| ²é¿´: 979 | »Ø¸´: 9 | ||
СÑò123Òø³æ (ÖøÃûдÊÖ)
|
[ÇóÖú]
Çë°ïæ¿´ÏÂÕâÇÐÆ¬ÄÜ˵Ã÷ʲôÂ𣿺ÚÉ«µÄÊÇÎÒÇÐÆ¬¼¼ÊõÎÊÌâÂ𣿠ÒÑÓÐ2È˲ÎÓë
|
|
лл¡£ ·¢×ÔСľ³æAndroid¿Í»§¶Ë |
» ²ÂÄãϲ»¶
Ò»Ö¾Ô¸ÏÃÃÅ´óѧ»¯Ñ§Ñ§Ë¶307Çóµ÷¼Á
ÒѾÓÐ3È˻ظ´
315·ÖÇóµ÷¼Á
ÒѾÓÐ4È˻ظ´
»¯Ñ§µ÷¼ÁÒ»Ö¾Ô¸ÉϺ£½»Í¨´óѧ336·Ö-±¾¿ÆÉϺ£211
ÒѾÓÐ4È˻ظ´
×Ü·Ö293Çóµ÷¼Á
ÒѾÓÐ7È˻ظ´
»·¾³×¨Ë¶324·ÖÇóµ÷¼ÁÍÆ¼ö
ÒѾÓÐ3È˻ظ´
284Çóµ÷¼Á
ÒѾÓÐ3È˻ظ´
±±¾©ÁÖÒµ´óѧ˶µ¼ÕÐÉú¹ã¸æ
ÒѾÓÐ6È˻ظ´
0703»¯Ñ§/290Çóµ÷¼Á/±¾¿Æ¾Àú·á¸»/¹¤¿ÆÒ²¿É
ÒѾÓÐ3È˻ظ´
274Çóµ÷¼Á
ÒѾÓÐ16È˻ظ´
Ò»Ö¾Ô¸±±¾©»¯¹¤´óѧ²ÄÁÏÓ뻯¹¤£¨085600£©296Çóµ÷¼Á
ÒѾÓÐ4È˻ظ´
» ±¾Ö÷ÌâÏà¹Ø¼ÛÖµÌùÍÆ¼ö£¬¶ÔÄúͬÑùÓаïÖú:
Ժʮ·ç²É£¬¾«²ÊÈËÉú
ÒѾÓÐ4È˻ظ´
СÑò123
Òø³æ (ÖøÃûдÊÖ)
- Ó¦Öú: 3 (Ó×¶ùÔ°)
- ½ð±Ò: 688.9
- É¢½ð: 2116
- ºì»¨: 19
- Ìû×Ó: 1419
- ÔÚÏß: 321.3Сʱ
- ³æºÅ: 1941700
- ×¢²á: 2012-08-16
- רҵ: ¸ß·Ö×ÓÎïÀíÓë¸ß·Ö×ÓÎïÀí»¯
|
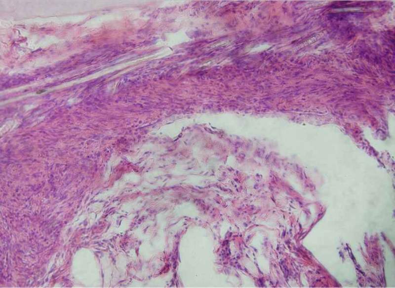
ÕâÈýÕÅÊDz»Ò»ÑùµÄ£¬Ò»¸öÊÇ´ÆÊóÓвÄÁÏ£¬ÁíÍâÁ½¸ö·Ö±ðÊÇ´ÆÐ۵Ŀհס£ ·¢×ÔСľ³æAndroid¿Í»§¶Ë |
2Â¥2015-12-24 11:38:54
flyingtech
ľ³æ (ÕýʽдÊÖ)
- Ó¦Öú: 7 (Ó×¶ùÔ°)
- ½ð±Ò: 3321.7
- É¢½ð: 212
- ºì»¨: 2
- Ìû×Ó: 728
- ÔÚÏß: 212.2Сʱ
- ³æºÅ: 1372706
- ×¢²á: 2011-08-19
- ÐÔ±ð: GG
- רҵ: É«Æ×·ÖÎö

