±±¾©Ê¯ÓÍ»¯¹¤Ñ§Ôº2026ÄêÑо¿ÉúÕÐÉú½ÓÊÕµ÷¼Á¹«¸æ
²é¿´: 1038  |  »Ø¸´: 0

öηçÖ®¼ÇÒä

Í­³æ (³õÈëÎÄ̳)

[ÇóÖú] ÇóÖú¡¿ÄÄλ´óÏÀ×ö¹ýÔ­´úϸ°ûÌáÈ¡£¬ÓÃpercoll·ÖÀëµÄ£¿Ð¡µÜ²»µÃ¼¼ÊõÒªÁì°¡£¡¼±Çó°ïÖú°¡

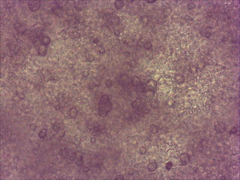
×î½üÔÚÌáÈ¡³ûѼµÄÔ­´ú¸Îϸ°û£¬ÓõÄÌåÄÚ¹àÁ÷·¨£¬ÏÈÓøÎËØÄÆ³åѪ£¬ÔÙÓýºÔ­Ã¸IVÏû»¯£¬È»ºóȡϸÎÔ࣬¼ôË飬¼ÓÅàÑø»ù£¬500rpmÀëÐÄ£¬3min¡£ÀëÁ½´Îºó£¬ÔÙÓÃpercoll·ÖÀë¡£²éµÄ·½·¨ÊÇ£º1¡¢percollÔ­Òº1.131µÄ£¬È»ºó0.1MPBS 1:9Ï¡ÊͳɷÖÀëÒºI£¬2¡¢ÔÙÓë0.01M PBSÒÔ7:3Åä±È£¬4000rpmÏÈÀëÐÄ£¬µÃ·ÖÀëÒºII 3¡¢»ºÂý¼ÓÈëϸ°ûÐüÒº£¬4000rpm·ÖÀë3min¡£²»ÖªÎªÉ¶£¬ÎÒ×öµÄ×ÜÊDz»·Ö²ã£¬×ÜÊǼ¯ÖÐÔÚÅàÑø»ùºÍpercollÖ®¼ä£¬ÏÔ΢¾µÏ¾ÍÊÇͼÉÏÕâÖÖ£¬ÓÐϸ°û£¬µ«ºÃ¶àÔÓÖÊ¡£
ÇëÎÊ´óÉñ£¬ÕâЩÔÓÖÊÊÇʲô¶«Î÷°¡£¿Ï¸°ûË鯬Âð£¿
»¹ÓÐÎÒµÄPBSÊÇ×Ô¼ºÅäµÄ£¬Ò²ÊÇһЩͨÓõÄÅä·½£¬¸Ð¾õûʲôÎÊÌâ¡£
ÓÐ×ö¹ýpercoll·ÖÀëϸ°ûµÄ´óÉñ£¬¸æÖªÒ»ÏÂpercoll·ÖÀëϸ°ûµÄÒªµã°¡¡£ÎÒ²éµÄÊÇ·ÖÀëÒºIIÅäºÃºóÒªÏÈÀëÐÄ£¬ÔÙ¼Óϸ°ûÀëÐÄ£¬ÕâÑùºÏÀíÂð£¿ÎÒÒ²ÊÔ¹ýÖ±½ÓÀëÐÄϸ°û£¬»¹ÊDz»ÐÐÄØ¡£
¸Ð¼¤²»¾¡¸Ð¼¤²»¾¡£¡£¡

ÇóÖú¡¿ÄÄλ´óÏÀ×ö¹ýÔ­´úϸ°ûÌáÈ¡£¬ÓÃpercoll·ÖÀëµÄ£¿Ð¡µÜ²»µÃ¼¼ÊõÒªÁì°¡£¡¼±Çó°ïÖú°¡
ÎÞpercoll-2.jpg
»Ø¸´´ËÂ¥

