| ²é¿´: 894 | »Ø¸´: 4 | ||
tangzonghao½ð³æ (ÕýʽдÊÖ)
|
[ÇóÖú]
°üÂñµÄÄÄЩ¹ý³Ì¿ÏÄܻᵼÖÂ×éÖ¯ÐÎ̬ѧ·¢Éú±ä»¯ ÒÑÓÐ1È˲ÎÓë
|
|
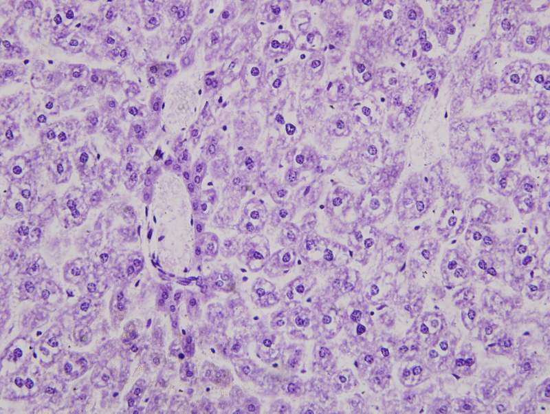
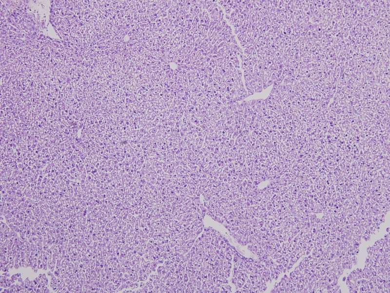
×î½üÔÚ×ö¸ÎÔàµÄHEȾɫ£¬µ«ÊÇ·¢ÏÖ¶ÔÕÕ×éµÄ¸ÎÔàÐÎ̬ѧºÃÏñ²»Ì«Õý³££¬²»ÖªµÀÊÇÄĸö²½Öè³öÏÖÁËÎÊÌ⣬ÏëÇë½Ìһϸ÷λ Õâ¸öÊǶÔÕÕ×é40XµÄ Õâ¸öÊǶÔÕÕ×é10XµÄ |
» ²ÂÄãϲ»¶
×ÊÔ´Óë»·¾³ µ÷¼ÁÉêÇë(333·Ö)
ÒѾÓÐ9È˻ظ´
µ÷¼ÁÍÆ¼ö
ÒѾÓÐ3È˻ظ´
275Çóµ÷¼Á
ÒѾÓÐ10È˻ظ´
297Çóµ÷¼Á
ÒѾÓÐ5È˻ظ´
279 ·Ö Çóµ÷¼Á
ÒѾÓÐ3È˻ظ´
Ò»Ö¾Ô¸ÏÃÃÅ´óѧ»¯Ñ§Ñ§Ë¶307Çóµ÷¼Á
ÒѾÓÐ6È˻ظ´
081700 µ÷¼Á 267·Ö
ÒѾÓÐ11È˻ظ´
²ÄÁÏÓ뻯¹¤¿¼Ñе÷¼Á
ÒѾÓÐ10È˻ظ´
²ÄÁÏ¿ÆÑ§Ó빤³Ì 317Çóµ÷¼Á
ÒѾÓÐ3È˻ظ´
271Çóµ÷¼Á
ÒѾÓÐ5È˻ظ´
neverknow
ľ³æ (ÖøÃûдÊÖ)
- Ó¦Öú: 42 (СѧÉú)
- ½ð±Ò: 3350.3
- ºì»¨: 9
- Ìû×Ó: 1248
- ÔÚÏß: 90Сʱ
- ³æºÅ: 309223
- ×¢²á: 2006-12-23
- ÐÔ±ð: GG
- רҵ: ¶¯ÎﲡÀíѧ
2Â¥2014-06-06 15:35:55
tangzonghao
½ð³æ (ÕýʽдÊÖ)
- Ó¦Öú: 0 (Ó×¶ùÔ°)
- ½ð±Ò: 2193.2
- É¢½ð: 93
- ºì»¨: 1
- Ìû×Ó: 777
- ÔÚÏß: 341.2Сʱ
- ³æºÅ: 2692977
- ×¢²á: 2013-09-30
- ÐÔ±ð: GG
- רҵ: ·¢ÓýÉúÎïѧ
3Â¥2014-06-06 17:03:32
neverknow
ľ³æ (ÖøÃûдÊÖ)
- Ó¦Öú: 42 (СѧÉú)
- ½ð±Ò: 3350.3
- ºì»¨: 9
- Ìû×Ó: 1248
- ÔÚÏß: 90Сʱ
- ³æºÅ: 309223
- ×¢²á: 2006-12-23
- ÐÔ±ð: GG
- רҵ: ¶¯ÎﲡÀíѧ
|
ÔÀ´ÕâÑù£¬ÒòΪ¹Ì¶¨Òº²»¹»Å¨¶È£¬²»Äܼ°Ê±ÈøÉϸ°ûʧȥ»îÐÔ¡£¸Éϸ°û±¾À´´úл¿ì£¬ÄãÕâ¸öÊÇÊôÓÚϸ°û×ÔÈÜÁË¡£¡£¡£¡£¡£¿Ï¶¨ÊÇÒòΪÕâ¸öÔÒò¡£ |
4Â¥2014-06-06 20:21:25
tangzonghao
½ð³æ (ÕýʽдÊÖ)
- Ó¦Öú: 0 (Ó×¶ùÔ°)
- ½ð±Ò: 2193.2
- É¢½ð: 93
- ºì»¨: 1
- Ìû×Ó: 777
- ÔÚÏß: 341.2Сʱ
- ³æºÅ: 2692977
- ×¢²á: 2013-09-30
- ÐÔ±ð: GG
- רҵ: ·¢ÓýÉúÎïѧ
5Â¥2014-06-07 15:48:06













»Ø¸´´ËÂ¥