23 00:24:48
|
|
|
µ¾²ÝÈ˵ĴºÌìľ³æ (ÕýʽдÊÖ)
|
||
|
8Â¥2016-03-24 16:16:36
|
|
|
lordsidiousÌú¸Ëľ³æ (ÖªÃû×÷¼Ò)
Dark Lord of the Sith
|
||
![]() |
||
|
9Â¥2016-03-25 08:00:30
|
|
|
ÀÏκÔÚÀ¼ÖÝ½ð³æ (ÖøÃûдÊÖ)
С˶
|
|
|
![]() |
||
|
10Â¥2016-03-26 15:09:37
|
|
|













»Ø¸´´ËÂ¥


10