| 查看: 522 | 回复: 2 | ||
[求助]
细胞培养出现问题,急求大家鉴定帮助 已有1人参与
|
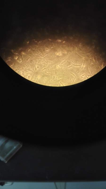
我是培养细胞的新手,遇到困难急求大家帮忙!多谢了,我养的SiHa细胞,可是周边老有小点点,不知怎么回事,培养液颜色也正常,刚复苏还行,传代后慢慢就有了,这些小点点会越来越多,然后再传代稍微好点,过两天就又有了。很是郁闷!![]() IMG_20150902_135515.jpg IMG_20150902_135701.jpg IMG_20150902_135713.jpg |
» 猜你喜欢
299求调剂
已经有8人回复
一志愿北京理工大学本科211材料工程294求调剂
已经有6人回复
300求调剂,材料科学英一数二
已经有8人回复
招收生物学/细胞生物学调剂
已经有5人回复
070305高分子化学与物理 304分求调剂
已经有7人回复
289求调剂
已经有13人回复
一志愿哈尔滨工业大学材料与化工方向336分
已经有9人回复
081200-11408-276学硕求调剂
已经有6人回复
调剂求院校招收
已经有5人回复
调剂310
已经有8人回复
2楼2015-09-05 11:21:45
zai__guan
新虫 (初入文坛)
- 应助: 5 (幼儿园)
- 金币: 4.6
- 帖子: 27
- 在线: 2.7小时
- 虫号: 3709957
- 注册: 2015-03-04
- 性别: GG
- 专业: 临床细胞学和血液学检验

3楼2015-09-07 17:14:13















回复此楼