| 查看: 1416 | 回复: 2 | ||
csutlh金虫 (小有名气)
|
[求助]
7075金相问题已有1人参与
|
|
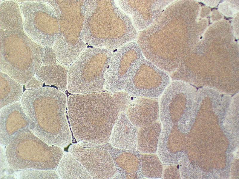
我用混合酸(氢氟酸 1ml,盐 酸 1.5ml,硝 酸 2.5ml,水 95ml)腐蚀T6态7075铝合金,10s,如图,放大200x 1、我想知道晶界附近的析出相是什么,η相? 2、晶粒内部中明显颜色不一样的中间部分(棕褐色)是什么? 3、为什么边部和中间部位的颜色不一样? 4、有别的好用的腐蚀剂吗,谢谢? |
» 猜你喜欢
三无产品还有机会吗
已经有5人回复
垃圾破二本职称评审标准
已经有5人回复
投稿返修后收到这样的回复,还有希望吗
已经有7人回复
压汞仪和BET测气凝胶孔隙率
已经有4人回复
博士申请都是内定的吗?
已经有14人回复
谈谈两天一夜的“延安行”
已经有13人回复
氨基封端PDMS和HDI反应快速固化
已经有11人回复
之前让一硕士生水了7个发明专利,现在这7个获批发明专利的维护费可从哪儿支出哈?
已经有11人回复
论文投稿求助
已经有4人回复
Applied Surface Science 这个期刊。有哪位虫友投过的能把word模板发给我参考一下嘛
已经有3人回复
» 本主题相关价值贴推荐,对您同样有帮助:
铝合金金相问题求助
已经有10人回复
6系铝合金的腐蚀
已经有15人回复
7系铝合金 时效的金相照片
已经有12人回复
试样的磨样对金相的影响
已经有3人回复
请教一个焊缝金相组成
已经有6人回复
黄铜金相制备,抛光的问题
已经有7人回复
请问这铝合金金相上面的小黑点是什么
已经有19人回复
高碳钢焊接后金相腐蚀问题
已经有5人回复
铝合金金相常用腐蚀剂
已经有345人回复
纯铝磨金相怎么才能不嵌入杂质
已经有25人回复
低碳钢焊接金相处理问题
已经有6人回复
关于使用数码相机拍摄金相涉及到的放大倍数问题
已经有16人回复
LY12 , 6061 ,7075 硬铝合金的材料强度分别为多少?哪里能查到
已经有6人回复
金相制备的问题
已经有20人回复
铝合金磨金相,表面发暗不光亮
已经有29人回复
怎样才能又快又好的用砂纸磨出金相
已经有12人回复
2507双相钢的金相问题
已经有21人回复
关于铝合金金相,困扰我好久了,大家帮忙哦
已经有33人回复
铝合金与氢氟酸 腐蚀
已经有6人回复
42CrMo4材质的金相图片。讨论一下其中的问题。
已经有15人回复
【讨论】磨金相
已经有55人回复
【求助】7075铝合金腐蚀试剂
已经有19人回复

du126kang
金虫 (小有名气)
- 应助: 3 (幼儿园)
- 金币: 2215.9
- 帖子: 170
- 在线: 73.6小时
- 虫号: 2059012
- 注册: 2012-10-13
- 性别: GG
- 专业: 金属结构材料
2楼2014-03-27 20:48:39

3楼2014-03-29 17:13:27













回复此楼