| ²é¿´: 378 | »Ø¸´: 0 | ||
Y2014107027гæ (³õÈëÎÄ̳)
|
[ÇóÖú]
MTT½á¹û·´³£
|
|
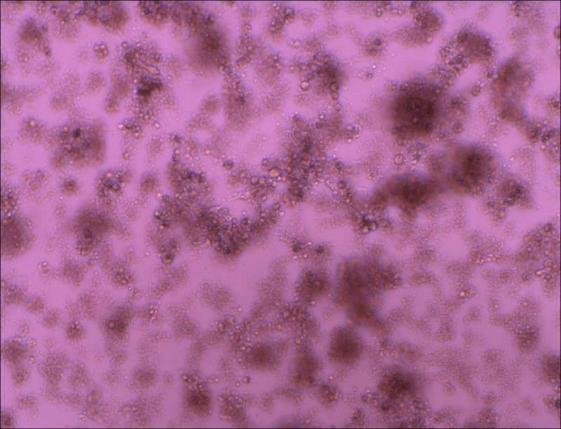
¸÷λÐֵܽãÃã¬°ïæ¿´¿´£¬Ï¸°û¸øÒ©ºó£¬¸ßŨ¶È³öÏÖÒ»ÍÅÒ»ÍÅ£¬Ï¸°ûÒ²ËÀÁË£¬¼ÓMTT»¹»á±äÉ«£¬²â³öµÄODÖµÒ²±ÈÕý³£×é¸ß¡£Ã»ÎÛȾ£¬MTTÒ²²»»á¸úÒ©Îï·´Ó¦£¬²»ÖªµÀΪʲô 20150918-60%-1000-¸ß.jpg 20150918-¼ÓMTTºó-1000.jpg |
» ²ÂÄãϲ»¶
321Çóµ÷¼Á
ÒѾÓÐ10È˻ظ´
¶«»ªÀí¹¤´óѧ»¯²Äרҵ26½ì˶ʿ²©Ê¿ÉêÇë
ÒѾÓÐ8È˻ظ´
288Çóµ÷¼Á
ÒѾÓÐ11È˻ظ´
¡¾¿¼Ñе÷¼Á¡¿»¯Ñ§×¨Òµ 281·Ö£¬Ò»Ö¾Ô¸ËÄ´¨´óѧ£¬³ÏÐÄÇóµ÷¼Á
ÒѾÓÐ5È˻ظ´
ÄÜÔ´²ÄÁÏ»¯Ñ§¿ÎÌâ×éÕÐÊÕ˶ʿÑо¿Éú8-10Ãû
ÒѾÓÐ12È˻ظ´
0703»¯Ñ§µ÷¼Á
ÒѾÓÐ4È˻ظ´
ÕÐÊÕµ÷¼Á˶ʿ
ÒѾÓÐ10È˻ظ´
271²ÄÁϹ¤³ÌÇóµ÷¼Á
ÒѾÓÐ6È˻ظ´
²ÄÁÏר˶274Ò»Ö¾Ô¸ÉÂÎ÷ʦ·¶´óѧÇóµ÷¼Á
ÒѾÓÐ8È˻ظ´
Ò»Ö¾Ô¸Î人Àí¹¤²ÄÁϹ¤³Ìר˶µ÷¼Á
ÒѾÓÐ4È˻ظ´













»Ø¸´´ËÂ¥