| 查看: 5508 | 回复: 2 | |
1225823858zj金虫 (正式写手)
想飞的风筝
|
[求助]
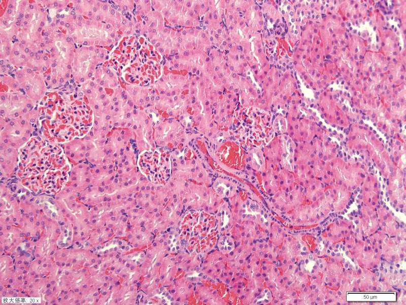
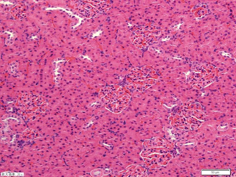
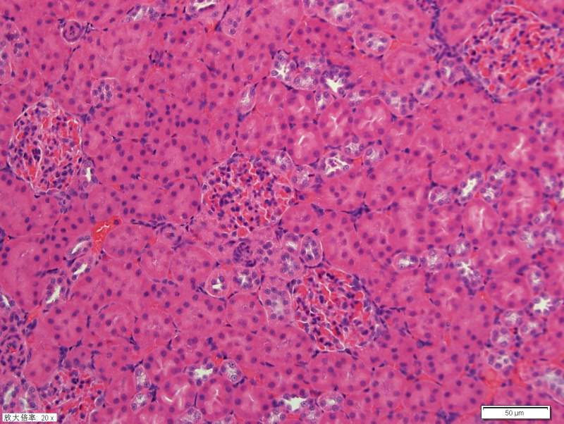
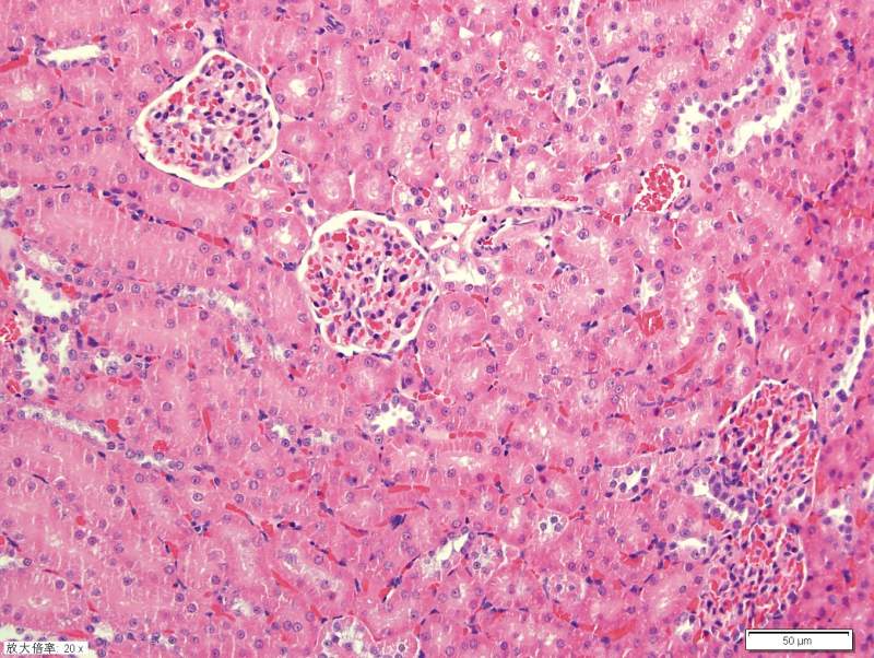
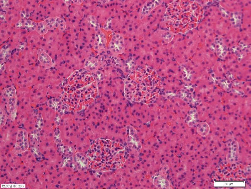
请教各位高手关于肾脏HE染色 已有1人参与
|
![]() |
|
|
|
|
qq693056322金虫 (小有名气)
ronnie
|
|
![]() |
|
|
2楼2016-03-02 12:54:04
|
|
1225823858zj金虫 (正式写手)
想飞的风筝
|
|
![]() |
|
|
3楼2016-03-02 16:20:06
|
|













回复此楼