| ²é¿´: 2176 | »Ø¸´: 0 | |||
Óڵ±ó½ð³æ (ÕýʽдÊÖ)
|
[½»Á÷]
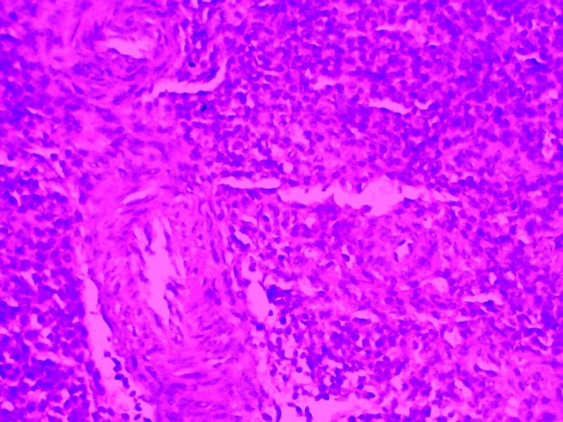
³û¼¦Æ¢ÔàHEȾɫ½á¹û·ÖÎö
|
|
ÎÒ×öµÄÊdzû¼¦Æ¢ÔàµÄHEȾɫ£¬Õý³£×éºÍÓв¡×éµÄ 21Óв¡×é-01.jpg 21Óв¡×é-03.jpg 21Õý³£×é+01.jpg 35Óв¡×é-01.jpg 35Õý³£×é+02.jpg |
» ²ÂÄãϲ»¶
Ò»Ö¾Ô¸ Î÷±±´óѧ £¬070300»¯Ñ§Ñ§Ë¶£¬×Ü·Ö287£¬Ë«·ÇÒ»±¾£¬Çóµ÷¼Á¡£
ÒѾÓÐ5È˻ظ´
0856Çóµ÷¼Á
ÒѾÓÐ9È˻ظ´
Ò»Ö¾Ô¸ ÄϾ©Óʵç´óѧ 288·Ö ²ÄÁÏ¿¼ÑÐ Çóµ÷¼Á
ÒѾÓÐ3È˻ظ´
²ÄÁÏÓ뻯¹¤304ÇóBÇøµ÷¼Á
ÒѾÓÐ5È˻ظ´
Ò»Ö¾Ô¸±±¾©»¯¹¤´óѧ²ÄÁÏÓ뻯¹¤£¨085600£©296Çóµ÷¼Á
ÒѾÓÐ5È˻ظ´
275Çóµ÷¼Á
ÒѾÓÐ7È˻ظ´
274Çóµ÷¼Á
ÒѾÓÐ19È˻ظ´
×Ü·Ö293Çóµ÷¼Á
ÒѾÓÐ8È˻ظ´
±±¿Æ281ѧ˶²ÄÁÏÇóµ÷¼Á
ÒѾÓÐ17È˻ظ´
ѰÕÒµ÷¼Á
ÒѾÓÐ8È˻ظ´

ÕÒµ½Ò»Ð©Ïà¹ØµÄ¾«»ªÌû×Ó£¬Ï£ÍûÓÐÓÃŶ~
Çó½â£¬Ð¡Êó·Î²¿ÇÐÆ¬HEȾɫ½á¹û
ÒѾÓÐ6È˻ظ´
ϸ°ûHEȾɫ½á¹û·ÖÎö
ÒѾÓÐ6È˻ظ´
¿ÆÑдÓСľ³æ¿ªÊ¼£¬ÈËÈËΪÎÒ£¬ÎÒΪÈËÈË













»Ø¸´´ËÂ¥
µã»÷ÕâÀïËÑË÷¸ü¶àÏà¹Ø×ÊÔ´
5