| 查看: 879 | 回复: 4 | |
Christinexiu金虫 (正式写手)
|
[求助]
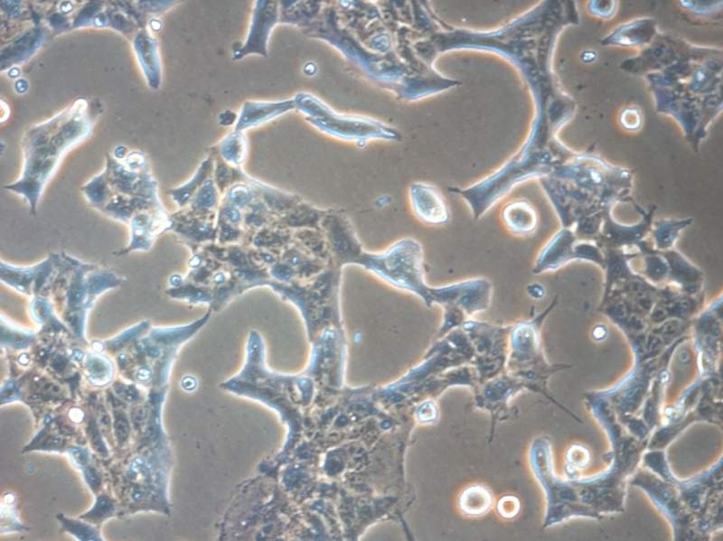
TCP-1 有人养过吗,可有图片 已有1人参与
|
![]() |
|
|
|
|
Christinexiu金虫 (正式写手)
|
|
![]() |
|
|
2楼2014-07-23 16:50:57
|
|
wzh-2010至尊木虫 (职业作家)
|
|
|
3楼2014-07-24 08:49:35
|
|
Christinexiu金虫 (正式写手)
|
|
![]() |
|
|
4楼2014-07-24 09:02:03
|
|
|
5楼2015-06-03 09:33:58
|
|














回复此楼