| 查看: 649 | 回复: 1 | ||
[交流]
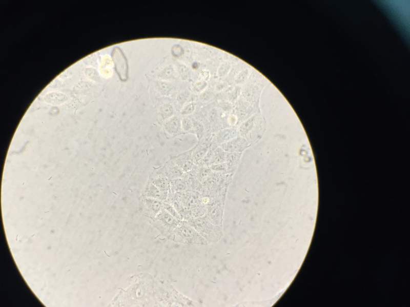
HRPE污染了,哪位大神帮忙看看是什么污染了 已有1人参与
|

2楼2015-12-09 14:05:43
| 2 | 1/1 | 返回列表 |
| 查看: 649 | 回复: 1 | ||
[交流]
HRPE污染了,哪位大神帮忙看看是什么污染了 已有1人参与
|

| 2 | 1/1 | 返回列表 |
| 最具人气热帖推荐 [查看全部] | 作者 | 回/看 | 最后发表 | |
|---|---|---|---|---|
|
[考研] 化学调剂一志愿上海交通大学336分-本科上海211 +4 | 小鱼爱有机 2026-03-25 | 4/200 |
|
|---|---|---|---|---|
|
[考研] 一志愿哈工大,085400,320,求调剂 +4 | gdlf9999 2026-03-24 | 4/200 |
|
|
[考研] 332求调剂 +6 | 032500 2026-03-25 | 6/300 |
|
|
[考研] 308求调剂 +5 | 墨墨漠 2026-03-25 | 5/250 |
|
|
[考研] 【2026考研调剂】制药工程 284分 求相关专业调剂名额 +4 | 袁奂奂 2026-03-25 | 8/400 |
|
|
[考研] 284求调剂 +15 | Zhao anqi 2026-03-22 | 15/750 |
|
|
[考研] 289材料与化工(085600)B区求调剂 +4 | 这么名字咋样 2026-03-22 | 5/250 |
|
|
[考研] 材料专硕找调剂 +5 | 哈哈哈吼吼吼哈 2026-03-23 | 5/250 |
|
|
[考研] 070300化学求调剂 +9 | 苑豆豆 2026-03-20 | 9/450 |
|
|
[考研] 307求调剂 +5 | 超级伊昂大王 2026-03-24 | 5/250 |
|
|
[考研] 305分求调剂(食品工程) +5 | Sxy112 2026-03-21 | 7/350 |
|
|
[考研] 335求调剂 +4 | yuyu宇 2026-03-23 | 5/250 |
|
|
[考研] 材料/农业专业,07/08开头均可,过线就行 +3 | 呵唔哦豁 2026-03-23 | 4/200 |
|
|
[考研] 384求调剂 +3 | 子系博 2026-03-22 | 6/300 |
|
|
[考研] 化学308分求调剂 +3 | 你好明天你好 2026-03-23 | 3/150 |
|
|
[考研] 298求调剂一志愿211 +3 | 上岸6666@ 2026-03-20 | 3/150 |
|
|
[考研] 一志愿北京化工大学070300 学硕336求调剂 +5 | vv迷 2026-03-21 | 8/400 |
|
|
[考研]
|
Grand777 2026-03-21 | 3/150 |
|
|
[考研] 265求调剂 +12 | 梁梁校校 2026-03-19 | 14/700 |
|
|
[考研] 一志愿西安交通大学 学硕 354求调剂211或者双一流 +3 | 我想要读研究生 2026-03-20 | 3/150 |
|