» ²ÂÄãϲ»¶

·çÓê¼æ³Ì£¬ÓÐÄ㣬¾ÍÓÐÏ£Íû
ÒÑÔÄ   »Ø¸´´ËÂ¥   ¹Ø×¢TA ¸øTA·¢ÏûÏ¢ ËÍTAºì»¨ TAµÄ»ØÌû
Ïà¹Ø°æ¿éÌø×ª ÎÒÒª¶©ÔÄÂ¥Ö÷ öηçÖ®¼ÇÒä µÄÖ÷Ìâ¸üÐÂ
×î¾ßÈËÆøÈÈÌûÍÆ¼ö [²é¿´È«²¿] ×÷Õß »Ø/¿´ ×îºó·¢±í
[¿¼ÑÐ] 277Çóµ÷¼Á ÊýÒ»104·Ö +9 Æ¿×ÓPZ 2026-04-05 13/650 2026-04-06 23:48 by À¶ÔÆË¼Óê
[¿¼ÑÐ] 318Çóµ÷¼Á +12 ykyhsa 2026-04-05 14/700 2026-04-06 17:46 by fuyu_
[¿¼ÑÐ] Ò»Ö¾Ô¸211£¬»¯Ñ§Ñ§Ë¶£¬310·Ö£¬±¾¿ÆÖصãË«·Ç£¬Çóµ÷¼Á +13 ŬÁ¦·Ü¶·112 2026-04-04 13/650 2026-04-06 07:13 by jj987
[¿¼ÑÐ] ²ÄÁϵ÷¼Á +14 Ò¼·¡·¡ÒÚ 2026-04-04 14/700 2026-04-05 23:31 by À´¿´Á÷ÐÇÓê10
[¿¼ÑÐ] ¹¤¿Æ277·ÖÇóµ÷¼Á²ÄÁÏ +8 ÉÏÁËÉÏÁËÉÏŶ 2026-04-05 9/450 2026-04-05 13:05 by wwytracy
[¿¼ÑÐ] µ÷¼ÁÇóÖú +10 Ïë»»ÊÖ»ú²»Ïë½âÊ 2026-04-02 13/650 2026-04-05 09:41 by sam3303
[¿¼ÑÐ] 26µ÷¼Á 086003 +6 ʧ»îµÄϸ°û 2026-04-04 6/300 2026-04-04 09:50 by zhangdingwa
[¿¼ÑÐ] ×Ü·Ö328ÉúÎïÓëÒ½Ò©¿¼ÊýѧÇóµ÷¼Á +7 aaadim 2026-04-02 9/450 2026-04-03 22:53 by syh9288
[¿¼ÑÐ] Ò»Ö¾Ô¸ÖØÇì´óѧ085404£¬×Ü·Ö314·Ö£¬Çóµ÷¼Á +4 zf83hn 2026-04-03 4/200 2026-04-03 21:25 by à£à£à£0119
[¿¼ÑÐ] Çóµ÷¼Á +8 akdhjs 2026-04-03 8/400 2026-04-03 18:17 by ´÷άING
[¿¼ÑÐ] 11408£¬284·Ö£¬¶þÕ½Õæ³ÏÇóµ÷¼Á +4 12.27 2026-04-02 4/200 2026-04-03 14:14 by dxiaoxin
[¿¼ÑÐ] 266·Ö£¬Ò»Ö¾Ô¸µçÆø¹¤³Ì£¬±¾¿Æ²ÄÁÏ£¬Çó²ÄÁÏרҵµ÷¼Á +9 ÍÛºôºßºôºß 2026-04-02 9/450 2026-04-03 12:05 by 1753564080
[¿¼ÑÐ] ÉúÎïѧ˶341Çóµ÷¼Á +4 ÄãЦÆðÀ´ÏñÔÆ¶ä 2026-04-03 4/200 2026-04-03 10:32 by macy2011
[¿¼ÑÐ] ¸´ÊÔµ÷¼Á +3 bvzz 2026-04-01 3/150 2026-04-03 09:47 by À¶ÔÆË¼Óê
[¿¼ÑÐ] µ÷¼Á +3 osbbx 2026-04-02 3/150 2026-04-03 07:47 by cc8418
[¿¼ÑÐ] ½»Í¨ÔËÊ俼ÊÔ264·ÖÇ󹤿Ƶ÷¼Á +4 jike777 2026-04-02 4/200 2026-04-02 21:53 by zllcz
[¿¼ÑÐ] 283Çóµ÷¼Á +3 jiouuu 2026-04-02 4/200 2026-04-02 14:08 by ßÕßÕßÕßÉßÉßÉ
[¿¼ÑÐ] Ò»Ö¾Ô¸±±¾©¿Æ¼¼´óѧ085601²ÄÁϹ¤³ÌÓ¢Ò»Êý¶þ³õÊÔ×Ü·Ö335Çóµ÷¼Á +9 Ë«ÂíβƦÀϰå2 2026-04-01 9/450 2026-04-02 12:14 by oooqiao
[¿¼ÑÐ] 310·ÖÇóµ÷¼Á +4 ³É¹¦Éϰ¶wang 2026-04-01 4/200 2026-04-01 20:35 by liu823948201
[¿¼ÑÐ] Çóµ÷¼Á£¬Ò»Ö¾Ô¸±±ÁÖʳƷÓëÓªÑø095500£¬301·Ö£¬ÒѹýÁù¼¶£¬ÓпÆÑо­Àú +4 ¿ìÀÖ´¢Ðî¹Þ 2026-03-31 4/200 2026-04-01 09:26 by JourneyLucky
ÐÅÏ¢Ìáʾ
ÇëÌî´¦ÀíÒâ¼û