| 查看: 1133 | 回复: 1 | ||
[求助]
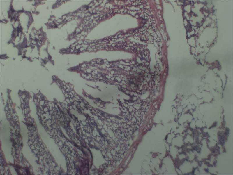
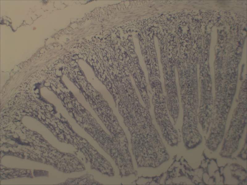
求高手指点,看看我这个鲤鱼肠道石蜡切片的空泡是怎么回事 已有1人参与
|
|
求高手指点,看看我这个鲤鱼肠道石蜡切片的空泡是怎么回事 N3-肠.jpg C14-肠-5.jpg C14-肠-6.jpg C16-肠-1.jpg C16-肠-2.jpg C18-肠-3.jpg N8-肠.jpg |
» 猜你喜欢
一志愿 西北大学 ,070300化学学硕,总分287,双非一本,求调剂。
已经有5人回复
0856求调剂
已经有9人回复
一志愿 南京邮电大学 288分 材料考研 求调剂
已经有3人回复
材料与化工304求B区调剂
已经有5人回复
一志愿北京化工大学材料与化工(085600)296求调剂
已经有5人回复
275求调剂
已经有7人回复
274求调剂
已经有19人回复
总分293求调剂
已经有8人回复
北科281学硕材料求调剂
已经有17人回复
寻找调剂
已经有8人回复

2楼2015-03-21 10:09:51













回复此楼