| ²é¿´: 1597 | »Ø¸´: 1 | ||||
| ±¾Ìû²úÉú 1 ¸ö MolEPI £¬µã»÷ÕâÀï½øÐв鿴 | ||||
smiling1987½ð³æ (СÓÐÃûÆø)
|
[½»Á÷]
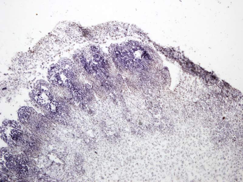
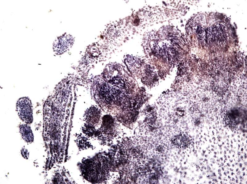
ÎäººË¼ÌØ½ø¹«Ë¾¸ø×öµÄÔλÔÓ½»£¬´ó¼Ò°ïæ¿´¿´ÖÊÁ¿ÔõôÑù ÒÑÓÐ1È˲ÎÓë
|
|||
biostar2009
ר¼Ò¹ËÎÊ (ÕýʽдÊÖ)
-

ר¼Ò¾Ñé: +220 - MolEPI: 20
- Ó¦Öú: 231 (´óѧÉú)
- ½ð±Ò: 10391.9
- É¢½ð: 387
- ºì»¨: 63
- Ìû×Ó: 540
- ÔÚÏß: 151.9Сʱ
- ³æºÅ: 2811882
- ×¢²á: 2013-11-19
- רҵ: ÉúÎﻯѧ
- ¹ÜϽ: ·Ö×ÓÉúÎï
¡ï ¡ï ¡ï ¡ï ¡ï ¡ï
Сľ³æ: ½ð±Ò+0.5, ¸ø¸öºì°ü£¬Ð»Ð»»ØÌû
silicare: ½ð±Ò+5, MolEPI+1, Ó¦ÖúÖ¸Êý+1, Õý½â 2014-05-26 08:51:50
Сľ³æ: ½ð±Ò+0.5, ¸ø¸öºì°ü£¬Ð»Ð»»ØÌû
silicare: ½ð±Ò+5, MolEPI+1, Ó¦ÖúÖ¸Êý+1, Õý½â 2014-05-26 08:51:50
|
°¥£¬ËùÒÔºËÐļ¼Êõ»¹ÊÇÒª×Ô¼ºÕÆÎÕ²ÅÐÐ PSÓÖ²»ÊÇ×÷¼Ù£¬ÉúÎïѧ¿ÆÍ¼Æ¬µÄ´¦ÀíÓлù±¾µÄ¹æ¶¨£¬ÒªÊÇ˵È˼ÒÊÇPSµÄ£¬È˼ÒÁ˲»Æðµ÷Õûһ϶ԱȶÈÖ®À࣬¿Ï¶¨²»Äܰѿ´µÃ¼ûµÄµ÷ûÓУ¬Ã»¿´¼ûµÄµ÷³öÀ´£¬²»¶Ô½¹µ÷³É¶Ô½¹Êǰɣ¿£¡£¡£¡ÄãÈÃËûÈ¥µ÷£¬ÕâÖÖͼ¶¼¸Ð¾õ¶¼Ã»ÓжԽ¹£¬ÄãÈÃËûµ÷³öËûËùνµÄPSµÄЧ¹û£¬Ç°ÌåÊDz»Äܳ¬¹ýµ÷ÕûµÄ¹æ¶¨¡£²»È»µÄ»°Õâ¸öÕʼá¾ö²»´ò¸øËû¡£ |
2Â¥2014-05-25 19:19:18














»Ø¸´´ËÂ¥