| 查看: 628 | 回复: 3 | |
[求助]
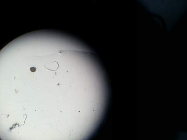
水中检出的线虫
|
|
![]() |
|
|
|
|
|
2楼2013-09-05 20:23:45
|
|
![]() |
|
|
3楼2013-09-06 14:19:52
|
|
|
4楼2013-09-06 20:49:07
|
|














回复此楼