| 查看: 1573 | 回复: 8 | ||
qing227金虫 (正式写手)
|
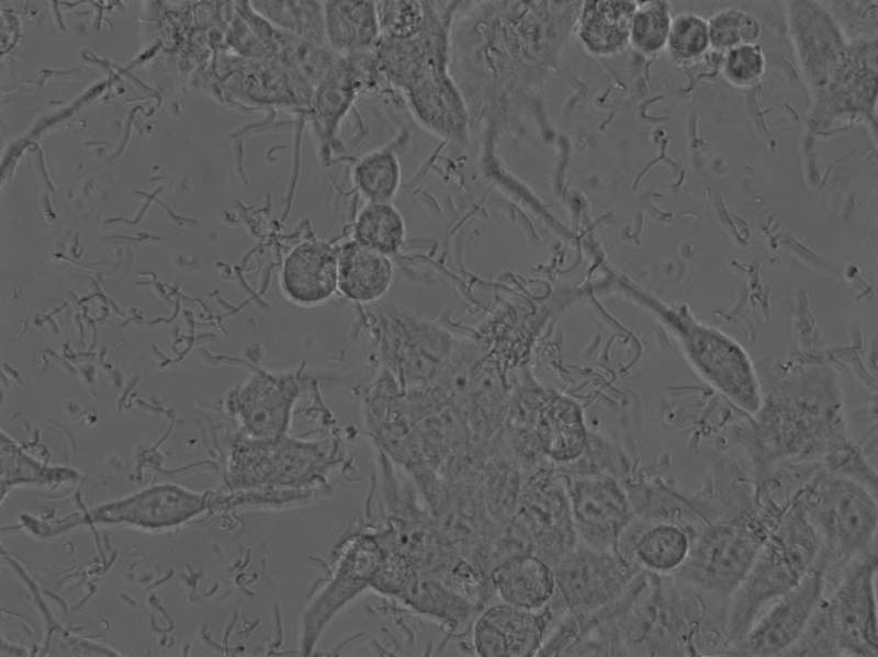
[求助]
怀疑细胞感染了真菌,求大神们看看 已有2人参与
|
|
|
|
||
肖大爷1314金虫 (小有名气)
|
【答案】应助回帖
★ ★ ★ ★ ★ ★ ★ ★ ★ ★
感谢参与,应助指数 +1 qing227: 金币+10, ★有帮助 2016-01-27 20:04:36 » 本帖已获得的红花(最新10朵) |
|
![]() |
||
|
2楼2016-01-08 11:21:44
|
|
|
qing227金虫 (正式写手)
|
送红花一朵
|
|
|
3楼2016-01-08 17:32:10
|
|
|
![]() |
||
|
4楼2016-01-27 14:12:13
|
|
|
qing227金虫 (正式写手)
|
||
|
5楼2016-01-27 20:05:46
|
|
|
motes1206捐助贵宾 (初入文坛)
|
||
|
6楼2016-01-28 11:24:44
|
|
|
|
7楼2016-01-28 12:51:27
|
|
|
|
8楼2016-01-28 12:52:21
|
|
|
langzian木虫 (正式写手)
|
||
![]() |
||
|
9楼2016-01-28 14:15:49
|
|














回复此楼
qing227