| 查看: 4074 | 回复: 8 | ||
[交流]
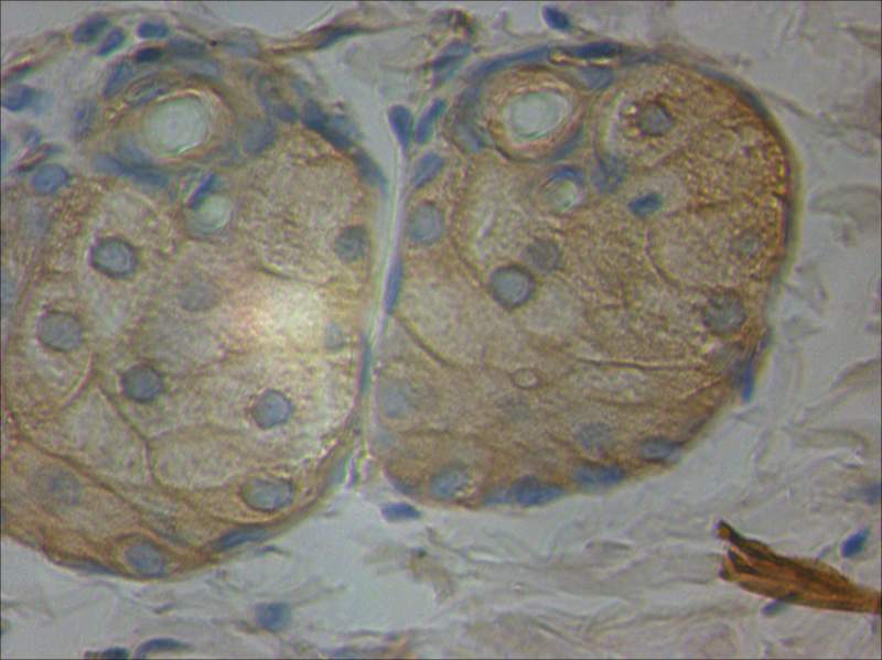
大鼠皮肤CD31免疫组化图片分析 已有3人参与
|
» 本主题相关价值贴推荐,对您同样有帮助:
学科分类求助---医学类
已经有4人回复
2011年博士点基金联合资助课题立项公布
已经有3人回复
2楼2015-11-16 23:05:53
3楼2015-11-19 08:45:16
yuanyisuo
金虫 (小有名气)
- 应助: 5 (幼儿园)
- 金币: 4910.6
- 红花: 2
- 帖子: 114
- 在线: 1129.5小时
- 虫号: 1262771
- 注册: 2011-04-12
- 专业: 肿瘤诊断
4楼2015-11-19 09:01:16
5楼2015-11-19 23:20:35
6楼2015-11-19 23:22:10
7楼2015-11-21 11:37:05
hoyeung
捐助贵宾 (小有名气)
- 应助: 12 (小学生)
- 金币: 1208.1
- 散金: 200
- 红花: 6
- 帖子: 283
- 在线: 43.2小时
- 虫号: 3973720
- 注册: 2015-07-16
- 性别: GG
- 专业: 动物病理学
8楼2015-12-11 11:18:50
9楼2015-12-11 21:17:29













回复此楼