| ²é¿´: 5207 | »Ø¸´: 47 | ||||
[½»Á÷]
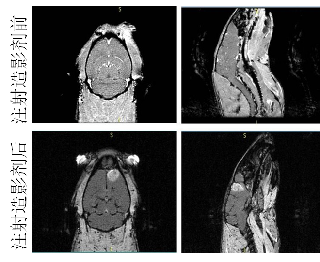
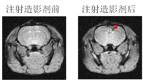
´ÅÐÔÄÉÃ×Á£×ÓÓÃ×÷´Å¹²Õñ³ÉÏñ£¨MRI£©ÔìÓ°¼Á
|
||||
°Ù±¦Ïä | ѧϰ |
» ²ÂÄãϲ»¶
ºþ±±Ê¦·¶´óѧ¸´ÊÔµ÷¼Á
ÒѾÓÐ0È˻ظ´
Î人·ÄÖ¯´óѧ_»¯¹¤Ñ§Ôº¹Ù·½µ÷¼ÁȺ-ԺʿÍŶÓÕÐÉú-ѧÉú×ÔÓɶȸß-ÿ½ì·¢Õ¹ºÃ
ÒѾÓÐ0È˻ظ´
½ðÊô²ÄÁÏÂÛÎÄÈóÉ«/·ÒëÔõôÊÕ·Ñ?
ÒѾÓÐ291È˻ظ´
¼ÃÄÏ´óѧ¹ú¼ÒÓÅÇà¿ÎÌâ×é 2026 µ÷¼ÁÕÐÉúÀ´À²
ÒѾÓÐ0È˻ظ´
Î人·ÄÖ¯´óѧ_»¯Ñ§Ôº¹Ù·½µ÷¼ÁȺ-ԺʿÍŶÓÕÐÉú-ѧÉú×ÔÓɶȸ߷¢Õ¹ºÃ-»¶Ó¸÷λͬѧ
ÒѾÓÐ0È˻ظ´
ºÓ±±´óѧ ²ÄÁÏÓ뻯¹¤ ˶ʿÕÐÊÕµ÷¼Á
ÒѾÓÐ0È˻ظ´
Î÷»ª´óѧ »¯Ñ§ µ÷¼ÁÓÐÃû¶î
ÒѾÓÐ0È˻ظ´
ÉϺ£Ó¦Óü¼Êõ´óѧÕÐÉúµ÷¼ÁÑо¿Éú
ÒѾÓÐ7È˻ظ´
» ±¾Ö÷ÌâÏà¹ØÉ̼ÒÍÆ¼ö: (ÎÒÒ²ÒªÔÚÕâÀïÍÆ¹ã)
» ±¾Ö÷ÌâÏà¹Ø¼ÛÖµÌùÍÆ¼ö£¬¶ÔÄúͬÑùÓаïÖú:
´ÅÐÔÄÉÃײÄÁÏÔÚÔìÓ°³ÉÏñÖеÄÓ¦ÓÃ
ÒѾÓÐ10È˻ظ´
ÉÏת»»Ó«¹â£¨UCNP£©Óëżµª±½Ö®¼äµÄFRET£¬ÓÃ×÷½üºìÍ⼤·¢Ò©Îï¿ØÊÍ
ÒѾÓÐ35È˻ظ´
ÉϺ£¹èËáÑÎËùÔÚÓÃÓÚÖ×ÁöÕïÖεĶ๦ÄÜÏ¡ÍÁÕïÁƼÁÑо¿ÖÐÈ¡µÃϵÁÐÖØÒª½øÕ¹
ÒѾÓÐ52È˻ظ´
´ÅÐÔÄÉÃײÄÁÏ×÷Ϊ´Å¹²Õñ£¨MRI£©ÔìÓ°¼ÁµÄÓ¦ÓÃ
ÒѾÓÐ14È˻ظ´
½ô¼±Çë½Ì£¬ÎÒÕâ¸öÇé¿öÑÏÖØÃ´£¿´Å¹²ÕñÓ°ÏñÄÔȱѪÐÔÍÑËèÇʲ¡±ä¡£
ÒѾÓÐ17È˻ظ´
Çë½Ì¸÷λ´Å¹²ÕñÇ¿»¯ÊÇʲô¸öÇé¿ö
ÒѾÓÐ4È˻ظ´
¡¾ÇóÖú¡¿ÇëÎÊÔÚÄÄÀï¿ÉÒÔ×öMRI
ÒѾÓÐ11È˻ظ´
» ÇÀ½ð±ÒÀ²£¡»ØÌû¾Í¿ÉÒԵõ½:
¿ÎÌâ×é(»¯Ñ§¡¢»¯¹¤¡¢»·¾³¡¢ÄÜÔ´¡¢²ÄÁÏÏà¹Ø·½Ïò)»¶ÓÄãµÄ¼ÓÈë
+1/187
Õã½Àí¹¤´óѧÎïÀíϵÕÐÊÕÎïÀíѧºÍ¹âµçÐÅÏ¢µ÷¼ÁÉú
+2/146
»ª±±Àí¹¤´óѧ ¿óÒµ¹¤³Ì Ñо¿Éúµ÷¼Á
+3/100
½Î÷¿Æ¼¼Ê¦·¶´óѧ ²ÄÁÏÓëÄÜÔ´ÕÐÊÕµ÷¼ÁÑо¿Éú
+1/92
½Î÷Àí¹¤´óѧ̼ÄÉÃײÄÁÏÓëÈáÐÔÄÜÔ´Æ÷¼þÍŶÓÕÐÊÕ2026ÄêÐÂÄÜÔ´·½Ïòµ÷¼ÁÉú
+1/88
½Î÷Àí¹¤´óѧ̼²ÄÁÏÓëÐÂÄÜÔ´¿ÎÌâ×éÕÐÊÕ2026Äêµ÷¼ÁÉú£¨Ñ§Ë¶Ë¶²©Á¬¶Á£©
+1/88
Õãʦ´ó»¯Óë²ÄѧԺ2026ÄêÓдóÁ¿Ë¶Ê¿Ñо¿Éúµ÷¼ÁÃû¶î £¨ÏßÉÏ µ÷¼Á£©
+1/41
ɽÎ÷´óͬ´óѧÎïÀíѧÕÐÊÕµ÷¼ÁÉú£¡
+1/39
̫ԿƼ¼´óѧ¹âѧ¹¤³Ìѧ¿Æ½ÓÊܵ÷¼Á
+1/12
×öÁ÷ÌåʵÑ黹ÔÚ´ÕÉ豸£¿ÕâÌ׸߾«ÃÜÁ÷³¡¿ÉÊÓ»¯·½°¸ÕæµÄÊʺϸßУÂð£¿
+1/12
ÖйúʯÓÍ´óѧ£¨±±¾©£©ÀíѧԺ2026Äê˶ʿÑо¿Éú½ÓÊÕµ÷¼ÁÉú£ºÎïÀí¡¢»¯Ñ§¡¢²ÄÁϵÈ
+1/11
¸£½¨Àí¹¤´óѧ²ÄÁÏѧԺÕÐÊÕרҵ´úÂë08¿ªÍ·Ñ§ÊõÐÍ˶ʿÑо¿Éú
