| ²é¿´: 2666 | »Ø¸´: 12 | ||
zhongjiangleгæ (³õÈëÎÄ̳)
|
[ÇóÖú]
Çó´óÉñ¼ø¶¨Ï¸°ûÊDZ»Ê²Ã´ÎÛȾÁË£¿ ÒÑÓÐ7È˲ÎÓë
|
|
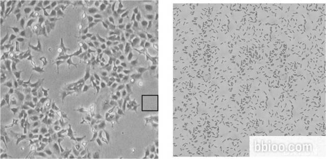
ÅàÑøµÄÊÇÆ¤·ô±íƤϸ°û£¬µ«ÊÇÔÚ´«´úºóµÚ¶þÌì·¢ÏÖϸ°ûÌù±Ú½ÏÉÙ£¬Ï¸°û±³¾°ºÜÔ࣬µ÷Õû½¹¾àºó·¢ÏÖÓкܶà³Êϸ¸Ë×´µÄ¶«Î÷£¬²¢Çһᶯ £¬Çëϸ°ûÅàÑøµÄ´óÉñÃǰïÖú¼ø¶¨Ò»ÏÂÊÇʲôÎÛȾ£¿ÎÛȾ£¿.jpg |
» ²ÂÄãϲ»¶
²ÄÁϵ÷¼Á
ÒѾÓÐ7È˻ظ´
»¯Ñ§¹¤³Ì085602 305·ÖÇóµ÷¼Á
ÒѾÓÐ10È˻ظ´
289Çóµ÷¼Á
ÒѾÓÐ15È˻ظ´
291 Çóµ÷¼Á
ÒѾÓÐ7È˻ظ´
274Çóµ÷¼Á
ÒѾÓÐ14È˻ظ´
±±¾©ÁÖÒµ´óѧ˶µ¼ÕÐÉú¹ã¸æ
ÒѾÓÐ3È˻ظ´
309Çóµ÷¼Á
ÒѾÓÐ5È˻ظ´
292Çóµ÷¼Á
ÒѾÓÐ8È˻ظ´
Çóµ÷¼Á
ÒѾÓÐ4È˻ظ´
Ò»Ö¾Ô¸ Î÷±±´óѧ ×Ü·Ö282 Ó¢ÓïÒ»62 Çóµ÷¼Á
ÒѾÓÐ3È˻ظ´
Ф´óÒ¯1314
½ð³æ (СÓÐÃûÆø)
- BioEPI: 1
- Ó¦Öú: 17 (СѧÉú)
- ½ð±Ò: 1052.5
- É¢½ð: 50
- ºì»¨: 9
- Ìû×Ó: 209
- ÔÚÏß: 54.5Сʱ
- ³æºÅ: 3616890
- ×¢²á: 2014-12-28
- רҵ: ΢ÉúÎïÉúÀíÓëÉúÎﻯѧ
¡¾´ð°¸¡¿Ó¦Öú»ØÌû
¡ï ¡ï ¡ï ¡ï ¡ï ¡ï ¡ï ¡ï ¡ï ¡ï
¸Ðл²ÎÓ룬ӦÖúÖ¸Êý +1
zhongjiangle: ½ð±Ò+10, ¡ï¡ï¡ïºÜÓаïÖú, ºÜÓаïÖú£¬Ð»Ð» 2015-12-25 13:40:58
¸Ðл²ÎÓ룬ӦÖúÖ¸Êý +1
zhongjiangle: ½ð±Ò+10, ¡ï¡ï¡ïºÜÓаïÖú, ºÜÓаïÖú£¬Ð»Ð» 2015-12-25 13:40:58
|
ϸ°ûϵ¹¹½¨µÄʱºò£¬Ï¸°ûÅàÑøÕâ¸ö»·½ÚºÜÖØÒª£¬ÎÒ¿´ÁËÕâ¸öͼ£¬ÓеãÏñ´ó³¦¸Ë¾úÎÛȾ£¬ÓÐÁ½ÕÅͼ£¬Ç°ÃæµÄÊǺڽº³æÎÛȾ£¬ºóÃæµÄÊǴ󳦸˾úÎÛȾ 2011A9C.jpg 20179CD.jpg |
» ±¾ÌûÒÑ»ñµÃµÄºì»¨£¨×îÐÂ10¶ä£©

9Â¥2015-12-24 16:05:06
HTweiyi
Òø³æ (СÓÐÃûÆø)
- Ó¦Öú: 52 (³õÖÐÉú)
- ½ð±Ò: 416.4
- ºì»¨: 2
- Ìû×Ó: 125
- ÔÚÏß: 31.6Сʱ
- ³æºÅ: 3944733
- ×¢²á: 2015-06-29
- ÐÔ±ð: GG
- רҵ: ϸ°ûÉúÎïѧÑо¿ÖеÄз½·¨
2Â¥2015-12-23 11:10:45
zhongjiangle
гæ (³õÈëÎÄ̳)
- Ó¦Öú: 0 (Ó×¶ùÔ°)
- ½ð±Ò: 205.5
- Ìû×Ó: 26
- ÔÚÏß: 4.6Сʱ
- ³æºÅ: 1176026
- ×¢²á: 2010-12-23
- רҵ: ÁÙ´²ÊÞҽѧ
|
¿ÉÒÔ˵µÄ¾ßÌåµãÂð£¿ÈçºÎ±ÜÃâÕâÑùµÄÎÛÈ¾ÄØ£¿ÎÒÃǵÄÅàÑø»ùÖмÓÓÐË«¿¹µÄ£¬Ð»Ð» ·¢×ÔСľ³æAndroid¿Í»§¶Ë |
3Â¥2015-12-24 09:25:08
ÌÕ½Ü136356
½ð³æ (СÓÐÃûÆø)
- Ó¦Öú: 2 (Ó×¶ùÔ°)
- ½ð±Ò: 1802
- ºì»¨: 2
- Ìû×Ó: 96
- ÔÚÏß: 128.4Сʱ
- ³æºÅ: 2666652
- ×¢²á: 2013-09-20
- ÐÔ±ð: GG
- רҵ: »·¾³Î¢ÉúÎïѧ
¡¾´ð°¸¡¿Ó¦Öú»ØÌû
¸Ðл²ÎÓ룬ӦÖúÖ¸Êý +1
|
ÎҼǵÃÕâÖÖÎÛȾ£¬ÊÇʲôÏ߳棬ÕâÖÖÎÛȾ²»»áÊÇÅàÑø»ù»òÕßËùÓÃÊÔ¼ÁÎÛȾ£¬¾ÍÊDzÙ×÷ÎÛȾ£¬Öصã×¢Òâ×Ô¼ºµÄ²Ù×÷¾Í¿ÉÒÔÀ² ·¢×ÔСľ³æIOS¿Í»§¶Ë |
» ±¾ÌûÒÑ»ñµÃµÄºì»¨£¨×îÐÂ10¶ä£©

