| ²é¿´: 358 | »Ø¸´: 0 | |
LY7300гæ (³õÈëÎÄ̳)
|
[ÇóÖú]
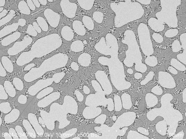
°ïæ·ÖÎöÏÂCoCrPtBºÏ½ðÎïÏ༰ÐÎò
|
![]() |
|
|
|
|
|
ÕÒµ½Ò»Ð©Ïà¹ØµÄ¾«»ªÌû×Ó£¬Ï£ÍûÓÐÓÃŶ~
¿ÆÑдÓСľ³æ¿ªÊ¼£¬ÈËÈËΪÎÒ£¬ÎÒΪÈËÈË
|













»Ø¸´´ËÂ¥

µã»÷ÕâÀïËÑË÷¸ü¶àÏà¹Ø×ÊÔ´