| ²é¿´: 3449 | »Ø¸´: 7 | ||
[ÇóÖú]
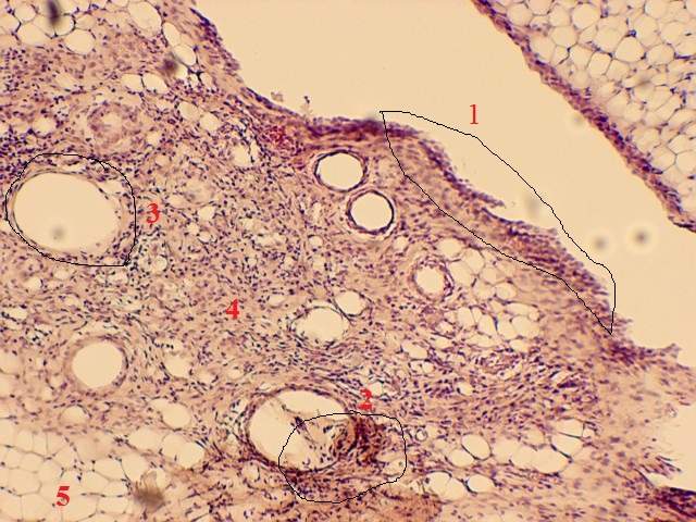
´óÊó»¬Ä¤²¡ÀíÇÐÆ¬Í¼½â ÒÑÓÐ1È˲ÎÓë
|
|
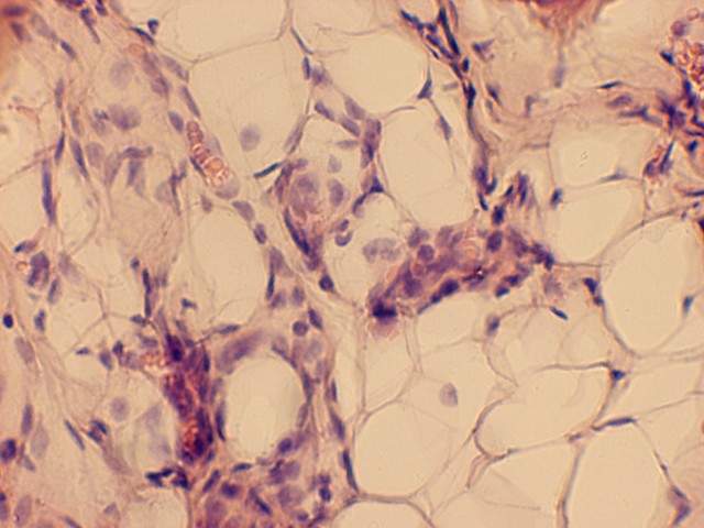
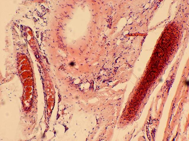
Çë´óÏÀÃÇÖ¸µ¼Ï ÈçºÎ¿´Ñ×ÐÔϸ°û½þÈó £¬ »¬Ä¤ÔöÉú £¬ºÍѪ¹Üôè ! ²»Ê¤¸Ð¼¤£¡ ºÃµÄ»ØÌû »áËͺ컨һ¶ä£¡ 1.jpg 2.jpg 3.jpg 4.jpg |
» ²ÂÄãϲ»¶
ÇóÖúϸ°ûĤ°ü¹ü´ÅÖéÏà¹ØÎÊÌâ
ÒѾÓÐ1È˻ظ´
Çóµ÷¼Á
ÒѾÓÐ0È˻ظ´
µØ·½²¡Ñ§/Ö°Òµ²¡Ñ§ÂÛÎÄÈóÉ«/·ÒëÔõôÊÕ·Ñ?
