| 查看: 3547 | 回复: 2 | |||
[交流]
大鼠踝关节 滑膜病理切片 已有1人参与
|
|
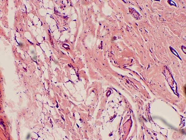
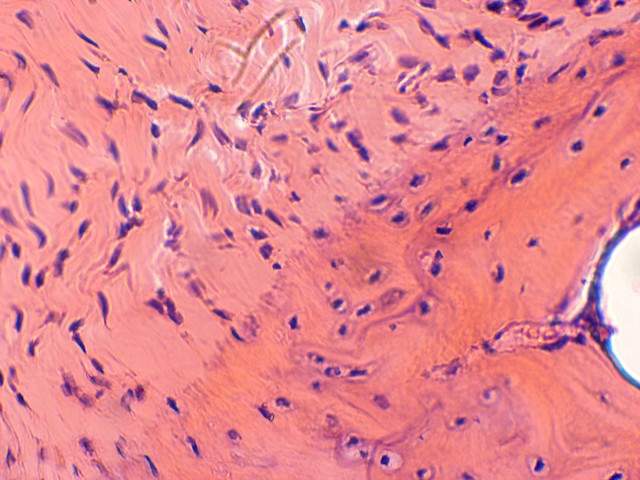
最近 在做大鼠踝关节 滑膜病理切片,由一点都不懂,到稍懂了一点,把自己的切片图拿出来抛砖引玉,想和大家讨论一下,如何看图。如何看里面的毛细血管充血,炎细胞(中性粒细胞、淋巴细胞)、成纤维细胞等。大家一起来讨论讨论吧 1.jpg 2.jpg 3.jpg 4.jpg 5.jpg |
» 本帖已获得的红花(最新10朵)
» 猜你喜欢
287求调剂
已经有5人回复
22408 344分 求调剂 一志愿 华电计算机技术
已经有3人回复
289求调剂
已经有3人回复
317求调剂
已经有10人回复
广西大学家禽遗传育种课题组2026年硕士招生(接收计算机专业调剂)
已经有3人回复
学校已经提交到NSFC,还能修改吗?
已经有8人回复
08工学调剂
已经有5人回复
281求调剂(0805)
已经有25人回复
085600材料与化工
已经有6人回复
265求调剂
已经有8人回复
| 顶一下 |
2楼2016-01-15 22:54:49
3楼2018-11-29 10:42:55













回复此楼
sjl简简单单