| 查看: 1783 | 回复: 0 | |
[求助]
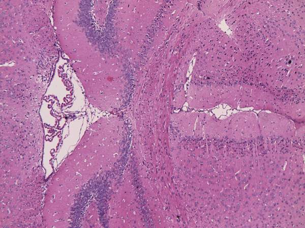
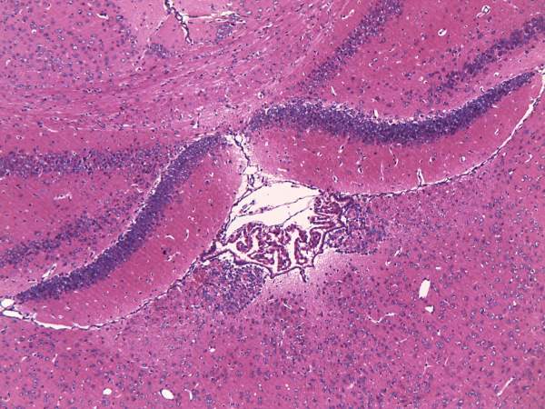
小鼠丘脑HE染色光镜切片,请专业人士帮忙分析下结果!
|
|
|
|
|
|
找到一些相关的精华帖子,希望有用哦~
科研从小木虫开始,人人为我,我为人人
|














回复此楼
点击这里搜索更多相关资源