| 查看: 1363 | 回复: 2 | |
[求助]
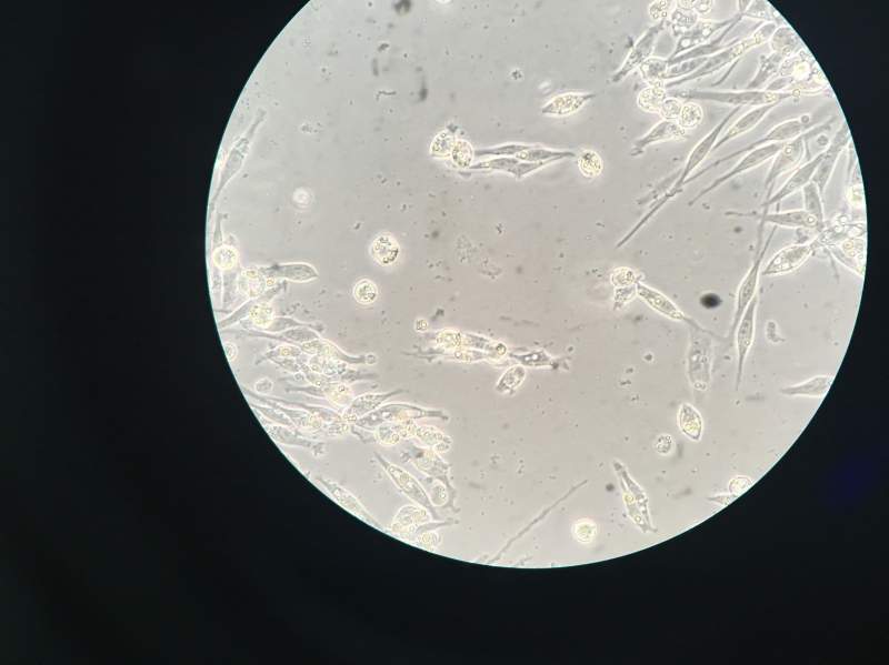
巨噬细胞培养中遇到”黑胶虫“问题,求大神指点
|
|
|
|
|
|
2楼2016-06-22 12:45:36
|
|
|
3楼2016-06-22 17:52:07
|
|













回复此楼