| 查看: 891 | 回复: 2 | ||
[求助]
请教的油红染色问题
|
|
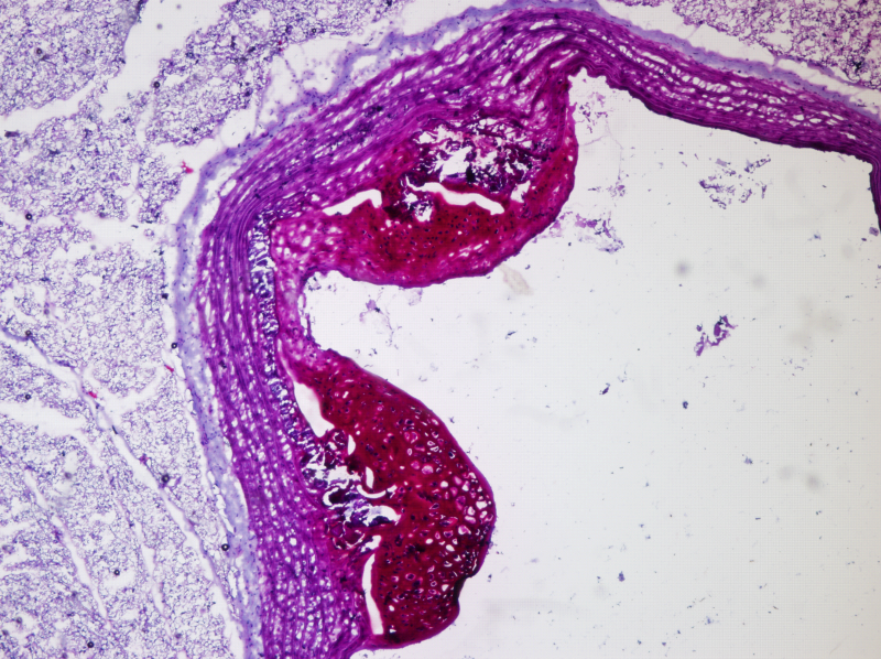
我们用高脂高糖饲喂SD大鼠建立动脉粥样硬化模型,喂养12周后,取血管和肝冰冻——OCT包埋——油红染色,现在拿到血管染色的片子,感觉和HE染色的颜色相近,不知道是不是血管中是否有斑块,请高手赐教,谢谢! 2V-4x.PNG |
» 猜你喜欢
酰胺脱乙酰基
已经有11人回复
同年申请2项不同项目,第1个项目里不写第2个项目的信息,可以吗
已经有4人回复
有时候真觉得大城市人没有县城人甚至个体户幸福
已经有10人回复
天津大学招2026.09的博士生,欢迎大家推荐交流(博导是本人)
已经有5人回复
有院领导为了换新车,用横向课题经费买了俩车
已经有5人回复
CSC & MSCA 博洛尼亚大学能源材料课题组博士/博士后招生|MSCA经费充足、排名优
已经有6人回复
面上项目申报
已经有3人回复
博士延得我,科研能力直往上蹿
已经有7人回复
面上基金申报没有其他的参与者成吗
已经有5人回复
遇见不省心的家人很难过
已经有22人回复
|
本帖内容被屏蔽 |
2楼2017-06-30 08:47:00
|
本帖内容被屏蔽 |
3楼2017-06-30 08:48:36













回复此楼