| 查看: 537 | 回复: 3 | |||
青山脚下专家顾问
|
[交流]
表达蛋白成功一次后就再也没有表达出来了,求高人指点
|
|
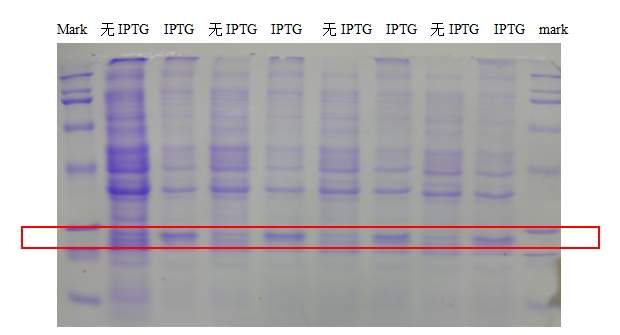
我是用BL21表达一种膜上的糖蛋白,这种蛋白可能对大肠杆菌有毒害,我只诱导成功一次,而且表达量也很少,但是再也诱导不出来,我重新活化菌,诱导条件37℃3h,IPTG浓度100uM,在OD达到0.6时开始诱导,有谁知道其中的原因吗?下面的图是我表达成功的 4]GO$~URF9W%D~]1H_4EA31.jpg |
» 猜你喜欢
调剂推荐
已经有10人回复
0710生物学考研调剂
已经有4人回复
291求调剂
已经有17人回复
0703化学求调剂,各位老师看看我!!!
已经有6人回复
311求调剂
已经有10人回复
化学308分调剂
已经有14人回复
一志愿厦门大学化学学硕307求调剂
已经有11人回复
材料调剂
已经有4人回复
【求调剂】085601材料工程专硕 | 总分272 |
已经有9人回复
286分调剂
已经有15人回复

softwind-77
兑换贵宾
![]()
![]()
![]()
![]()
- 应助: 6 (幼儿园)
- 金币: 3767.7
- 红花: 2
- 帖子: 479
- 在线: 283.4小时
- 虫号: 1346625
- 注册: 2011-07-15
- 专业: 环境微生物学
2楼2014-03-27 16:03:15
青山脚下
实习版主
![]()
![]()
![]()
![]()
- 应助: 0 (幼儿园)
- 金币: 342.9
- 散金: 22
- 帖子: 73
- 在线: 29.9小时
- 虫号: 2589235
- 注册: 2013-08-09
- 性别: MM
- 专业: 微生物资源与分类学

3楼2014-03-28 19:51:42

4楼2014-09-22 10:19:56














回复此楼