24小时热门版块排行榜    

北京石油化工学院2026年研究生招生接收调剂公告
查看: 516  |  回复: 0

loys

木虫 (小有名气)

[求助] 请大侠指点一下,这是老鼠的脂肪肉瘤吗?

请大侠指点一下,这是老鼠的脂肪肉瘤吗?
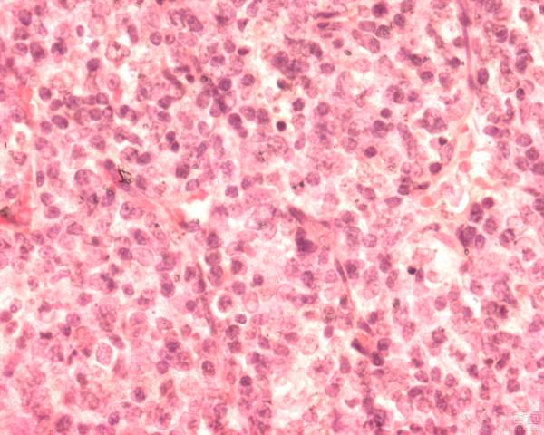
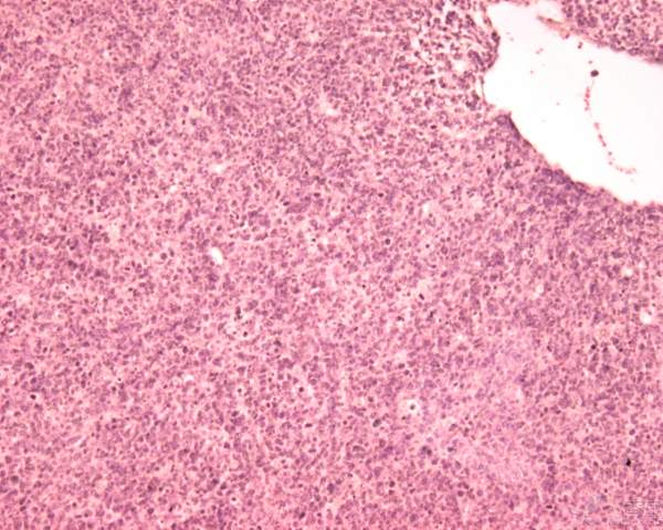
具体情况如下,诱癌处理后的老鼠右腹部出现一有包膜界清质稍硬灰白的长条形肿块,约2×0,8×0,8cm3大小,与腹腔内其他器官无粘连,切面灰白,似鱼肉状(不是特别像)。一时手抖丢进了福尔马林液体中,数秒后醒悟过来捞出擦干切块备冰冻。先用的石蜡包块做了HE染色,读片发现跟我想象和教科书上的脂肪肉瘤的图片不太一样,请大侠指点指点,请轻点拍砖啊。。。
另外,我用油红O也染了冰冻切片,发现居然木有染上红色,基本全是蓝色细胞核。是不是因为我放了福尔马林的缘故?冰冻组织从切块液氮冷冻后至放-80度时间有40分钟左右。这也请大侠一并指
点,非常非常感激!!附图如下,5幅图片分别为40,100,200倍各一张,400倍2张。
请大侠们指点指点,不胜感激!!
请大侠指点一下,这是老鼠的脂肪肉瘤吗?
40倍.jpg


请大侠指点一下,这是老鼠的脂肪肉瘤吗?-1
100倍.jpg


请大侠指点一下,这是老鼠的脂肪肉瘤吗?-2
200倍.jpg


请大侠指点一下,这是老鼠的脂肪肉瘤吗?-3
400倍之1.jpg


请大侠指点一下,这是老鼠的脂肪肉瘤吗?-4
400倍之2.jpg



[ Last edited by loys on 2013-8-24 at 13:17 ]
回复此楼
已阅   回复此楼   关注TA 给TA发消息 送TA红花 TA的回帖

智能机器人

Robot (super robot)

我们都爱小木虫

找到一些相关的精华帖子,希望有用哦~

科研从小木虫开始,人人为我,我为人人
相关版块跳转 我要订阅楼主 loys 的主题更新
最具人气热帖推荐 [查看全部] 作者 回/看 最后发表
[考研] 285求调剂 +6 AZMK 2026-03-29 9/450 2026-03-30 21:02 by dophin1985
[考研] 346求调剂 一志愿070303有机化学 +7 萝卜炖青菜 2026-03-28 8/400 2026-03-30 19:59 by 无际的草原
[考研] 304材料求调剂 +5 钟llll 2026-03-26 5/250 2026-03-30 19:37 by 源_2020
[考研] 0703化学321分求调剂 +10 三dd. 2026-03-30 11/550 2026-03-30 19:24 by markhwc
[考研] 322求调剂 +10 宋明欣 2026-03-27 10/500 2026-03-30 18:47 by 544594351
[考研] 考研调剂 +5 Sanmu-124 2026-03-26 5/250 2026-03-30 13:36 by chemdavid
[考研] 332求92调剂 +8 蕉蕉123 2026-03-28 8/400 2026-03-29 10:46 by 周梓丹
[考研] 调剂考研 +3 王杰一 2026-03-29 3/150 2026-03-29 08:09 by fmesaito
[考研] 081200-11408-276学硕求调剂 +6 崔wj 2026-03-26 6/300 2026-03-29 01:11 by hanserlol
[考研] 085602 307分 求调剂 +7 不知道叫什么! 2026-03-26 7/350 2026-03-28 09:57 by 神马都不懂
[考研] 275求调剂 +10 jjjjjjjjjjl 2026-03-27 10/500 2026-03-27 23:47 by barnett0632
[考研] 0703化学求调剂,各位老师看看我!!! +5 祁祺祺 2026-03-25 5/250 2026-03-27 21:44 by 东方猪猪
[考研] 一志愿上海理工能源动力(085800)310分求调剂 +3 zhangmingc 2026-03-27 4/200 2026-03-27 19:01 by 给你你注意休息
[考研] 266分求材料化工冶金矿业等专业的调剂 +4 哇呼哼呼哼 2026-03-26 4/200 2026-03-27 17:02 by zhyzzh
[考研] 279 分 求调剂 +4 睡个好觉_16 2026-03-24 4/200 2026-03-27 15:05 by 醉在风里
[考研] 308求调剂 +7 墨墨漠 2026-03-25 7/350 2026-03-27 14:47 by 狂炫麦当当
[考研] 考研调剂 +10 呼呼?~+123456 2026-03-24 10/500 2026-03-27 11:46 by wangjy2002
[考研] 一志愿北化315 求调剂 +3 akrrain 2026-03-24 3/150 2026-03-24 19:35 by 了了了了。。
[考研] 材料考研调剂生 +3 黄粱一梦千年 2026-03-24 3/150 2026-03-24 17:00 by barlinike
[考研] 277分求调剂,跨调材料 +3 考研调剂lxh 2026-03-24 3/150 2026-03-24 13:52 by JourneyLucky
信息提示
请填处理意见