ÒѾÓÐ89È˻ظ´
25É격
ÒѾÓÐ3È˻ظ´
ʵÑéÊÒ×ÛºÏÆÀ¹ÀÁ¿±í£¨20251029V1£©
ÒѾÓÐ1È˻ظ´
¹ã¶«Ê¡ÌØÖ§¼Æ»®ÇàÄê°Î¼âÈ˲ÅÏîÄ¿
ÒѾÓÐ8È˻ظ´
¡¾²©Ê¿ÕÐÉú¡¿º£ÄÏ´óѧ ÄÔ»ú½Ó¿Ú¡¢Éñ¾µ÷¿Ø·½Ïò£¨ÈýÑÇ£©²©Ê¿ÕÐÉú
ÒѾÓÐ6È˻ظ´
ÇóÖú¡¶ISO 10993-1Ò½ÁÆÆ÷еÉúÎïѧÆÀ¼Û-µÚ1²¿·Ö¡·
ÒѾÓÐ0È˻ظ´
µÚ¾ÅÅú¹ã¶«Ê¡ÌØÖ§¼Æ»®ÇàÄê°Î¼âÈ˲ÅÏîÄ¿
ÒѾÓÐ1È˻ظ´
» ±¾Ö÷ÌâÏà¹Ø¼ÛÖµÌùÍÆ¼ö£¬¶ÔÄúͬÑùÓаïÖú:
´óÊó»¬Ä¤²¡ÀíÇÐÆ¬Í¼½â
ÒѾÓÐ8È˻ظ´
SLL1122
ͳæ (СÓÐÃûÆø)
- Ó¦Öú: 0 (Ó×¶ùÔ°)
- ½ð±Ò: 141.6
- É¢½ð: 32
- ºì»¨: 2
- Ìû×Ó: 113
- ÔÚÏß: 158.8Сʱ
- ³æºÅ: 2144724
- ×¢²á: 2012-11-23
- רҵ: ²¡ÔÕæ¾úѧ
2Â¥2016-01-14 12:40:04
3Â¥2016-01-14 18:03:59
whitewave
ÖÁ×ðľ³æ (ÕýʽдÊÖ)
- Ó¦Öú: 22 (СѧÉú)
- ½ð±Ò: 13215.8
- ºì»¨: 5
- Ìû×Ó: 863
- ÔÚÏß: 138.7Сʱ
- ³æºÅ: 677331
- ×¢²á: 2008-12-18
- רҵ: Ö×ÁöÕï¶Ï
¡¾´ð°¸¡¿Ó¦Öú»ØÌû
|
ËäÈ»ÎÒ¶ÔÓ¦ÖúÕßµÄÈÈÇé±íʾ»¶Ó£¬µ«ÊÇÎÒ¸öÈ˾õµÃ²»Çå³þ»¹ÊDz»ÒªÎóµ¼±ðÈË¡£Ê×ÏÈÕâ¸öͼƬÊÇHEȾɫ°É£¬Èç¹ûÊÇ£¬È¾É«²»Õý£¬À¶É«²»À¶£¬ºìɫҲ²îÒ»µãºì£¬¶Ô±È²»ÏÊÃ÷¡£ÁíÍâÂ¥Ö÷¼ÈÈ»±ê×¢ÁËÊý×ÖÈÃÈ˸øÄã¿´£¬Äã×îºÃ°Ñÿ¸öÊý×Ö±ê×¢µÄµØ·½¶¼·Å´ó×ö¸öͼ£¡¿ÉÒԿ϶¨µÄ¸æËßÄ㣬ÄǸöͼ2Öм¸ºõ¾ÍÊÇÖ¬·¾Ï¸°û(·ä³²Ñù£©¾ÍÊÇÄã±ê5µÄµØ·½¡£Í¼4×óϽÇÓÐÁ½¸öºìÉ«µÄ¹Ü×ÓÑùµÄ¶«Î÷¾ÍÊÇСѪ¹Ü£¬Äã±êÊý×Ö2ºÍ3µÄµØ·½Ó¦¸ÃÊÇѪ¹Ü£¬Äã±ê1ÄÇ¿éÅԱߵÄСȦҲӦ¸ÃÊÇѪ¹Ü£¬Õâô¶àѪ¹ÜÔÚ»¬Ä¤Ó¦¸Ã¿ÉÒÔ˵Ѫ¹ÜÔöÉú£¬×îÎÈÍ×µÄÊÇÄãÕÒÕý³£´óÊóµÄ»¬Ä¤Ò²×öÇÐÆ¬¿´¿´Ñª¹ÜÃܶÈÓ¦¸Ã±ÈÕâ¸ö·Å´ó±¶Êýϵͺܶ࣡ͼÖÐÄÇÖÖÀ¶É«Ô²ÐεÄϸ°ûÖ÷ÒªÔÚÄã±ê3421Ö®¼äÇøÓòµÄÊÇÑ×ϸ°û£¬¾ßÌåÖÖÀàûÓÐ20±¶ÎᄉϵÄͼ£¬ÎÒ²»¸ÒÂÒ˵£¬³£Ê¶Ò»°ãÊÇÁܰÍϸ°ûºÍ½¬Ï¸°û¡£Äã¿ÉÒÔÕÒ±¾×éÖ¯Åß̥ѧͼÆ×¿´¿´¾ÍºÃºÜ¶à¡£ [ ·¢×ÔÊÖ»ú°æ http://muchong.com/3g ] |

4Â¥2016-01-17 19:51:44
5Â¥2016-01-18 12:02:05
6Â¥2016-01-18 12:21:07
7Â¥2016-01-18 12:34:56
datang_ks
гæ (³õÈëÎÄ̳)
- Ó¦Öú: 0 (Ó×¶ùÔ°)
- ½ð±Ò: 152
- Ìû×Ó: 15
- ÔÚÏß: 6Сʱ
- ³æºÅ: 2729577
- ×¢²á: 2013-10-16
8Â¥2016-03-23 21:58:27













»Ø¸´´ËÂ¥