| ²é¿´: 3995 | »Ø¸´: 1 | ||
ÖØÉú²½Ô¶Òø³æ (³õÈëÎÄ̳)
|
[ÇóÖú]
ÇóÖú£¡Ð¡Ê󯤷ô½á¹¹£¡ÕæÆ¤²ã£¡ ÒÑÓÐ1È˲ÎÓë
|
|
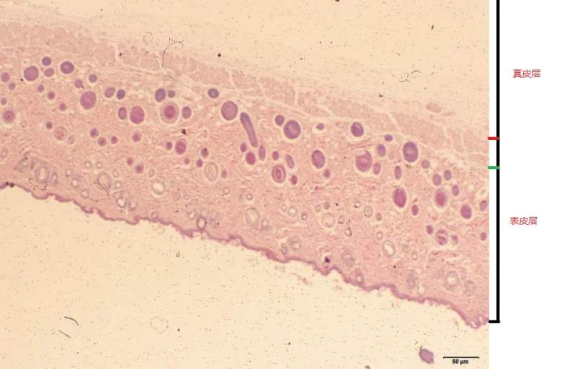
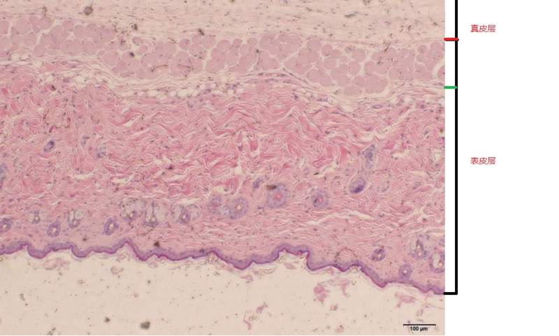
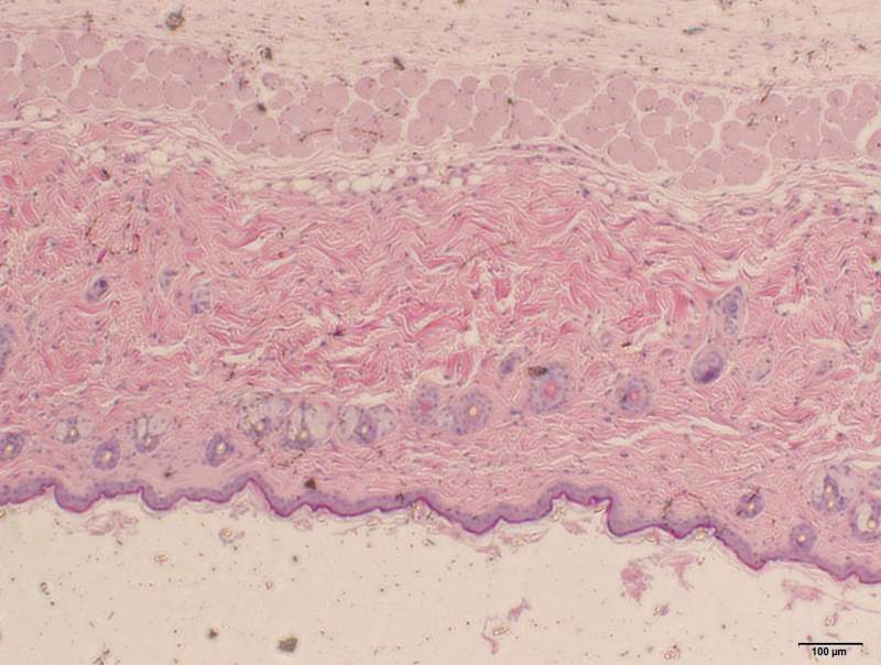
ÎÒÏë²âÁ¿Ð¡ÊóÕæÆ¤²ãºñ¶È£¬²»ÖªµÀÕæÆ¤²ãÊÇ´ÓÄĵ½ÄÄÀï¡£ÇëÔÚÎÒÉÏ´«µÄÕÕÆ¬ÉϱêעСÊ󯤷ôÕæÆ¤²ãÆðʼλÖã¡Ð»Ð»£¡ ʵB4 40.jpg ¿ÕA4 100.jpg |
» ²ÂÄãϲ»¶
304Çóµ÷¼Á
ÒѾÓÐ6È˻ظ´
²ÄÁϹ¤³Ìר˶µ÷¼Á
ÒѾÓÐ6È˻ظ´
Ò»Ö¾Ô¸Ìì´ó²ÄÁÏÓ뻯¹¤£¨085600£©×Ü·Ö338
ÒѾÓÐ4È˻ظ´
085700×ÊÔ´Óë»·¾³308Çóµ÷¼Á
ÒѾÓÐ3È˻ظ´
Çó²ÄÁϵ÷¼Á
ÒѾÓÐ8È˻ظ´
294Çóµ÷¼Á²ÄÁÏÓ뻯¹¤×¨Ë¶
ÒѾÓÐ5È˻ظ´
Ò»Ö¾Ô¸»ªÖпƼ¼´óѧ£¬080502£¬354·ÖÇóµ÷¼Á
ÒѾÓÐ4È˻ظ´
Ò»Ö¾Ô¸¼ªÁÖ´óѧ²ÄÁÏѧ˶321Çóµ÷¼Á
ÒѾÓÐ6È˻ظ´
085410È˹¤ÖÇÄÜר˶317Çóµ÷¼Á£¨0854¶¼¿ÉÒÔ£©
ÒѾÓÐ3È˻ظ´
330Çóµ÷¼Á
ÒѾÓÐ3È˻ظ´
» ±¾Ö÷ÌâÏà¹Ø¼ÛÖµÌùÍÆ¼ö£¬¶ÔÄúͬÑùÓаïÖú:
¼±ÇóÈçºÎ¶ÔC57СÊ󯤷ô½øÐÐÈ¡²Ä
ÒѾÓÐ8È˻ظ´
SPF¼¶Ð¡Ê󯤷ô¼ì²é
ÒѾÓÐ3È˻ظ´
ÇóÖú£ºÈçºÎ·ÖÀë´óÊó»òÕßСÊóµÄƤ²ã»òÕßÎÆ×´Ìå°¡£¿
