| ²é¿´: 1126 | »Ø¸´: 5 | ||
ginnyzhuzhuгæ (³õÈëÎÄ̳)
|
[ÇóÖú]
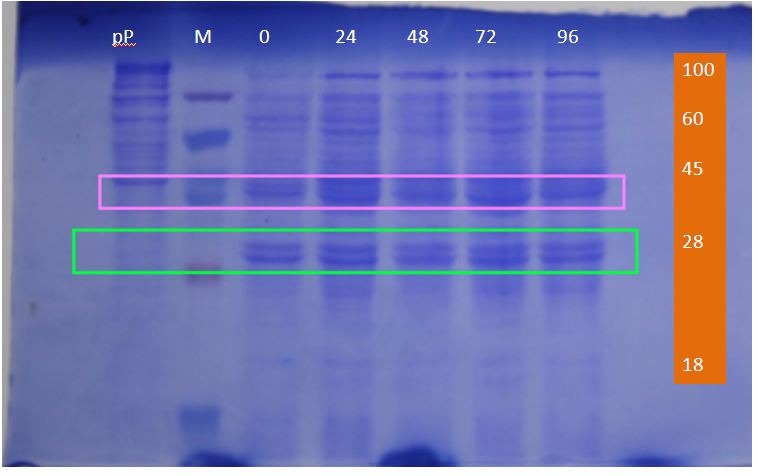
Gµ°°×Å·ÁªÊÜÌåÔڱϳà½Íĸ±í´ï--Ä¿µÄÌõ´øÓÐÁË£¬µ«ÊǺͶÔÕÕ±ÈÆðÀ´¶àÁ˼¸Ìõ¡£¡£¡£ ÒÑÓÐ1È˲ÎÓë
|
|
|
|
||
ginnyzhuzhuгæ (³õÈëÎÄ̳)
|
||
|
2Â¥2014-11-11 21:56:23
|
|
|
zergbloodyÌú³æ (ÕýʽдÊÖ)
|
||
|
3Â¥2014-11-11 23:45:03
|
|
|
ginnyzhuzhuгæ (³õÈëÎÄ̳)
|
||
|
4Â¥2014-11-12 09:46:17
|
|
|
zergbloodyÌú³æ (ÕýʽдÊÖ)
|
¡¾´ð°¸¡¿Ó¦Öú»ØÌû
¡ï ¡ï
ginnyzhuzhu: ½ð±Ò+2, ¡ïÓаïÖú 2014-11-12 12:25:45
|
|
|
5Â¥2014-11-12 11:04:45
|
|
|
ginnyzhuzhuгæ (³õÈëÎÄ̳)
|
||
|
6Â¥2014-11-12 12:25:17
|
|















»Ø¸´´ËÂ¥