| 查看: 1280 | 回复: 11 | ||
18539051527铜虫 (初入文坛)
|
[求助]
SBR池异常,求助 已有5人参与
|
|
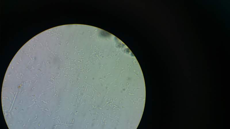
发酵制药行业废水,进水COD2500,氨氮50,MLSS7000mg/L,池容500立方,每天进水150立方,SBR池出现异常,丝状菌膨胀排水超标,COD160,氨氮40,16*40倍镜检,出现不明菌落,非常多,能告诉我这些是什么吗?万分感激 IMG_2B.jpg |
» 猜你喜欢
接收调剂,欢迎有志者共谋发展,共创未来!
已经有0人回复
杭州师范大学-浙江省湿地智慧监测与生态修复重点实验室团队硕士调剂公告
已经有0人回复
建筑环境与结构工程论文润色/翻译怎么收费?
已经有143人回复
广东工业大学环境科学与工程学院招收硕士调剂
已经有0人回复
348分环境工程调剂
已经有2人回复
26考研调剂
已经有0人回复
北京石油化工学院接收调剂
已经有0人回复
2026年长春理工大学化学与环境工程学院环境科学与工程专业接收考研调研究生
已经有0人回复
348分环境工程·调剂
已经有11人回复
考研调剂
已经有5人回复
四川农业大学(211和双一流大学)土木学院2026年市政工程(学硕)调剂2名
已经有0人回复
» 本主题相关价值贴推荐,对您同样有帮助:
关于泡沫排液的问题。。求助各位大神
已经有11人回复
求助,污水中硫化物严重超标怎么处理啊!SBR工艺
已经有5人回复
曝气池污泥镜检中,发现的生物是什么?
已经有7人回复
如何提高SBR池处理效果
已经有8人回复
曝气池需氧量的计算
已经有6人回复
AO工艺停留时间短,如何保证氨氮去除率
已经有15人回复
sbr反硝化一定会造成污泥上浮吗
已经有7人回复
厌氧池中有污泥上浮。有图,求大师指点!
已经有12人回复
实验室做个好氧池处理,如何做?
已经有21人回复
SBR反应器的运行周期如何确定
已经有5人回复
求助:USAB+SBR
已经有25人回复
SBR工艺出现大量泡沫起因
已经有15人回复
SBR工艺设计+主图
已经有22人回复
水解酸化池的问题
已经有17人回复
求助:人工配水有没有出水SS?
已经有13人回复
在线等,污泥龄控制问题
已经有17人回复
曝气池内出现泡沫
已经有9人回复
【求助】水力停留时间怎么算?
已经有9人回复
【讨论】脱氮问题
已经有11人回复
【求助】生化池处理能力弱!!??
已经有8人回复
【求助】二沉池污泥回流至反硝化池?
已经有16人回复
2楼2015-04-17 00:35:07
18539051527
铜虫 (初入文坛)
- 应助: 1 (幼儿园)
- 金币: 301.3
- 帖子: 27
- 在线: 19.8小时
- 虫号: 3747242
- 注册: 2015-03-18
- 性别: GG
- 专业: 环境工程
3楼2015-04-17 06:37:10
wangranchd
木虫 (小有名气)
- 应助: 30 (小学生)
- 金币: 3079.3
- 红花: 1
- 帖子: 123
- 在线: 75.1小时
- 虫号: 2522730
- 注册: 2013-06-26
- 性别: GG
- 专业: 环境工程
4楼2015-04-17 09:38:53
18539051527
铜虫 (初入文坛)
- 应助: 1 (幼儿园)
- 金币: 301.3
- 帖子: 27
- 在线: 19.8小时
- 虫号: 3747242
- 注册: 2015-03-18
- 性别: GG
- 专业: 环境工程
5楼2015-04-17 10:05:36
rainmanzh
金虫 (正式写手)
- 应助: 103 (高中生)
- 金币: 1298.9
- 红花: 8
- 帖子: 325
- 在线: 31.7小时
- 虫号: 3328647
- 注册: 2014-07-18
- 专业: 环境工程
6楼2015-04-17 10:31:28
18539051527
铜虫 (初入文坛)
- 应助: 1 (幼儿园)
- 金币: 301.3
- 帖子: 27
- 在线: 19.8小时
- 虫号: 3747242
- 注册: 2015-03-18
- 性别: GG
- 专业: 环境工程
7楼2015-04-17 10:37:36
wangranchd
木虫 (小有名气)
- 应助: 30 (小学生)
- 金币: 3079.3
- 红花: 1
- 帖子: 123
- 在线: 75.1小时
- 虫号: 2522730
- 注册: 2013-06-26
- 性别: GG
- 专业: 环境工程
8楼2015-04-17 12:32:35
diao0806
银虫 (小有名气)
- 应助: 0 (幼儿园)
- 金币: 3001.6
- 散金: 3
- 帖子: 284
- 在线: 115.9小时
- 虫号: 3132626
- 注册: 2014-04-13
- 性别: GG
- 专业: 环境工程
9楼2015-04-17 23:14:54
18539051527
铜虫 (初入文坛)
- 应助: 1 (幼儿园)
- 金币: 301.3
- 帖子: 27
- 在线: 19.8小时
- 虫号: 3747242
- 注册: 2015-03-18
- 性别: GG
- 专业: 环境工程
10楼2015-04-18 06:52:35














回复此楼