| 查看: 359 | 回复: 0 | ||
[求助]
切片 染色
|
|
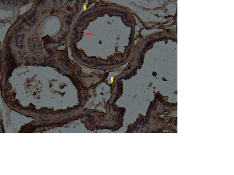
如附件中所示 是我做的正常小鼠前列腺组织的IHC切片 20倍放大 我用的是PI3K β抗体 如图中三个箭头处 我感觉红色箭头 处像是染上抗体 但是黄色箭头处不知道是什么 还请大侠不吝赐教 多谢啊 474 p110b lateral lobe 20.jpg |
» 猜你喜欢
求药剂学课件
已经有0人回复
坐标0371,省厅级项目,关系到底多重要?
已经有28人回复
放射医学论文润色/翻译怎么收费?
已经有239人回复
求验证
已经有20人回复
博士后面上项目申请书生成后,最后的签字页在哪里提交?
已经有5人回复
Phytomedicine的作者同意声明
已经有0人回复














回复此楼