| ²é¿´: 3055 | »Ø¸´: 4 | ||
fireme33ÖÁ×ðľ³æ (ÖªÃû×÷¼Ò)
°áשÍÞÍÞ
|
[ÇóÖú]
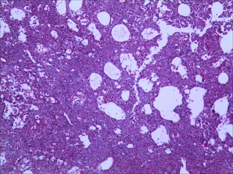
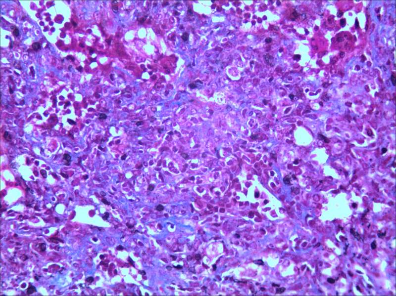
ÇóÂíËÉȾɫÇÐÆ¬ Ãæ»ý´¦Àí
|
|
RT£¬ÇóÖú¸ßÈËÖ¸µãÒ»¶þ¡£¡£ÓÃImage J´¦ÀíÂíËÉȾɫÇÐÆ¬Á÷³Ì¡£¡£ ÉÏ´«2ÕÅͼ¡£¡£¡£Çó¾ßÌå½Ì³Ì M10-2-X+++-Y+++.JPG M40-2-X+++-Y+++.JPG |
» ²ÂÄãϲ»¶
ÊÛSCIÒ»ÇøÎÄÕ£¬ÎÒ:8 O5 51O 54,¿ÆÄ¿ÆëÈ«,¿É+¼±
ÒѾÓÐ7È˻ظ´
ÊÛSCIÒ»ÇøÎÄÕ£¬ÎÒ:8 O5 51O 54,¿ÆÄ¿ÆëÈ«,¿É+¼±
ÒѾÓÐ8È˻ظ´
ÊÛSCIÒ»ÇøÎÄÕ£¬ÎÒ:8 O5 51O 54,¿ÆÄ¿ÆëÈ«,¿É+¼±
ÒѾÓÐ8È˻ظ´
ÊÛSCIÒ»ÇøÎÄÕ£¬ÎÒ:8 O5 51O 54,¿ÆÄ¿ÆëÈ«,¿É+¼±
ÒѾÓÐ11È˻ظ´
ΪʲôÖйú´óѧ¹¤¿Æ½ÌÊÚÃÇË®ÁËÄÇô¶àËùνµÄ¶¥»á¶¥¿¯£¬µ«»¹ÊÇ×ö²»³öÓîÊ÷»úÆ÷ÈË£¿
ÒѾÓÐ8È˻ظ´
ÊÛSCIÒ»ÇøÎÄÕ£¬ÎÒ:8 O5 51O 54,¿ÆÄ¿ÆëÈ«,¿É+¼±
ÒѾÓÐ5È˻ظ´
ÊÛSCIÒ»ÇøÎÄÕ£¬ÎÒ:8 O5 51O 54,¿ÆÄ¿ÆëÈ«,¿É+¼±
ÒѾÓÐ6È˻ظ´
ÊÛSCIÒ»ÇøÎÄÕ£¬ÎÒ:8 O5 51O 54,¿ÆÄ¿ÆëÈ«,¿É+¼±
ÒѾÓÐ9È˻ظ´
ÊÛSCIÒ»ÇøÎÄÕ£¬ÎÒ:8 O5 51O 54,¿ÆÄ¿ÆëÈ«,¿É+¼±
ÒѾÓÐ4È˻ظ´
ÊÛSCIÒ»ÇøÎÄÕ£¬ÎÒ:8 O5 51O 54,¿ÆÄ¿ÆëÈ«,¿É+¼±
ÒѾÓÐ5È˻ظ´

