| 查看: 974 | 回复: 2 | ||
[求助]
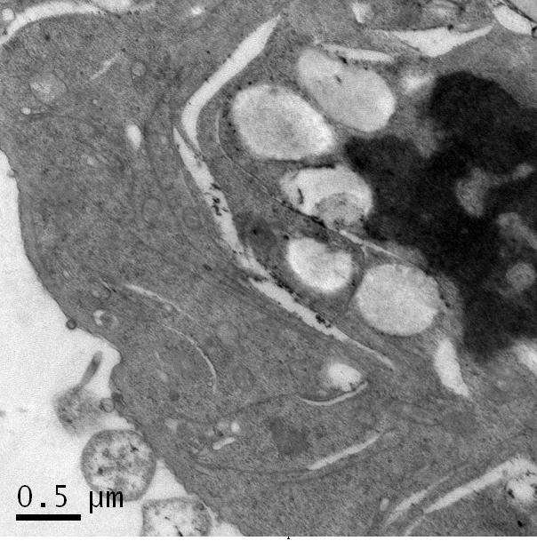
求大神帮忙解释一下加药之后细胞的变化的透射电镜图
|
想看一下加过药之后的细胞变化,于是做了透射电镜,但是由于当时做电镜的老师不在,所以也没有给图片讲解,本人也对细胞的亚结构不了解,所以求大神帮忙解释一下,下面的图变化有什么变化?感激不尽![]() 1-5000.jpg 2-10000.jpg 5-20000.jpg 6-10000.jpg 2-10000.jpg 3-20000.jpg 4-5000.jpg |
» 猜你喜欢
321求调剂
已经有10人回复
东华理工大学化材专业26届硕士博士申请
已经有8人回复
288求调剂
已经有11人回复
【考研调剂】化学专业 281分,一志愿四川大学,诚心求调剂
已经有5人回复
能源材料化学课题组招收硕士研究生8-10名
已经有12人回复
0703化学调剂
已经有4人回复
招收调剂硕士
已经有10人回复
271材料工程求调剂
已经有6人回复
材料专硕274一志愿陕西师范大学求调剂
已经有8人回复
一志愿武汉理工材料工程专硕调剂
已经有4人回复
» 本主题相关价值贴推荐,对您同样有帮助:
请高手帮忙解释下,离子识别时紫外吸收峰逐渐变小的原因
已经有4人回复
5-氨基间苯二甲酸的颜色变化
已经有3人回复
想请问一下,几何优化之后的晶格角度变化的问题
已经有12人回复
求解释,Rf值变化的原因及产品是否发生变化
已经有12人回复
有没有谁能详细解释一下过氧化锌分解成氧化锌时中间到底发生了怎样的变化
已经有7人回复
谁能帮我解释下电子跃迁轨道变化符号2s22p4(3P)3p 4D° 7/2含义
已经有5人回复
怎么解释 Pt/TiO2催化制氢后,表面价态改变?
已经有11人回复
【讨论】XRD谱图不扣除Kα2和扣除Kα2之后谱图各衍射峰的峰强相对比值有变化吗?
已经有9人回复
2楼2015-12-24 17:45:18
3楼2015-12-24 23:03:23














回复此楼