+1/7
Ìì½òÉÌÒµ´óѧÉúÎï¼¼ÊõÓëʳƷ¿ÆÑ§Ñ§Ôº083200£»086000רҵµ÷¼ÁÕÐÉú
+1/7
¶«±±Ê¯ÓÍ´óѧÕÐÉúµ÷¼Á˶ʿÉúÈô¸É
+1/6
ÑĮ̀´óѧ¾«×¼²ÄÁϸߵÈÑо¿Ôº26Äê²ÄÁÏ·½ÏòÑо¿ÉúÕÐÉú
+1/5
ɽ¶«½»Í¨Ñ§Ôºº½ÔËѧԺ¹ØÓÚ2026Äê˶ʿÑо¿ÉúÕÐÉú¿¼ÊÔµ÷¼Á¸´ÊÔÓйØÊÂÏîµÄ¹«¸æ
+1/5
ÕÐÆ¸¶þά°ëµ¼Ìå²ÄÁÏ·½Ïò²©Ê¿ºó¡¢ÁªºÏÅàÑø²©Ê¿Éú¡¢Ë¶Ê¿Éú
+1/5
¼ÃÄÏ´óѧÌìȻҩÎﻯѧÉúÎïÑ§Ê¡ÖØµãʵÑéÊÒÕÐÊÕÉúÎïѧ¡¢ÖÆÒ©¹¤³Ìѧר˶µ÷¼Á
+1/4
Ò»Ö¾Ô¸211µç×ÓÐÅÏ¢347Çóµ÷¼Á
+1/4
¹óÖÝ´óѧ2026Äê˶ʿÑо¿ÉúÕÐÉúµ÷¼Áȱ¶îÐÅÏ¢
+1/2
yzdsurprise
½ûÑÔ (ÕýʽдÊÖ)
¡ï
mricenter001(½ð±Ò+1): лл²ÎÓë
mricenter001(½ð±Ò+1): лл²ÎÓë
|
±¾ÌûÄÚÈݱ»ÆÁ±Î |
9Â¥2015-03-28 13:24:59
genhunter
ÖÁ×ðľ³æ (ÖøÃûдÊÖ)
- Ó¦Öú: 259 (´óѧÉú)
- ½ð±Ò: 9757.4
- Ìû×Ó: 2484
- ÔÚÏß: 1793Сʱ
- ³æºÅ: 2558361
¡ï
Сľ³æ: ½ð±Ò+0.5, ¸ø¸öºì°ü£¬Ð»Ð»»ØÌû
Сľ³æ: ½ð±Ò+0.5, ¸ø¸öºì°ü£¬Ð»Ð»»ØÌû
|
ÒÔǰֻÊÇÔÚÓ¡ÏóÖУ¬ÎªÁËÕâÊÂÕÒÁËһϣ¬»¹Ã»ÓÐÀ´µÃ¼°ÈÏÕæ¶Á¡£Ï£ÍûÓÐÖú http://www.ema.europa.eu/docs/en ... /01/WC500067464.pdf from wiki: http://en.wikipedia.org/wiki/MRI_contrast_agent Iron oxide: Superparamagnetic[edit] Two types of iron oxide contrast agents exist: superparamagnetic iron oxide (SPIO) and ultrasmall superparamagnetic iron oxide (USPIO). These contrast agents consist of suspended colloids of iron oxide nanoparticles and when injected during imaging reduce the T2 signals of absorbing tissues. SPIO and USPIO contrast agents have been used successfully in some instances for liver tumor enhancement.[17] Although SPIOs and USPIOs have been approved for use in the past, it appears that all of the agents listed below are no longer available with the exception of the oral iron oxide contrast agent, Lumirem/Gastromark. Feridex I.V. (also known as Endorem and ferumoxides). This product was discontinued by AMAG Pharma in November 2008.