3Â¥2015-12-24 16:14:54
СÑò123
Òø³æ (ÖøÃûдÊÖ)
- Ó¦Öú: 3 (Ó×¶ùÔ°)
- ½ð±Ò: 688.9
- É¢½ð: 2116
- ºì»¨: 19
- Ìû×Ó: 1419
- ÔÚÏß: 321.3Сʱ
- ³æºÅ: 1941700
- ×¢²á: 2012-08-16
- רҵ: ¸ß·Ö×ÓÎïÀíÓë¸ß·Ö×ÓÎïÀí»¯
4Â¥2015-12-24 16:56:30
hoyeung
¾èÖú¹ó±ö (СÓÐÃûÆø)
- Ó¦Öú: 12 (СѧÉú)
- ½ð±Ò: 1208.1
- É¢½ð: 200
- ºì»¨: 6
- Ìû×Ó: 283
- ÔÚÏß: 43.2Сʱ
- ³æºÅ: 3973720
- ×¢²á: 2015-07-16
- ÐÔ±ð: GG
- רҵ: ¶¯ÎﲡÀíѧ
¡¾´ð°¸¡¿Ó¦Öú»ØÌû
¸Ðл²ÎÓ룬ӦÖúÖ¸Êý +1
|
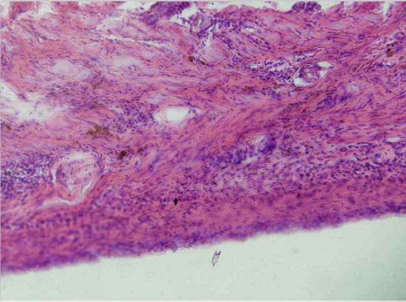
Â¥Ö÷£¬ÄãµÄÇÐÆ¬ÖÊÁ¿È·Êµ²»Ì«ºÃ£¬Ê×ÏÈÇÐÆ¬Ê±Óе¶ºÛ£¬ÔÙ¾ÍÊÇÇÐÆ¬Ì«ºñ£¬ÇÐÆ¬²»ÔÚÍ¬Ò»Æ½Ãæ£¬×Ðϸ¿´µÚ¶þÕž۽¹²»ÔÚÍ¬Ò»Æ½Ãæ£¬È¾É«Ê±Ã»ÓÐÏ´¸É¾»£¬ÓÐÔÓÖÊ£¬ÄÇЩºÚÉ«µÄÓ¦¸ÃÊÇÔÓÖÊ£¬Ò²ÓеãÏñȾɫ²½Öè²»¹æ·¶Ôì³ÉµÄ ·¢×ÔСľ³æIOS¿Í»§¶Ë |
5Â¥2015-12-24 18:44:14
СÑò123
Òø³æ (ÖøÃûдÊÖ)
- Ó¦Öú: 3 (Ó×¶ùÔ°)
- ½ð±Ò: 688.9
- É¢½ð: 2116
- ºì»¨: 19
- Ìû×Ó: 1419
- ÔÚÏß: 321.3Сʱ
- ³æºÅ: 1941700
- ×¢²á: 2012-08-16
- רҵ: ¸ß·Ö×ÓÎïÀíÓë¸ß·Ö×ÓÎïÀí»¯
6Â¥2015-12-24 19:11:12
hoyeung
¾èÖú¹ó±ö (СÓÐÃûÆø)
- Ó¦Öú: 12 (СѧÉú)
- ½ð±Ò: 1208.1
- É¢½ð: 200
- ºì»¨: 6
- Ìû×Ó: 283
- ÔÚÏß: 43.2Сʱ
- ³æºÅ: 3973720
- ×¢²á: 2015-07-16
- ÐÔ±ð: GG
- רҵ: ¶¯ÎﲡÀíѧ
¡¾´ð°¸¡¿Ó¦Öú»ØÌû
|