ÒѾÓÐ7È˻ظ´

cuenk
гæ (СÓÐÃûÆø)
- Ó¦Öú: 2 (Ó×¶ùÔ°)
- ½ð±Ò: 1063.1
- É¢½ð: 5
- ºì»¨: 1
- Ìû×Ó: 53
- ÔÚÏß: 8.4Сʱ
- ³æºÅ: 2655722
- ×¢²á: 2013-09-14
- רҵ: ÖÐҩѧÆäËû¿ÆÑ§ÎÊÌâ
¡¾´ð°¸¡¿Ó¦Öú»ØÌû
¡ï ¡ï ¡ï ¡ï ¡ï ¡ï ¡ï ¡ï ¡ï
PSA: ½ð±Ò+1, ¹ÄÀøÐ³潻Á÷ 2014-03-10 10:55:15
ÖØÉú²½Ô¶: ½ð±Ò+8, ¡ïÓаïÖú, ÓÐÎÄÏ×ÖÐСÊóÕæÆ¤²ãºñ¶È´ó¸ÅÔÚ300¦Ìm×óÓÒ£¬Ó¦´ðÕß±ê×¢µÄÕæÆ¤²ãºñ¶È²»ÔÚ300΢Ã××óÓÒ¡£²»¹ý»¹ÊÇллÁË£¡ 2014-03-22 20:11:54
PSA: ½ð±Ò+1, ¹ÄÀøÐ³潻Á÷ 2014-03-10 10:55:15
ÖØÉú²½Ô¶: ½ð±Ò+8, ¡ïÓаïÖú, ÓÐÎÄÏ×ÖÐСÊóÕæÆ¤²ãºñ¶È´ó¸ÅÔÚ300¦Ìm×óÓÒ£¬Ó¦´ðÕß±ê×¢µÄÕæÆ¤²ãºñ¶È²»ÔÚ300΢Ã××óÓÒ¡£²»¹ý»¹ÊÇллÁË£¡ 2014-03-22 20:11:54
|
ÎÒ²»È·¶¨ÊÇ´ÓºìÉ«¿ªÊ¼»¹ÊÇÂÌÉ«¿ªÊ¼£¬²»¹ý°´ÕÕÈËÀàÆ¤·ôµÄ»°£¬ÕæÆ¤²ã´ó²¿·ÖÓ¦¸ÃÊǽºÔµ°°×ÏËά£¬ËùÒÔ¹À¼ÆÊÇ´ÓºìÉ«¿ªÊ¼µÄ¿ÉÄÜÐÔ´ó w132h2020088_1394102873_568.jpg w132h2020088_1394102883_469.jpg |
2Â¥2014-03-10 08:02:24













»Ø¸´´ËÂ¥