| 查看: 1189 | 回复: 1 | |||
[交流]
细胞培养液中出现杆状污染,求分析~~谢谢~ 已有1人参与
|
|
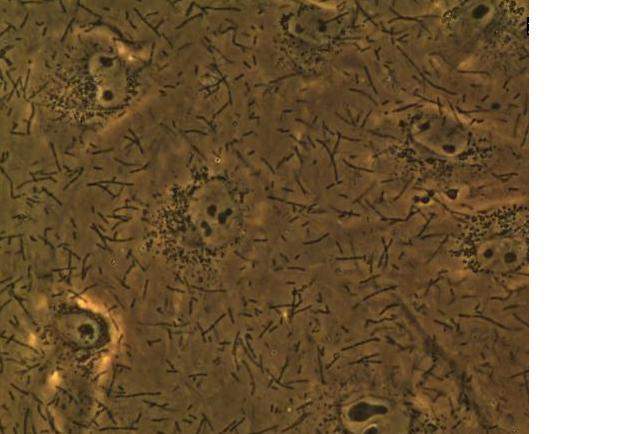
大家好,我在用工具细胞进行包装逆转录病毒并用该病毒感染b细胞的时候,总会发生如图所示的污染,感觉像是细菌污染,我操作过程还是比较注意的,不知道为何会出现如此情景,恳请有经验的师兄师姐指教!~感激不尽!~ 1709145_1342755162_321.jpg 1709145_1342755167_711.jpg |
» 猜你喜欢
0703化学求调剂
已经有6人回复
一志愿中南大学化学学硕0703总分337求调剂
已经有6人回复
考研化学308分求调剂
已经有9人回复
求调剂 一志愿 本科 北科大 化学 343
已经有4人回复
一志愿吉林大学材料与化工303分求调剂
已经有3人回复
各位老师您好:本人初试372分
已经有3人回复
B区考研调剂
已经有5人回复
284求调剂
已经有12人回复
求调剂,一志愿:南京航空航天大学大学 ,080500材料科学与工程学硕,总分289分
已经有6人回复
289材料与化工(085600)B区求调剂
已经有5人回复
2楼2018-02-01 13:57:28













回复此楼