4Â¥2015-12-24 10:01:11
skyÆÑ¹«Ó¢
°æÖ÷ (ÎÄ̳¾«Ó¢)
- Ó¦Öú: 177 (¸ßÖÐÉú)
- ¹ó±ö: 15.664
- ½ð±Ò: 119295
- É¢½ð: 13465
- ºì»¨: 300
- ɳ·¢: 1428
- Ìû×Ó: 19480
- ÔÚÏß: 5618.4Сʱ
- ³æºÅ: 3384889
- ×¢²á: 2014-08-27
- ÐÔ±ð: GG
- רҵ: ÃâÒßÉúÎïѧ
- ¹ÜϽ: ÎÄÏ×ÇóÖú
¡¾´ð°¸¡¿Ó¦Öú»ØÌû
¸Ðл²ÎÓ룬ӦÖúÖ¸Êý +1
|
ºÃÏñÊǺڽº³æÎÛȾµÄ¡£¾ßÌå»úÖÆÓеÄ˵ÊÇÒ»ÖÖ΢ÉúÎÓеÄ˵ÊÇϸ°ûË¥ÍöºóµÄË鯬¡£¿ÉÒÔÍøÉϲéÒ»ÏÂϸ°ûÅàÑø¹ý³ÌÖÐÓкöàÕâÖÖÇé¿ö¡£ ·¢×ÔСľ³æAndroid¿Í»§¶Ë |

5Â¥2015-12-24 10:27:58
012fly210
Òø³æ (³õÈëÎÄ̳)
- Ó¦Öú: 1 (Ó×¶ùÔ°)
- ½ð±Ò: 491
- Ìû×Ó: 20
- ÔÚÏß: 22.2Сʱ
- ³æºÅ: 3248564
- ×¢²á: 2014-06-02
- רҵ: Éú»¯·ÖÎö¼°ÉúÎï´«¸Ð
6Â¥2015-12-24 10:53:48
zhongjiangle
гæ (³õÈëÎÄ̳)
- Ó¦Öú: 0 (Ó×¶ùÔ°)
- ½ð±Ò: 205.5
- Ìû×Ó: 26
- ÔÚÏß: 4.6Сʱ
- ³æºÅ: 1176026
- ×¢²á: 2010-12-23
- רҵ: ÁÙ´²ÊÞҽѧ
|
ÅàÑøÒº¼ÓÓÐ1±¶µÄË«¿¹£¬ÓõÄÅàÑøÆ¿ºÍÒÆÒº¹Ü¶¼ÊÇÒ»´ÎÐԵģ¬ÅàÑøÒºÓÃÓÚÆäËûµÄϸ°ûûÓÐÎÊÌ⣬ÏÖÔÚÖ»ÄÜ»³ÒÉÊÇ×Ô¼ºµÄ²Ù×÷³öÁËÎÊÌ⣬°¥£¬Ï¸°û¾ÍÊÇÄãÒ»ÓÐÊèºö¾ÍËÀ¸øÄã¿´µÄ½Ú×à(¨Òo¨Ò)||X©nX ·¢×ÔСľ³æAndroid¿Í»§¶Ë |
7Â¥2015-12-24 12:26:15
zy04310
ľ³æ (ÕýʽдÊÖ)
- Ó¦Öú: 15 (СѧÉú)
- ½ð±Ò: 2200.6
- ºì»¨: 1
- Ìû×Ó: 433
- ÔÚÏß: 251.9Сʱ
- ³æºÅ: 1499117
- ×¢²á: 2011-11-19
- רҵ: ×éÖ¯¹¤³Ìѧ
8Â¥2015-12-24 14:07:42
zhongjiangle
гæ (³õÈëÎÄ̳)
- Ó¦Öú: 0 (Ó×¶ùÔ°)
- ½ð±Ò: 205.5
- Ìû×Ó: 26
- ÔÚÏß: 4.6Сʱ
- ³æºÅ: 1176026
- ×¢²á: 2010-12-23
- רҵ: ÁÙ´²ÊÞҽѧ
10Â¥2015-12-26 16:08:10













£¬Çëϸ°ûÅàÑøµÄ´óÉñÃǰïÖú¼ø¶¨Ò»ÏÂÊÇʲôÎÛȾ£¿
»Ø¸´´ËÂ¥
zhongjiangle