CAPFHX
Ìú³æ (СÓÐÃûÆø)
- Ó¦Öú: 2 (Ó×¶ùÔ°)
- ½ð±Ò: 74.6
- É¢½ð: 3
- ºì»¨: 3
- Ìû×Ó: 61
- ÔÚÏß: 20.7Сʱ
- ³æºÅ: 2634661
- ×¢²á: 2013-09-04
- ÐÔ±ð: MM
- רҵ: Ò©Îï·ÖÎö
¡¾´ð°¸¡¿Ó¦Öú»ØÌû
|
ÎÒû×ö¹ý£¬µ«ÊǰïÎÒʦ½ã´ò¹ýÏÂÊÖ£¬Ï£Íû¶ÔÄãÓаïÖú°É¡£´ó¸Å²Ù×÷Á÷³ÌÈçÏ 1£®ÍÑÀ¯ £¨1£©½þÅݶþ¼×±½10min£¬½þÅݶþ¼×±½5min£¬½þÅݶþ¼×±½5min£¬½þÅÝ100%¾Æ¾«2min£¬95%¾Æ¾«2min£¬75%¾Æ¾«2min£¬Ë®³åÏ´¸É¾»¡£ 2.Ⱦɫ °ÚºÃƬ×Ó£¬ËÕÄ¾ËØ¼×Òº£ºËÕÄ¾ËØÒÒÒº=1:1Ⱦɫ 5min£¬³åϴȾҺ£¬·ÅÈë¼Ü×Ó£¬Ï¡ÑÎËáպһϣ¬³åÏ´5min£¬°ÚºÃƬ×Ó£¬²Á¸ÉË®£¬¼Ó Àö´ººìËáÐÔÆ·ºìҺȾ7·ÖÖÓ£¬×ÔÀ´Ë®³åÏ´5min£¬ 1%Á×îâËáË®ÈÜÒº´¦ÀíÔ¼5·ÖÖÓ£¬µ¹µôÁ×îâËᣬ²»ÓÃˮϴ£¬Ö±½Ó¼Ó2%±ù´×ËáÊÊÁ¿´¦Àí1·ÖÖÓ£¬×ÔÀ´Ë®³åÏ´5min£¬ÓÃÖÐÐÔÊ÷Ö¬·âƬ¡£ |
2Â¥2015-01-15 20:38:00
fireme33
ÖÁ×ðľ³æ (ÖªÃû×÷¼Ò)
°áשÍÞÍÞ
- ²©Ñ§EPI: 2
- Ó¦Öú: 74 (³õÖÐÉú)
- ½ð±Ò: 20095
- É¢½ð: 3120
- ºì»¨: 73
- Ìû×Ó: 8135
- ÔÚÏß: 564.2Сʱ
- ³æºÅ: 2382670
- ×¢²á: 2013-03-28
- רҵ: ¿¹Ñ×ÓëÃâÒßÒ©ÎïÒ©Àí

3Â¥2015-11-01 18:35:42
ÄܳԲ»ÅÖ
Òø³æ (СÓÐÃûÆø)
- Ó¦Öú: 0 (Ó×¶ùÔ°)
- ½ð±Ò: 1859.9
- É¢½ð: 132
- ºì»¨: 1
- Ìû×Ó: 162
- ÔÚÏß: 158.2Сʱ
- ³æºÅ: 1627611
- ×¢²á: 2012-02-19
- רҵ: ¸ÎÏËά»¯¡¢¸ÎÓ²»¯ÓëÃÅÂö¸ß
4Â¥2016-06-01 11:12:56
¸ß¥ѰÃÙ
ͳæ (ÕýʽдÊÖ)
- Ó¦Öú: 0 (Ó×¶ùÔ°)
- ½ð±Ò: 306.7
- É¢½ð: 559
- ºì»¨: 4
- Ìû×Ó: 504
- ÔÚÏß: 52.7Сʱ
- ³æºÅ: 6674667
- ×¢²á: 2017-06-03
- רҵ: ²ÄÁÏÎïÀí»¯Ñ§
5Â¥2019-07-02 18:46:10













»Ø¸´´ËÂ¥