| 查看: 1742 | 回复: 7 | ||
[求助]
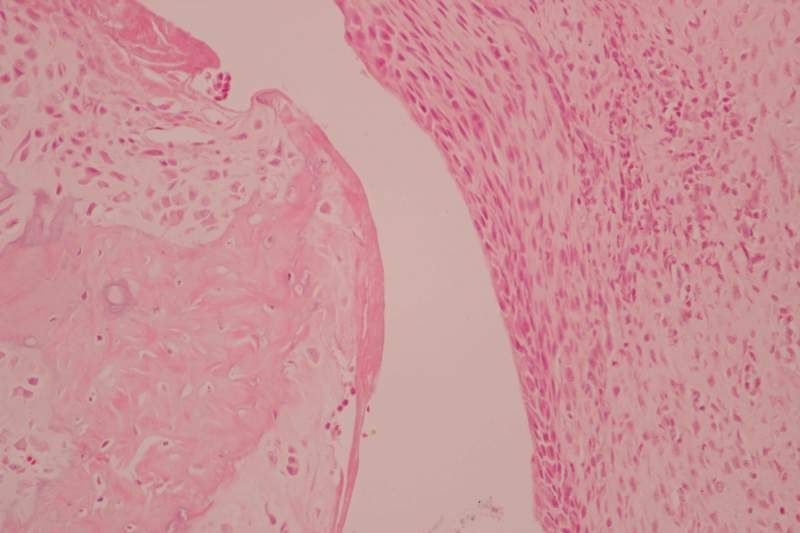
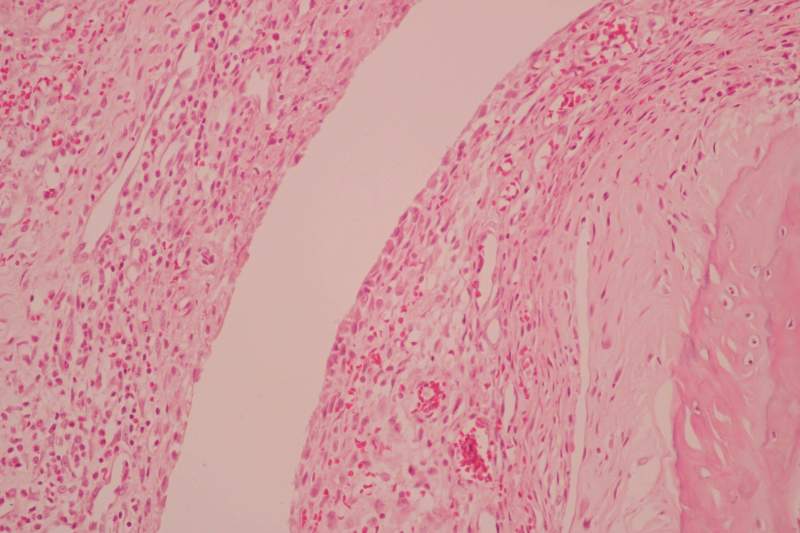
求助一组病理读片,CIA大鼠踝关节滑膜 已有1人参与
|
||
|
|
||
|
2楼2014-12-02 15:57:15
|
|
|
myyounger至尊木虫 (文坛精英)
|
||
|
3楼2014-12-03 18:45:55
|
|
|
|
4楼2014-12-06 15:02:13
|
|
|
|
5楼2014-12-06 20:53:16
|
|
|
|
6楼2014-12-07 18:08:40
|
|
|
|
||
|
7楼2014-12-08 21:23:11
|
|
|
|
8楼2014-12-09 23:40:20
|
|














回复此楼