ÇÐÆ¬ºñ¶È0.8ÎÒ²»¶®£¬Ò»°ãÇÐÆ¬ºñ¶ÈΪ4?6΢Ã×£¬Íê³É²»ÔÚÒ»¸öÆ½ÃæµÄÔÒòÒ»ÊÇÆ¬×ÓÌ«ºñ£¬¶þÊÇÇÐÆ¬Ã»Çкã¬ÖÁÓÚȾɫ³ÊºÚÉ«ÄÇÓÖ¿ÉÄÜÊÇÄǸöѪ¹ÜµÄÄÚÆ¤Ï¸°ûÓÐÒìÊÈÐÔ£¬²»ÓùÜËû£¬Ò²ÐíÏÂÒ»ÕÅÇÐÆ¬¾ÍûÁË ·¢×ÔСľ³æIOS¿Í»§¶Ë |
7Â¥2015-12-24 23:05:13
СÑò123
Òø³æ (ÖøÃûдÊÖ)
- Ó¦Öú: 3 (Ó×¶ùÔ°)
- ½ð±Ò: 688.9
- É¢½ð: 2116
- ºì»¨: 19
- Ìû×Ó: 1419
- ÔÚÏß: 321.3Сʱ
- ³æºÅ: 1941700
- ×¢²á: 2012-08-16
- רҵ: ¸ß·Ö×ÓÎïÀíÓë¸ß·Ö×ÓÎïÀí»¯
8Â¥2015-12-24 23:20:46
tangjiannnu
Ìú¸Ëľ³æ (ÖªÃû×÷¼Ò)
- Ó¦Öú: 20 (СѧÉú)
- ½ð±Ò: 8951.1
- É¢½ð: 831
- ºì»¨: 5
- Ìû×Ó: 5509
- ÔÚÏß: 1761Сʱ
- ³æºÅ: 2492735
- ×¢²á: 2013-06-02
- ÐÔ±ð: GG
- רҵ: ÓлúºÏ³É

9Â¥2015-12-25 12:38:51
СÑò123
Òø³æ (ÖøÃûдÊÖ)
- Ó¦Öú: 3 (Ó×¶ùÔ°)
- ½ð±Ò: 688.9
- É¢½ð: 2116
- ºì»¨: 19
- Ìû×Ó: 1419
- ÔÚÏß: 321.3Сʱ
- ³æºÅ: 1941700
- ×¢²á: 2012-08-16
- רҵ: ¸ß·Ö×ÓÎïÀíÓë¸ß·Ö×ÓÎïÀí»¯
10Â¥2015-12-25 14:41:21













»Ø¸´´ËÂ¥
¾ÍÊÇûÓп´µ½ÄǸö°æ¿é
ÕâÑù°¡£¬ÇÐÆ¬ºñ¶ÈÊÇ0.8µÄ£¬ÇÐÆ¬²»ÔÚÒ»¸öÆ½Ãæ¾Í²»¶®ÁË¡£¾Û½¹µÄ»°£¬Õâ¸öÊDZðÈ˸øÅĵģ¬ËýÃÇÄǾ³£ÅÄ£¬Ó¦¸ÃÊÇÂù¶®µÄ°¡¡£È¾É«Êǰ´ÕÕ²½ÖèÀ´µÄ£¬²»¹ýËÕľ¾«È¾É«ºó£¬ÎÒ¾õµÃÓ¦¸ÃÓô¿Ë®Ï´£¬µ«ÊǶԷ½ÈÃÎÒÓõÄ×ÔÀ´Ë®¡£Õâ¸ö²»ÖªµÀÓÐûÓÐÓ°Ïì¡£µ«ÊÇËùÓеͼÊÇÕâôϴµÄ°¡£¬²»ÄÜÖ»ÓÐÕâ¸öÓÐÎÊÌâ°É¡£¡£