| 查看: 2095 | 回复: 9 | |||
[求助]
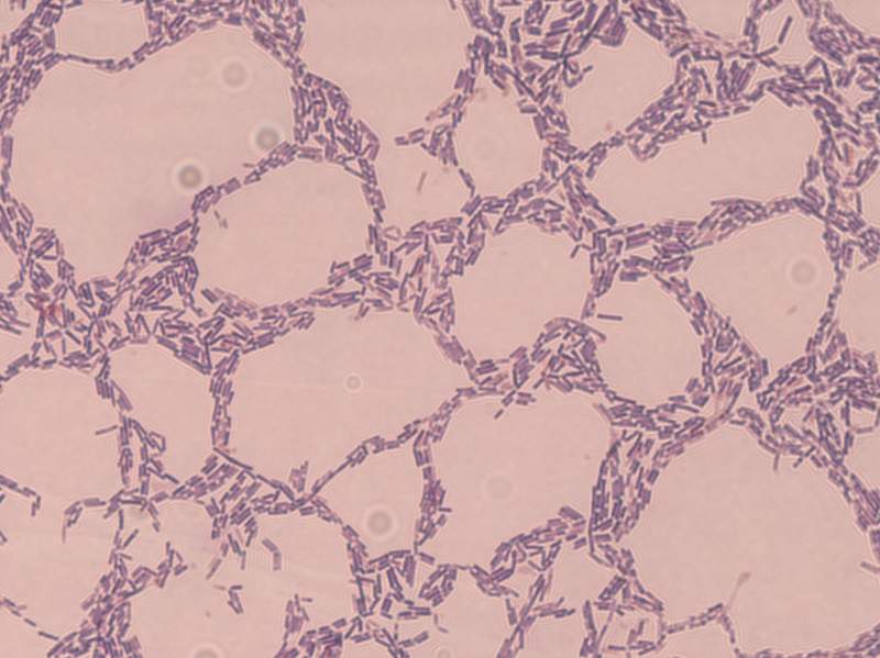
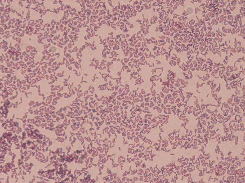
本科毕业论文是鉴定EM菌液中的乳酸菌,革兰氏染色后细胞形态如下,求大神指教已有4人参与
|
|
本科毕业论文是鉴定EM菌液中的乳酸菌,革兰氏染色后细胞形态如下(100x油镜),有些不是紫色的原因可能是结晶紫效果不好。有能一眼看出的大神请指点,感激不尽! 8.5.jpg 7.3.jpg 6.2.jpg 5.6.jpg 4.3.jpg 3.4.jpg 2.2.jpg 1.1.jpg |
» 猜你喜欢
请问哪里可以有青B申请的本子可以借鉴一下。
已经有3人回复
真诚求助:手里的省社科项目结项要求主持人一篇中文核心,有什么渠道能发核心吗
已经有3人回复
孩子确诊有中度注意力缺陷
已经有14人回复
三甲基碘化亚砜的氧化反应
已经有4人回复
请问下大家为什么这个铃木偶联几乎不反应呢
已经有5人回复
请问有评职称,把科研教学业绩算分排序的高校吗
已经有5人回复
2025冷门绝学什么时候出结果
已经有3人回复
天津工业大学郑柳春团队欢迎化学化工、高分子化学或有机合成方向的博士生和硕士生加入
已经有4人回复
康复大学泰山学者周祺惠团队招收博士研究生
已经有6人回复
AI论文写作工具:是科研加速器还是学术作弊器?
已经有3人回复
» 本主题相关价值贴推荐,对您同样有帮助:
2014年海洋所
已经有14人回复
转帖:利用谣言获利?质疑环保“专家”董良杰
已经有36人回复
中国农业科学院作物科学研究所课题组科研助理招聘启事
已经有24人回复
中国科学院海洋研究所第2次招聘(截止日期还有几天)所外毕业生优先
已经有14人回复
中国地质科学院矿产综合利用研究所
已经有5人回复
安徽职称评审开始了
已经有2人回复
中国科学院城市环境研究所
已经有3人回复
2楼2014-06-04 14:14:23
3楼2014-06-04 15:08:35
4楼2014-06-04 15:13:30
5楼2014-06-04 15:54:10
20093651
铁杆木虫 (职业作家)
- MicEPI: 2
- 应助: 212 (大学生)
- 金币: 5307.4
- 散金: 3276
- 红花: 63
- 沙发: 2
- 帖子: 3731
- 在线: 656.6小时
- 虫号: 1176129
- 注册: 2010-12-23
- 专业: 金属材料表面科学与工程

6楼2014-06-04 18:23:02
7楼2014-06-04 20:03:55
8楼2014-06-05 14:40:02
wzq_ing
金虫 (正式写手)
- 应助: 204 (大学生)
- 金币: 5171.1
- 红花: 11
- 帖子: 576
- 在线: 98.9小时
- 虫号: 1535064
- 注册: 2011-12-13
- 专业: 微生物学
9楼2014-06-05 15:57:45
xiaoamuchong
专家顾问 (职业作家)
科研工作者
-

专家经验: +261 - MicEPI: 3
- 应助: 309 (大学生)
- 金币: 7109
- 散金: 582
- 红花: 87
- 沙发: 8
- 帖子: 3151
- 在线: 745.7小时
- 虫号: 3130111
- 注册: 2014-04-12
- 专业: 微生物生理与生物化学
- 管辖: 微生物

10楼2014-06-06 23:28:43













回复此楼