[18] Resovist (also known as Cliavist). This was approved for the European market in 2001, but production was abandoned in 2009.[19] Sinerem (also known as Combidex). Guerbet withdrew the marketing authorization application for this product in 2007.[20] Lumirem (also known as Gastromark). Gastromark was approved by the FDA in 1996.[21] Clariscan™ (also known as PEG-fero, Feruglose, and NC100150). Development was discontinued due to safety concerns.[22] |
20Â¥2015-05-18 08:22:43
5Â¥2015-03-26 14:18:15
6Â¥2015-03-26 14:29:25
8Â¥2015-03-28 00:19:11
15Â¥2015-05-16 18:55:11
16Â¥2015-05-17 23:02:06
genhunter
ÖÁ×ðľ³æ (ÖøÃûдÊÖ)
- Ó¦Öú: 259 (´óѧÉú)
- ½ð±Ò: 9757.4
- Ìû×Ó: 2484
- ÔÚÏß: 1793Сʱ
- ³æºÅ: 2558361
18Â¥2015-05-17 23:21:25
19Â¥2015-05-18 06:06:25
21Â¥2015-05-19 10:10:22
genhunter
ÖÁ×ðľ³æ (ÖøÃûдÊÖ)
- Ó¦Öú: 259 (´óѧÉú)
- ½ð±Ò: 9757.4
- Ìû×Ó: 2484
- ÔÚÏß: 1793Сʱ
- ³æºÅ: 2558361
23Â¥2015-05-19 10:21:29
46Â¥2015-08-24 12:35:37
¡ï
Сľ³æ: ½ð±Ò+0.5, ¸ø¸öºì°ü£¬Ð»Ð»»ØÌû
Сľ³æ: ½ð±Ò+0.5, ¸ø¸öºì°ü£¬Ð»Ð»»ØÌû
| Â¥Ö÷£¬ÄúºÃ£¡ÎÒ×î½üÒ²ÔÚ×öMnÔìÓ°¼ÁµÄ³ÚÔ¥¼ì²â£¬²ÉÓÃ7T Bruker£¬µ«ÎÊÌâÊÇ£¬¸ÃÒÇÆ÷ÉÏ×Ô´øµÄinversion recovery true FISPÐòÁÐÊDZêÅä²âT1 ÐòÁУ¬µ«ÊÇÕâ¸öÐòÁÐ×ö³öÀ´ºó×Ô¶¯Éú³ÉµÄÊý¾ÝT1ÊÇ·Ö±ðÒÔ TI=90ms£¬230msºÍ749ms¸ø³öµÄT1Öµ¡£Èç¹ûÓÃISAÈ¥ÄâºÏ£¬ÔÝʱ²»ÄÜ´øÈë¼ÆËã¡£ÇëÎÊÄãÓÃinversion recoveryµÄ»ù´¡ÐòÁÐÊÇʲôૣ¿Ð»Ð» |
47Â¥2017-05-09 10:18:00
48Â¥2017-06-21 11:24:23
¼òµ¥»Ø¸´
syhorchid2Â¥
2015-03-25 23:17
»Ø¸´
mricenter001(½ð±Ò+1): лл²ÎÓë
flnƯÁ÷Æ¿3Â¥
2015-03-25 23:50
»Ø¸´
mricenter001(½ð±Ò+1): лл²ÎÓë
mricenter0014Â¥
2015-03-26 11:47
»Ø¸´
mricenter0017Â¥
2015-03-27 19:41
»Ø¸´
yzdsurprise10Â¥
2015-03-28 13:25
»Ø¸´
mricenter00111Â¥
2015-04-06 22:42
»Ø¸´

