±±¾©Ê¯ÓÍ»¯¹¤Ñ§Ôº2026ÄêÑо¿ÉúÕÐÉú½ÓÊÕµ÷¼Á¹«¸æ
²é¿´: 908  |  »Ø¸´: 0

nange9533

ľ³æ (СÓÐÃûÆø)

[½»Á÷] ÎïÀí»¯Ñ§ÁÆ·¨½áºÏ×÷ÓÃÓÚÖ×ÁöºóµÄHoechst ºÍPIȾɫ

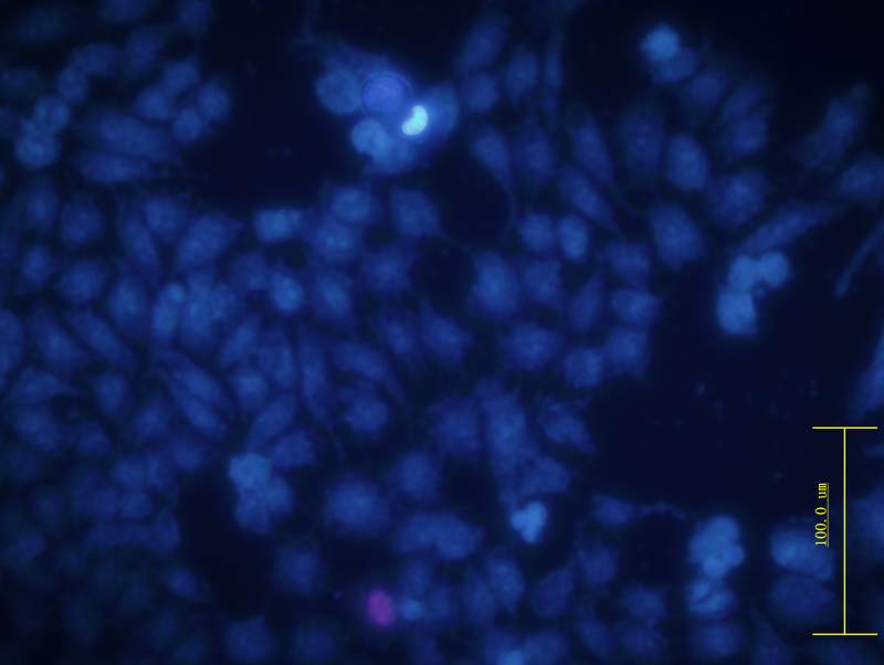
ϸ°û¾­¹ýÎïÀí½áºÏ»¯Ñ§ÁÆ·¨36 Сʱºó£¬ ÓÃhoechst Ⱦɫ ºÍPIȾɫ£¬¹Û²ìÆÚÐÎ̬¡£

ÎïÀí»¯Ñ§ÁÆ·¨½áºÏ×÷ÓÃÓÚÖ×ÁöºóµÄHoechst ºÍPIȾɫ
Õý³£Ï¸°û.jpg

ÓÐË¿·ÖÁÑÔÖÄÑ£¬ÍíÆÚµòÍö£¬»µËÀ£¿
ÎïÀí»¯Ñ§ÁÆ·¨½áºÏ×÷ÓÃÓÚÖ×ÁöºóµÄHoechst ºÍPIȾɫ-1
37T4.jpg

¸ßÀ¶É«£ºµòÍöÂð£¿
ÎïÀí»¯Ñ§ÁÆ·¨½áºÏ×÷ÓÃÓÚÖ×ÁöºóµÄHoechst ºÍPIȾɫ-2
45-3.jpg

Õû¸öϸ°ûµ­À¶É«£¿ÊǺËËéÁÑ¡¢ºËÈܽ⻹ÊÇhoechest ´ãÃð£¨Ï¸°ûͬʱHoechst ºÍPIȾɫ£©
ÎïÀí»¯Ñ§ÁÆ·¨½áºÏ×÷ÓÃÓÚÖ×ÁöºóµÄHoechst ºÍPIȾɫ-3
45M-2.jpg

ºìɫΪ»µËÀÂð£¿Õû¸öϸ°ûµ­À¶É«ÎªÊǺËËéÁÑ¡¢ºËÈܽ⻹ÊÇhoechest ´ãÃð£¨Ï¸°ûͬʱHoechst ºÍPIȾɫ£©
ÎïÀí»¯Ñ§ÁÆ·¨½áºÏ×÷ÓÃÓÚÖ×ÁöºóµÄHoechst ºÍPIȾɫ-4
45T-3.jpg


