24小时热门版块排行榜    

北京石油化工学院2026年研究生招生接收调剂公告
查看: 640  |  回复: 0

sciencelight

捐助贵宾 (小有名气)


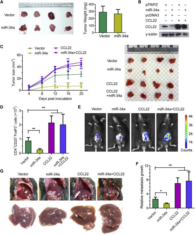
[交流] 活体成像技术在医学研究领域的经典文献

精诺真体内可见光成像技术文献精选


1.        细胞凋亡与白血病
Activation of Apoptosis in Vivo by a Hydrocarbon-Stapled BH3 Helix
SCIENCE   2004,305:1466-1470
通过对BCL-2蛋白家族BID的BH3结构域进行化学修饰,使其容易穿过细胞膜,在活体内研究其激活血癌细胞发生凋亡的功能和机制。

2.        肿瘤发生
Suppression of anoikis and induction of metastasis by the neurotrophic receptor TrkB
NATURE   2004,430:1034-1040
利用荧光素酶基因标记的癌细胞,研究神经营养性受体TrkB抑制细胞凋亡和促进肿瘤发生和转移的作用。

3.        肿瘤转移
Distinct organ-specific metastatic potential of individual breast cancer cells and primary tumors
THE JOURNAL OF CLINICAL INVESTIGATION   2005,115(1):44-55
观察荧光素酶标记的乳腺癌细胞在动物体内的转移情况,说明肿瘤细胞的器官特异性转移与特定系列的基因表达相关。

4.        自发肝癌
MYC inactivation uncovers pluripotent differentiation and tumour dormancy in hepatocellular cancer
NATURE     2004, 431:1034-1040
利用条件转基因动物,研究了致癌基因MYC在小鼠自发性肝癌形成过程中的作用。

5.        病毒载体基因治疗
Systemic tumor targeting and killing by Sindbis viral vectors
NATURE  BIOTECHNOLOGY    2004, 22(1):70-77
本文依据Sindbis病毒对癌细胞表面超量表达的LAMR的识别的机理,以荧光素酶基因分别标记病毒和癌细胞, 观察标记的病毒在体内对癌细胞的靶向识别和特异性杀伤。

6.        免疫治疗
Revealing lymphoma growth and the efficacy of immune cell therapies using in vivo bioluminescence imaging
BLOOD   2003, 101(2):640-648
示踪CIK细胞对肿瘤细胞的识别和清除。



7.        细胞凋亡
Non-invasive real time imaging of apoptosis
PNAS    2004, 99(26):16551-16555
在荧光素酶的两边通过连接肽接上抑制其发光的蛋白(雌激素受体), 连接肽具有Caspase-3的特异识别位点。细胞发生凋亡时, Caspase-3被激活, 切断了连接荧光素酶与其抑制蛋白间的连接肽, 恢复了荧光素酶的活性。

8.        siRNA研究
RNA interference in adult mice
NATURE         2002, 418:38-39
本文观察了人工合成的siRNA在活体动物体内阻断荧光素酶基因表达的情况,并证明通过质粒DNA模板体内转录合成的小发夹形式RNA(shRNA)可用来有效地阻断 HCV(丙肝病毒)相关基因的体内表达。

9.        干细胞
Dynamic tracking of human hematopoietic stem cell engraftment using in vivo bioluminescence imaging
BLOOD, 2003 102(10): 3478-3482
研究了荧光素酶转染的人造血干细胞在实验动物体内的增殖能力。

10.        细菌感染
Extracellular replication of Listeria monocytogenes in the murine gall bladder.
SCIENCE  2004, 303(5659):851-853
利用细菌荧光素酶基因标记的单核细胞增多性李斯特氏菌,发现其可在小鼠胆囊腔内进行胞外繁殖。

11.        病毒感染
Bioluminescence Imaging Reveals Systemic Dissemination of Herpes Simplex Virus Type 1 in the Absence of Interferon Receptors.
JOURNAL OF VIROLOGY   2003, 77(20):11082-11093
观察小鼠干扰素受体缺失情况对Ⅰ型单纯疱疹病毒(HSV-1)感染模式的影响。