mricenter00112Â¥
2015-05-06 22:37
»Ø¸´
mricenter00113Â¥
2015-05-11 23:51
»Ø¸´
mricenter00114Â¥
2015-05-11 23:51
»Ø¸´
mricenter00117Â¥
2015-05-17 23:02
»Ø¸´
mricenter00122Â¥
2015-05-19 10:10
»Ø¸´
mricenter00124Â¥
2015-06-13 15:11
»Ø¸´
mricenter00125Â¥
2015-07-01 18:49
»Ø¸´

mricenter00126Â¥
2015-07-04 14:49
»Ø¸´
mricenter00127Â¥
2015-07-10 15:13
»Ø¸´

mricenter00128Â¥
2015-07-12 14:38
»Ø¸´

mricenter00129Â¥
2015-07-14 17:11
»Ø¸´


mricenter00130Â¥
2015-07-16 08:57
»Ø¸´

mricenter00131Â¥
2015-07-17 09:00
»Ø¸´


mricenter00132Â¥
2015-07-18 09:10
»Ø¸´



mricenter00133Â¥
2015-07-19 09:17
»Ø¸´

mricenter00134Â¥
2015-07-21 14:04
»Ø¸´




mricenter00135Â¥
2015-07-22 11:01
»Ø¸´



mricenter00136Â¥
2015-07-23 10:22
»Ø¸´


mricenter00137Â¥
2015-07-24 10:26
»Ø¸´




mricenter00138Â¥
2015-07-27 10:58
»Ø¸´



mricenter00139Â¥
2015-07-28 16:29
»Ø¸´




mricenter00140Â¥
2015-07-29 15:45
»Ø¸´





mricenter00141Â¥
2015-07-30 17:33
»Ø¸´



mricenter00142Â¥
2015-07-31 15:58
»Ø¸´




mricenter00143Â¥
2015-08-04 16:26
»Ø¸´





mricenter00144Â¥
2015-08-07 18:01
»Ø¸´



mricenter00145Â¥
2015-08-15 10:05
»Ø¸´















»Ø¸´´ËÂ¥