ÎïÀí»¯Ñ§ÁÆ·¨½áºÏ×÷ÓÃÓÚÖ×ÁöºóµÄHoechst ºÍPIȾɫ-5
48-3.jpg

ºìɫΪ»µËÀÂ𣿸ßÀ¶É«ÎªµòÍö£¿
ÎïÀí»¯Ñ§ÁÆ·¨½áºÏ×÷ÓÃÓÚÖ×ÁöºóµÄHoechst ºÍPIȾɫ-6
51-3.jpg

µ­À¶É«ÀïÃæ¶¼Óе­µ­µÄºìȾ£¿ÊÇʲôÇé¿ö£¿ÊÇ»µËÀºó»¹²ÐÁô×ÅDNAÎïÖÊ£¿
ÎïÀí»¯Ñ§ÁÆ·¨½áºÏ×÷ÓÃÓÚÖ×ÁöºóµÄHoechst ºÍPIȾɫ-7
51T-3.jpg
»Ø¸´´ËÂ¥
ÒÑÔÄ   »Ø¸´´ËÂ¥   ¹Ø×¢TA ¸øTA·¢ÏûÏ¢ ËÍTAºì»¨ TAµÄ»ØÌû
Ïà¹Ø°æ¿éÌø×ª ÎÒÒª¶©ÔÄÂ¥Ö÷ nange9533 µÄÖ÷Ìâ¸üÐÂ
×î¾ßÈËÆøÈÈÌûÍÆ¼ö [²é¿´È«²¿] ×÷Õß »Ø/¿´ ×îºó·¢±í
[¿¼ÑÐ] Äϲý´óѧ²ÄÁÏר˶311·ÖÇóµ÷¼Á +9 77chaselx 2026-03-20 9/450 2026-03-27 09:00 by 3Strings
[¿¼ÑÐ] 359Çóµ÷¼Á +4 ÍõÁ˸öéª 2026-03-25 4/200 2026-03-27 08:43 by ²»³Ôô~µÄ؈
[¿¼ÑÐ] 343Çóµ÷¼Á +4 ÔùÎÒÒ»±¾Êé 2026-03-23 4/200 2026-03-27 00:40 by wxiongid
[¿¼ÑÐ] 349Çóµ÷¼Á +5 ½Ü˹ËþÀï˹ 2026-03-21 5/250 2026-03-27 00:31 by wxiongid
[¿¼ÑÐ] Ò»Ö¾Ô¸»ªÀí£¬ÊýÒ»Ó¢Ò»285ÇóAÇøµ÷¼Á +8 AZMK 2026-03-25 10/500 2026-03-26 22:37 by ѧԱ8dgXkO
[¿¼ÑÐ] 321Çóµ÷¼Á +5 ²ÄÁÏcailiao 2026-03-21 5/250 2026-03-26 20:41 by fmesaito
[¿¼ÑÐ] ²ÄÁÏ¿¼ÑÐÇóµ÷¼Á +3 Dendel 2026-03-23 6/300 2026-03-26 17:51 by fmesaito
[¿¼ÑÐ] 289Çóµ÷¼Á +17 ˶ÐǸ° 2026-03-23 17/850 2026-03-26 16:18 by ²»³Ôô~µÄ؈
[¿¼ÑÐ] 081700 µ÷¼Á 267·Ö +11 ÃÔÈ˵Ĺþ¹þ 2026-03-23 11/550 2026-03-26 15:41 by zzll406
[¿¼ÑÐ] 263Çóµ÷¼Á +6 yqdszhdap£­ 2026-03-22 10/500 2026-03-26 13:11 by ¹«èªåÐÒ£
[¿¼ÑÐ] 315·ÖÇóµ÷¼Á +5 26¿¼ÑÐÉϰ¶°æ26 2026-03-26 5/250 2026-03-26 12:11 by laoshidan
[¿¼ÑÐ] 300·Ö£¬²ÄÁÏ£¬Çóµ÷¼Á£¬Ó¢Ò»Êý¶þ +5 ³¬ÔÞµÄ 2026-03-24 5/250 2026-03-24 21:07 by ÐÇ¿ÕÐÇÔÂ
[¿¼ÑÐ] 0703»¯Ñ§µ÷¼Á£¬Çóµ¼Ê¦ÊÕ +7 ÌìÌìºÃÔËÀ´Éϰ¶° 2026-03-24 7/350 2026-03-24 20:26 by peike
[¿¼ÑÐ] 300Çóµ÷¼Á£¬²ÄÁÏ¿ÆÑ§Ó¢Ò»Êý¶þ +5 leaflight 2026-03-24 5/250 2026-03-24 16:25 by laoshidan
[¿¼ÑÐ] 384Çóµ÷¼Á +3 ×Óϵ²© 2026-03-22 6/300 2026-03-23 21:45 by ×Óϵ²©
[¿¼ÑÐ] 333Çóµ÷¼Á +3 ALULU4408 2026-03-23 3/150 2026-03-23 19:04 by macy2011
[¿¼ÑÐ] 070300£¬Ò»Ö¾Ô¸±±º½320Çóµ÷¼Á +3 Jerry0216 2026-03-22 5/250 2026-03-23 09:16 by ¡£¡£ÌÃÌÃ
[¿¼ÑÐ] 275Çóµ÷¼Á +6 shansx 2026-03-22 8/400 2026-03-22 15:27 by barlinike
[¿¼ÑÐ] ²ÄÁÏ 271Çóµ÷¼Á +5 Õ¹ÐÅÔÃ_ 2026-03-21 5/250 2026-03-21 17:29 by ѧԱ8dgXkO
[¿¼ÑÐ] Ò»Ö¾Ô¸ÄÏÀí¹¤085701»·¾³302Çóµ÷¼ÁԺУ +3 ¿ûè÷ÎÀ¶Ó 2026-03-20 3/150 2026-03-20 19:28 by zhukairuo
ÐÅÏ¢Ìáʾ
ÇëÌî´¦ÀíÒâ¼û