24小时热门版块排行榜    

Znn3bq.jpeg
查看: 341  |  回复: 0

罗飞飞飞鱼

新虫 (初入文坛)

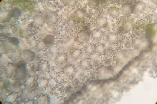
[求助] 请教各位大神,这是什么细胞?

苦竹叶下表皮水装片,10×40,怀疑是短非腺毛,可是周围那些小点是什么呢?

请教各位大神,这是什么细胞?
捕获.PNG
回复此楼

» 猜你喜欢

已阅   回复此楼   关注TA 给TA发消息 送TA红花 TA的回帖
相关版块跳转 我要订阅楼主 罗飞飞飞鱼 的主题更新
最具人气热帖推荐 [查看全部] 作者 回/看 最后发表
[有机交流] 如何实现卤原子转化 +3 BT20230424 2026-05-15 7/350 2026-05-19 19:23 by bencaidai
[考博] 云南大学材料与能源学院解琳课题组钙钛矿博士招生 +3 光伏爱好者 2026-05-17 5/250 2026-05-19 19:13 by 光伏爱好者
[文学芳草园] 献血感触 +6 呀呀好傻 2026-05-19 6/300 2026-05-19 17:23 by kopsia
[基金申请] 评审有感 +10 popular289 2026-05-18 16/800 2026-05-19 14:46 by popular289
[论文投稿] Sci. Bull. 悲剧经验 +4 jyang1999 2026-05-16 4/200 2026-05-19 10:56 by maolC
[教师之家] 上海大学实验技术岗位非升即走 +10 嘻嘻哈哈乐呵呵 2026-05-15 11/550 2026-05-19 10:03 by 嘻嘻哈哈乐呵呵
[考博] 26/27申博自荐-锂/钠电池方向 5+3 狗头军师. 2026-05-15 4/200 2026-05-19 09:10 by moonboat
[基金申请] 同样的基金本子,换个专家直接从C变A! +3 国自然国社科中 2026-05-19 3/150 2026-05-19 08:50 by Equinoxhua
[基金申请] 别被青基扩招骗了!26年科研内卷才刚刚开始 +3 国自然国社科中 2026-05-14 4/200 2026-05-19 08:48 by archvillain
[基金申请] 面上本子正文33页,违规吗?会被低分嘛? +8 1234567wang 2026-05-17 10/500 2026-05-18 18:52 by zzahkj
[硕博家园] 考博自荐 +5 科研狗111 2026-05-13 6/300 2026-05-18 11:22 by 糊糊涂涂好
[基金申请] 青C资助名额大幅增加! +12 西葫芦炒鸡蛋 2026-05-13 16/800 2026-05-18 10:02 by Equinoxhua
[基金申请] 重磅!青年科学基金项目(C类)资助增幅预计超过50% +7 水和泥不是水泥 2026-05-13 10/500 2026-05-18 07:50 by 水和泥不是水泥
[硕博家园] 我在等一个没有答案的答案 +3 Love_MH 2026-05-17 3/150 2026-05-18 02:22 by 竹林孤影
[考博] 光量子物理方向 博士招生 1人(2026.09) +3 sandyworld 2026-05-15 4/200 2026-05-17 14:38 by sandyworld
[有机交流] 求助2,4-二氯-5-嘧啶甲醛的合成方法 20+3 光吃不拉 2026-05-14 6/300 2026-05-16 19:46 by Equinoxhua
[硕博家园] 申请博士 +3 呃?呃 2026-05-15 3/150 2026-05-16 11:01 by a4742549
[文学芳草园] 风把牡丹吹跑了 +5 myrtle 2026-05-12 9/450 2026-05-15 15:27 by myrtle
[教师之家] 教学课件你会给同学吗 +8 硕士研究生吗 2026-05-13 8/400 2026-05-14 22:23 by 常规沥青
[考博] 材料类只有一篇综述能申博么 +4 乐逍遥谷 2026-05-13 4/200 2026-05-14 12:05 by zhyzzh
信息提示
请填处理意见