24小时热门版块排行榜    

北京石油化工学院2026年研究生招生接收调剂公告
查看: 689  |  回复: 0

catyy

新虫 (初入文坛)

[求助] HE染色能观察移植细胞状态吗

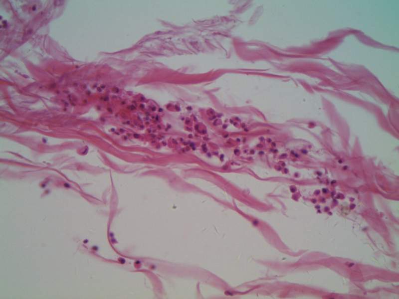
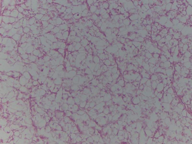
各位师兄师姐好,我之前做了一些犬的坐骨神经支架,然后用注射的方式沿纵轴移植了一些骨髓间充质干细胞进去,7天后固定做了HE染色,我想请问一下就根据HE染色能不能判断移植的细胞是死是活!
我感觉看着细胞形态好像还算完整,但是移植后装有神经支架的培养基里的细胞贴壁后总是有空白区,没有污染的杂质之类的东西出现,支架脱细胞很干净,使用的是TritonX-100和脱氧胆酸钠,请问如果移植细胞没有存活,那可能的原因是什么,希望各位高手帮忙解答,小妹非常感激

HE染色能观察移植细胞状态吗
脱细胞神经 横 40.1.JPG


HE染色能观察移植细胞状态吗-1
移植细胞。纵。40.1.JPG
回复此楼
已阅   回复此楼   关注TA 给TA发消息 送TA红花 TA的回帖
相关版块跳转 我要订阅楼主 catyy 的主题更新
最具人气热帖推荐 [查看全部] 作者 回/看 最后发表
[考研] 085602 化工专硕 338分 求调剂 +12 路痴小琪 2026-03-27 12/600 2026-03-28 15:41 by L135790
[考研] 一志愿太原理工安全工程300分,求调剂 +4 0857求调剂. 2026-03-24 5/250 2026-03-28 13:45 by 求知若渴lz
[考研] 085405 考的11408求各位老师带走 +3 Qiu学ing 2026-03-28 3/150 2026-03-28 09:19 by 乐呵呵的追梦人
[考研] 材料求调剂一志愿哈工大324 +7 闫旭东 2026-03-28 9/450 2026-03-28 08:51 by Xu de nuo
[考研] 295材料工程专硕求调剂 +6 1428151015 2026-03-27 6/300 2026-03-28 03:51 by fmesaito
[考博] 26申博 +3 加油冲啊! 2026-03-26 3/150 2026-03-27 15:38 by cls512
[考研] 305求调剂 +5 哇卢卡库 2026-03-26 5/250 2026-03-27 14:01 by laoshidan
[考研] 348求调剂 +4 小懒虫不懒了 2026-03-27 5/250 2026-03-27 12:47 by 果果妈咪
[考研] 一志愿郑大085600,310分求调剂 +5 李潇可 2026-03-26 5/250 2026-03-27 11:14 by 不吃魚的貓
[考研] 0703化学一志愿南京师范大学303求调剂 +3 zzffylgg 2026-03-24 3/150 2026-03-27 10:42 by shangxh
[硕博家园] 北京林业大学硕导招生广告 +6 kongweilin 2026-03-26 8/400 2026-03-27 10:18 by FF_16
[考研] 333求调剂 +6 wfh030413@ 2026-03-23 6/300 2026-03-26 22:45 by 学员8dgXkO
[考研] 一志愿北化求调剂 +3 Jsman 2026-03-22 3/150 2026-03-26 21:06 by ajpv风雷
[考研] 321求调剂 +6 wasdssaa 2026-03-26 6/300 2026-03-26 20:57 by sanrepian
[考研] 一志愿天津大学339材料与化工求调剂 +3 江往卖鱼 2026-03-26 3/150 2026-03-26 09:42 by 王小欠i
[考研] 332求调剂 +6 032500 2026-03-25 6/300 2026-03-25 22:45 by 418490947
[考研] 0854电子信息求调剂 324 +4 Promise-jyl 2026-03-23 4/200 2026-03-25 11:36 by Sugarlight
[考研] 318求调剂 +5 plum李子 2026-03-21 8/400 2026-03-25 09:26 by aa331100
[考研] 环境学硕288求调剂 +8 皮皮皮123456 2026-03-22 8/400 2026-03-23 23:47 by 热情沙漠
[考研] 308求调剂 +3 墨墨漠 2026-03-21 3/150 2026-03-22 16:54 by i_cooler
信息提示
请填处理意见