| 查看: 701 | 回复: 4 | |
aeon8868金虫 (正式写手)
|
[求助]
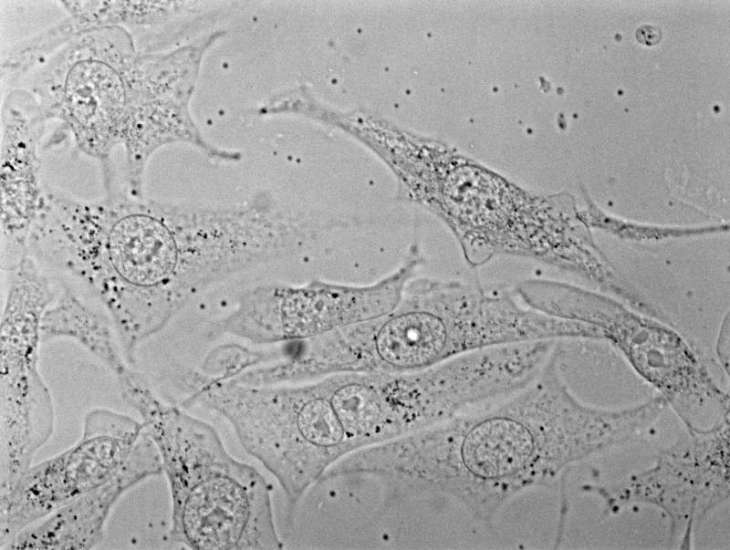
BHK啊BHK 你们肿么了? 已有1人参与
|
|
|
|
yang0071木虫 (职业作家)
|
|
|
2楼2014-02-11 08:18:44
|
|
aeon8868金虫 (正式写手)
|
|
|
3楼2014-02-11 09:23:04
|
|
yang0071木虫 (职业作家)
|
|
|
4楼2014-02-11 10:33:25
|
|
aeon8868金虫 (正式写手)
|
|
|
5楼2014-02-12 18:58:02
|
|














回复此楼