12.        蛋白质相互作用
Noninvasive imaging of protein-protein interactions in living subjects by using reporter protein complementation and reconstitution strategies
PNAS        2002, 99(24):15608-15613
在活体动物体内观察蛋白质之间的相互作用。

13.        基因表达
Tracking angiogenesis induced by skin wounding and contact hypersensitivity using a Vegfr2-luciferase transgenic mouse
BLOOD   2004, 103(2): 617-626
利用表达荧光素酶的转基因动物研究特定基因的时空表达情况。

活体成像技术在医学研究领域的经典文献
无标题2.jpg


活体成像技术在医学研究领域的经典文献-1
无标题4.jpg


活体成像技术在医学研究领域的经典文献-2
无标题13.jpg


活体成像技术在医学研究领域的经典文献-3
无标题16.jpg
回复此楼

» 猜你喜欢

已阅   回复此楼   关注TA 给TA发消息 送TA红花 TA的回帖
相关版块跳转 我要订阅楼主 sciencelight 的主题更新
普通表情 高级回复 (可上传附件)
最具人气热帖推荐 [查看全部] 作者 回/看 最后发表
[考研] 安徽大学专硕生物与医药专业(086000)324分,英语已过四六级,六级521,求调剂 +7 美味可乐鸡翅 2026-03-26 7/350 2026-03-31 14:23 by 18828373951
[考研] 070300一志愿211,312分求调剂院校 +10 小黄鸭宝 2026-03-30 10/500 2026-03-31 14:22 by 六翼TMR
[考研] 考研调剂求助 +5 13287130938 2026-03-31 5/250 2026-03-31 14:16 by limeifeng
[考研] 求调剂 +8 11ggg 2026-03-30 8/400 2026-03-31 13:56 by nanaliuyun
[考研] 070300化学354求调剂 +13 101次希望 2026-03-28 13/650 2026-03-31 13:38 by anny19840123
[考研] 一志愿浙江大学工科动力工程370,数一121,专业课135,现在能去哪里 +3 080700调剂 2026-03-30 4/200 2026-03-31 12:00 by KLMY666
[考研] 材料专硕调剂 +12 椰椰。 2026-03-29 12/600 2026-03-31 10:52 by foria
[考研] 320分,材料与化工专业,求调剂 +10 一定上岸aaa 2026-03-27 14/700 2026-03-31 10:47 by foria
[考研] 南京大学化学调剂 +11 景随风 2026-03-29 16/800 2026-03-31 10:14 by herarysara
[考研] 材料求调剂 一志愿哈工大总分298分,前三科223分 +10 dongfang59 2026-03-27 10/500 2026-03-30 23:42 by 果果妈咪
[考研] 289求调剂 +16 新时代材料 2026-03-27 16/800 2026-03-30 19:04 by Wang200018
[考研] 求调剂 +10 家佳佳佳佳佳 2026-03-29 10/500 2026-03-30 18:34 by 544594351
[考研] 0703化学/290求调剂/本科经历丰富/工科也可 +13 丹青奶盖 2026-03-26 15/750 2026-03-30 12:35 by fangnagu
[考研] 318求调剂 +7 陈晨79 2026-03-30 7/350 2026-03-30 10:49 by 探123
[考研] 一志愿武汉理工,总分321,英一数二,求老师收留。 +11 nnnnnnn5 2026-03-25 11/550 2026-03-29 20:42 by 无际的草原
[考研] 305求调剂 +8 RuiFairyrui 2026-03-28 8/400 2026-03-29 08:22 by fmesaito
[考研] 286求调剂 +12 PolarBear11 2026-03-26 12/600 2026-03-28 12:14 by zllcz
[考研] 考研调剂 +9 小蜡新笔 2026-03-26 9/450 2026-03-27 11:10 by 不吃魚的貓
[考研] 081200-11408-276学硕求调剂 +4 崔wj 2026-03-26 4/200 2026-03-27 08:04 by chemisry
[考研] 321求调剂 +6 wasdssaa 2026-03-26 6/300 2026-03-26 20:57 by sanrepian
信息提示
请填处理意见