| ²é¿´: 286 | »Ø¸´: 0 | ||
tangzonghao½ð³æ (ÕýʽдÊÖ)
|
[ÇóÖú]
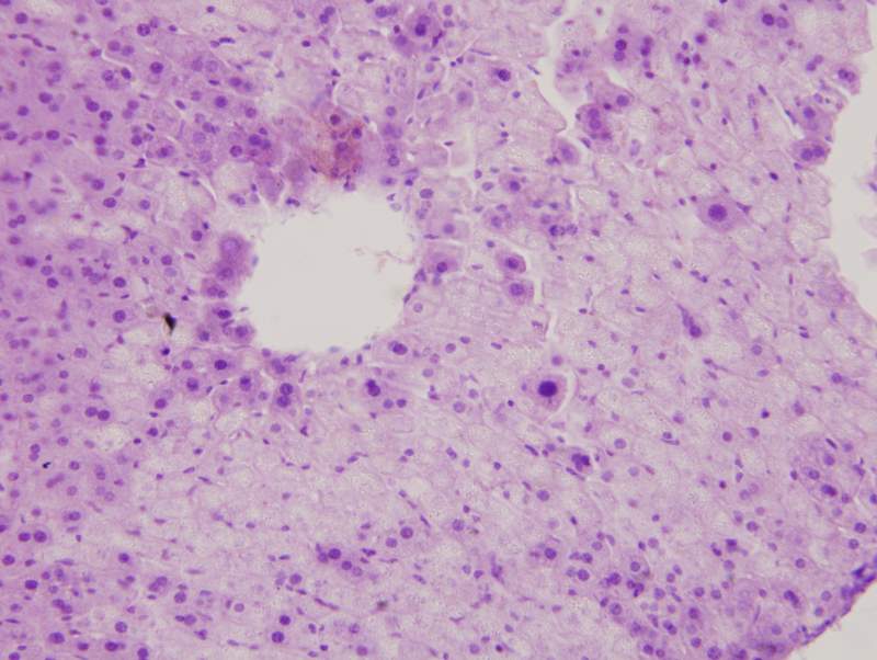
¸ÎÔàÇÐÆ¬
|
|
×ö³öÀ´µÄ¸ÎÔàÇÐÆ¬¿´²»¶®Ê²Ã´Òâ˼£¬Çë½Ìһϸ÷λ ΪʲôÇÐÆ¬Àﲿ·ÖÇøÓòȾɫºÜÇ³ÄØ£¬¶øÇÒûÓÐϸ°ûºËûÓÐȾÉÏÉ« |
» ²ÂÄãϲ»¶
Ò»Ö¾Ô¸ Î÷±±´óѧ £¬070300»¯Ñ§Ñ§Ë¶£¬×Ü·Ö287£¬Ë«·ÇÒ»±¾£¬Çóµ÷¼Á¡£
ÒѾÓÐ5È˻ظ´
0856Çóµ÷¼Á
ÒѾÓÐ9È˻ظ´
Ò»Ö¾Ô¸ ÄϾ©Óʵç´óѧ 288·Ö ²ÄÁÏ¿¼ÑÐ Çóµ÷¼Á
ÒѾÓÐ3È˻ظ´
²ÄÁÏÓ뻯¹¤304ÇóBÇøµ÷¼Á
ÒѾÓÐ5È˻ظ´
Ò»Ö¾Ô¸±±¾©»¯¹¤´óѧ²ÄÁÏÓ뻯¹¤£¨085600£©296Çóµ÷¼Á
ÒѾÓÐ5È˻ظ´
275Çóµ÷¼Á
ÒѾÓÐ7È˻ظ´
274Çóµ÷¼Á
ÒѾÓÐ19È˻ظ´
×Ü·Ö293Çóµ÷¼Á
ÒѾÓÐ8È˻ظ´
±±¿Æ281ѧ˶²ÄÁÏÇóµ÷¼Á
ÒѾÓÐ17È˻ظ´
ѰÕÒµ÷¼Á
ÒѾÓÐ8È˻ظ´













»Ø¸´´ËÂ¥